Click here to close Hello! We notice that you are using Internet Explorer, which is not supported by Xenbase and may cause the site to display incorrectly. We suggest using a current version of Chrome, FireFox, or Safari.

Profile Publications (20)
XB-PERS-1040

Publications By Jonathan S. Marchant

???pagination.result.count???

???pagination.result.page??? 1


Heterologous Protein Expression in the Xenopus Oocyte., Marchant JS., Cold Spring Harb Protoc. April 2, 2018; 2018 (4):


The Two-pore channel (TPC) interactome unmasks isoform-specific roles for TPCs in endolysosomal morphology and cell pigmentation., Lin-Moshier Y, Keebler MV, Hooper R, Boulware MJ, Liu X, Churamani D, Abood ME, Walseth TF, Brailoiu E, Patel S, Marchant JS., Proc Natl Acad Sci U S A. September 9, 2014; 111 (36): 13087-92.


A rapid Western blotting protocol for the Xenopus oocyte., Lin-Moshier Y, Marchant JS., Cold Spring Harb Protoc. March 1, 2013; 2013 (3):


Nuclear microinjection to assess how heterologously expressed proteins impact Ca2+ signals in Xenopus oocytes., Lin-Moshier Y, Marchant JS., Cold Spring Harb Protoc. March 1, 2013; 2013 (3):


The Xenopus oocyte: a single-cell model for studying Ca2+ signaling., Lin-Moshier Y, Marchant JS., Cold Spring Harb Protoc. March 1, 2013; 2013 (3):


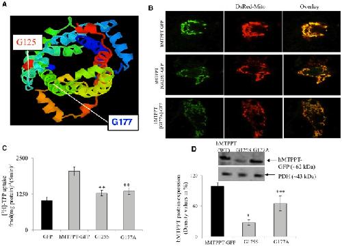
Mitochondrial uptake of thiamin pyrophosphate: physiological and cell biological aspects., Subramanian VS, Nabokina SM, Lin-Moshier Y, Marchant JS, Said HM., PLoS One. January 1, 2013; 8 (8): e73503.   


Inositol (1,4,5)-trisphosphate receptor microarchitecture shapes Ca2+ puff kinetics., Diambra L, Marchant JS., Biophys J. February 16, 2011; 100 (4): 822-31.


Molecular characterization of a novel cell surface ADP-ribosyl cyclase from the sea urchin., Churamani D, Boulware MJ, Ramakrishnan L, Geach TJ, Martin AC, Vacquier VD, Marchant JS, Dale L, Patel S., Cell Signal. December 1, 2008; 20 (12): 2347-55.


Nuclear pore disassembly from endoplasmic reticulum membranes promotes Ca2+ signalling competency., Boulware MJ, Marchant JS., J Physiol. June 15, 2008; 586 (12): 2873-88.


Molecular characterization of a novel intracellular ADP-ribosyl cyclase., Churamani D, Boulware MJ, Geach TJ, Martin AC, Moy GW, Su YH, Vacquier VD, Marchant JS, Dale L, Patel S., PLoS One. August 8, 2007; 2 (8): e797.   


The inositol 1,4,5-trisphosphate receptor (Itpr) gene family in Xenopus: identification of type 2 and type 3 inositol 1,4,5-trisphosphate receptor subtypes., Zhang D, Boulware MJ, Pendleton MR, Nogi T, Marchant JS., Biochem J. June 15, 2007; 404 (3): 383-91.


IP3 receptor activity is differentially regulated in endoplasmic reticulum subdomains during oocyte maturation., Boulware MJ, Marchant JS., Curr Biol. April 26, 2005; 15 (8): 765-70.


Structural and functional relationships between Ca2+ puffs and mitochondria in Xenopus oocytes., Marchant JS, Ramos V, Parker I., Am J Physiol Cell Physiol. June 1, 2002; 282 (6): C1374-86.


Intracellular trafficking/membrane targeting of human reduced folate carrier expressed in Xenopus oocytes., Subramanian VS, Marchant JS, Parker I, Said HM., Am J Physiol Gastrointest Liver Physiol. December 1, 2001; 281 (6): G1477-86.


Xenopus tropicalis oocytes as an advantageous model system for the study of intracellular Ca(2+) signalling., Marchant JS, Parker I., Br J Pharmacol. April 1, 2001; 132 (7): 1396-410.


Role of elementary Ca(2+) puffs in generating repetitive Ca(2+) oscillations., Marchant JS, Parker I., EMBO J. January 15, 2001; 20 (1-2): 65-76.


Functional interactions in Ca(2+) signaling over different time and distance scales., Marchant JS, Parker I., J Gen Physiol. November 1, 2000; 116 (5): 691-6.


Kinetics of elementary Ca2+ puffs evoked in Xenopus oocytes by different Ins(1,4,5)P3 receptor agonists., Marchant JS, Parker I., Biochem J. September 15, 1998; 334 ( Pt 3) 505-9.


Activation and co-ordination of InsP3-mediated elementary Ca2+ events during global Ca2+ signals in Xenopus oocytes., Callamaras N, Marchant JS, Sun XP, Parker I., J Physiol. May 15, 1998; 509 ( Pt 1) 81-91.


A continuum of InsP3-mediated elementary Ca2+ signalling events in Xenopus oocytes., Sun XP, Callamaras N, Marchant JS, Parker I., J Physiol. May 15, 1998; 509 ( Pt 1) 67-80.

???pagination.result.page??? 1