XB-IMG-81788
Xenbase Image ID: 81788
|
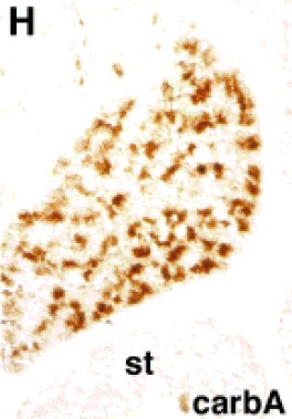
cpa1 (carboxypeptidase A1 (pancreatic)) gene expression in coronal sections of Xenopus laevis embryos, NF stage 46, as assayed by immunohistochemistry. This image is extracted from figure published in: Kelly OG and Melton DA (2000), Image published in: Kelly OG and Melton DA (2000) Copyright © 2000. Image reproduced with permission of the Publisher, John Wiley & Sons.
Image source: Published Larger Image Printer Friendly View |
