XB-IMG-138634
Xenbase Image ID: 138634
|
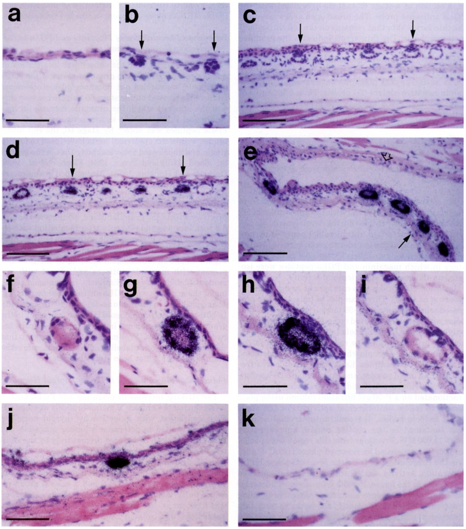
FIG. 2. Magainin and PGLa expression in the developing granular gland. Longitudinal sections of tadpoles were hybridized with 35S-Iabeled antisense riboprobes detecting magainin and PGLa mRNAs and with 35S-labeled sense probes as negative controls. Sections were counterstained with hematoxylin and eosin. Photographs are of skin of the mid-dorsal region of each tadpole unless noted otherwise. (a) Stage 56 (38
days) hybridized with PGLa antisense probe. No PGLa mRNA is detected in the thin Larval skin present at this stage. (b) Stage 58 (44 days)
PGLa antisense probe. Adult skin is beginning to form at the mid-dorsal region (3c) and on the skin of the hindlimbs (not shown). Arrows point
to nests of cells that will differentiate to form mature granular glands. No significant levels of magainin or PGLa mRNAs are detected by in situ
hybridization. (c, d) Stage 60 (46 days) serial sections hybridized with (c) PGLa-negative control and (d) antisense PGLa probes. The dramatic
increase in PGLa mRNA is detected at this stage. Arrows point to developing granular glands with strong positive signal for PGLa mRNA. (e)
Stage 62 section hybridized with PGLa antisense probe. Longitudinal sections show the developing hindlimb and the base of the regressing tail.
The sections are oriented with the tail to the upper right and developing hindlimb at the lower left of the field. Broad arrow points to the thin,
larval skin of the regressing tail. Thin arrow points to the granular glands in the skin of the hindlimb. There is an abrupt transition from larval
skin of the tail to the post metamorphic adult skin of the hindlimb. (f-i) Stage 66 (58 days). Serial sections hybridized with (f) PGLa control, (g)
PGLa antisense, (h) magainin antisense, and (i) magainin control probes. Magainin and PGLa are expressed at high levels in the same cell. Note
heavy distribution of grains at the periphery of the granular gland. (The granular glands of the adult froglet contain high levels of magainin
and PGLa mRN As). (j, k) Thyroid hormone induction of magainin expression in the granular gland of Xenopus skin. Longitudinal sections from
stage 54 tadpoles maintained for 7 days in the presence (j) or absence (k) of 5 nm T8 (see Materials and Methods). Both sections were hybridized
with the magainin antisense probe. Note development of adult skin (j) with high levels of magainin mRNA in the granular gland. In contrast, no
magainin mRNA is detected in the thin larval skin of the untreated, control tadpole (k). Bars: a, b, 50 pm; c-e, 100 I-'m; f- i, 50 p.rn; j, k. 65 J~ffi . Image published in: Reilly DS et al. (1994) Copyright © 1994. Image reproduced with permission of the Publisher, Elsevier B. V.
Image source: Published Larger Image Printer Friendly View |
