XB-IMG-75925
Xenbase Image ID: 75925
|
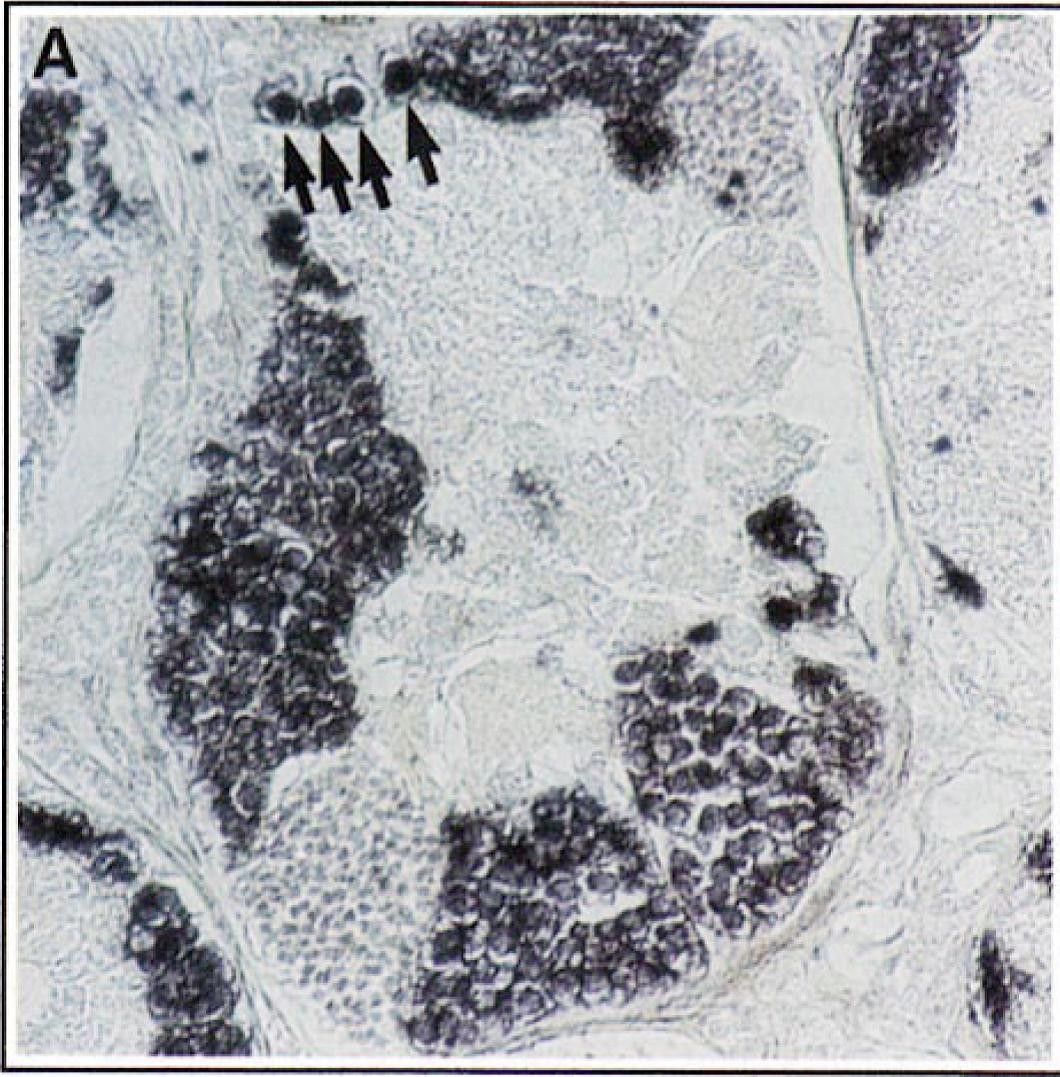
ddx4 (DEAD (Asp-Glu-Ala-Asp) box polypeptide 4) expression in sections of adult gonad detected by immunohistochemistry.
(A) A section of the seminiferous tubules of the testis. Spermatocytes (SC) are strongly stained and
spermatids (ST) are slightly stained, but spermatozoa (SP) are not stained at all. Some cells (arrows), in which the nucleus is stained, are
thought to be primary spermatogonia (SG). Image published in: Komiya T et al. (1994) Copyright © 1994. Image reproduced with permission of the Publisher, Elsevier B. V.
Image source: Published Larger Image Printer Friendly View |
