XB-IMG-83122
Xenbase Image ID: 83122
|
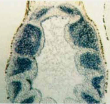
tcp1 (t-complex 1) gene expression in Xenopus laevis embryo , NF Stage 35, as assayed by in situ hybridization. Horizontal section of the head, anterior up This image is extracted from figure published in: Dunn MK and Mercola M (1996), Image published in: Dunn MK and Mercola M (1996) Copyright © 1996. Image reproduced with permission of the Publisher, John Wiley & Sons.
Image source: Published Larger Image Printer Friendly View |
