XB-IMG-158026
Xenbase Image ID: 158026
|
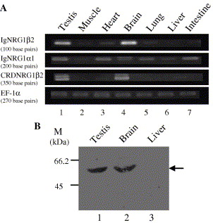
Fig. 2. (A) Tissue distribution in mRNA expression of NRG1 isoforms in adult X. laevis. Total RNA was extracted from the testis (lane 1), muscle (lane 2), heart (lane 3), brain (lane 4), lung (lane 5), liver (lane 6), and intestine (lane 7) of adult X. laevis and subjected to RT-PCR with primers specific for each isoform, IgNRG1β2 (top panel), IgNRG1α1 (2nd panel), and CRDNRG1β2 (3rd panel). The amplified products were analyzed by 1% agarose gel electrophoresis and visualized under ultraviolet irradiation by ethidium bromide staining. EF-1α is used as an internal control (25 cycles, 270 base pairs, bottom panel). (B) Endogenous expression of IgNRG1β2 in the tissues of adult X. laevis. Ig-like domain-containing proteins were enriched from the extract of the testis (lane 1), brain (lane 2), and liver (lane 3) using heparinâSepharose and then subjected to SDSâ10% PAGE followed by Western blotting with an anti-EGFβ2 antiserum. Image published in: Eto K et al. (2006) Copyright © 2006. Image reproduced with permission of the Publisher.
Image source: Published Larger Image Printer Friendly View |
