???pagination.result.count???
Hco-LGC-38 is novel nematode cys-loop GABA receptor subunit. , Siddiqui SZ, Brown DD , Accardi MV, Forrester SG., Mol Biochem Parasitol. October 1, 2012; 185 (2): 137-44.
Pharmacological characterization of the Haemonchus contortus GABA-gated chloride channel, Hco-UNC-49: modulation by macrocyclic lactone anthelmintics and a receptor for piperazine. , Brown DD , Siddiqui SZ, Kaji MD, Forrester SG., Vet Parasitol. April 30, 2012; 185 (2-4): 201-9.
Transdifferentiation of tadpole pancreatic acinar cells to duct cells mediated by Notch and stromelysin-3. , Mukhi S, Brown DD ., Dev Biol. March 15, 2011; 351 (2): 311-7.
An UNC-49 GABA receptor subunit from the parasitic nematode Haemonchus contortus is associated with enhanced GABA sensitivity in nematode heteromeric channels. , Siddiqui SZ, Brown DD , Rao VT, Forrester SG., J Neurochem. June 1, 2010; 113 (5): 1113-22.
Gene switching at Xenopus laevis metamorphosis. , Mukhi S, Cai L, Brown DD ., Dev Biol. February 15, 2010; 338 (2): 117-26.
Cell-cell interactions during remodeling of the intestine at metamorphosis in Xenopus laevis. , Schreiber AM , Mukhi S, Brown DD ., Dev Biol. July 1, 2009; 331 (1): 89-98.
Xenopus pancreas development. , Pearl EJ , Bilogan CK , Mukhi S, Brown DD , Horb ME ., Dev Dyn. June 1, 2009; 238 (6): 1271-86.
Remodeling of insulin producing beta-cells during Xenopus laevis metamorphosis. , Mukhi S, Horb ME , Brown DD ., Dev Biol. April 15, 2009; 328 (2): 384-91.
Remodeling the exocrine pancreas at metamorphosis in Xenopus laevis. , Mukhi S, Mao J, Brown DD ., Proc Natl Acad Sci U S A. July 1, 2008; 105 (26): 8962-7.
Small heat shock protein Hsp27 is required for proper heart tube formation. , Brown DD , Christine KS , Showell C , Conlon FL ., Genesis. November 1, 2007; 45 (11): 667-78.
Amphibian metamorphosis. , Brown DD , Cai L., Dev Biol. June 1, 2007; 306 (1): 20-33.
Changing a limb muscle growth program into a resorption program. , Cai L, Das B, Brown DD ., Dev Biol. April 1, 2007; 304 (1): 260-71.
Xtn3 is a developmentally expressed cardiac and skeletal muscle-specific novex-3 titin isoform. , Brown DD , Davis AC, Conlon FL ., Gene Expr Patterns. October 1, 2006; 6 (8): 913-8.
TBX5 is required for embryonic cardiac cell cycle progression. , Goetz SC, Brown DD , Conlon FL ., Development. July 1, 2006; 133 (13): 2575-84.
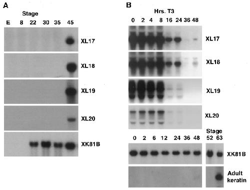
Gene expression changes at metamorphosis induced by thyroid hormone in Xenopus laevis tadpoles. , Das B, Cai L, Carter MG, Piao YL, Sharov AA, Ko MS, Brown DD ., Dev Biol. March 15, 2006; 291 (2): 342-55.
Thyroid hormone controls multiple independent programs required for limb development in Xenopus laevis metamorphosis. , Brown DD , Cai L, Das B, Marsh-Armstrong N , Schreiber AM , Juste R., Proc Natl Acad Sci U S A. August 30, 2005; 102 (35): 12455-8.
The role of deiodinases in amphibian metamorphosis. , Brown DD ., Thyroid. August 1, 2005; 15 (8): 815-21.
Remodeling of the intestine during metamorphosis of Xenopus laevis. , Schreiber AM , Cai L, Brown DD ., Proc Natl Acad Sci U S A. March 8, 2005; 102 (10): 3720-5.
Tbx5 and Tbx20 act synergistically to control vertebrate heart morphogenesis. , Brown DD , Martz SN, Binder O , Goetz SC, Price BM, Smith JC , Conlon FL ., Development. February 1, 2005; 132 (3): 553-63.
A tribute to the Xenopus laevis oocyte and egg. , Brown DD ., J Biol Chem. October 29, 2004; 279 (44): 45291-9.
Controlling transgene expression to study Xenopus laevis metamorphosis. , Das B, Brown DD ., Proc Natl Acad Sci U S A. April 6, 2004; 101 (14): 4839-42.
Expression of type II iodothyronine deiodinase marks the time that a tissue responds to thyroid hormone-induced metamorphosis in Xenopus laevis. , Cai L, Brown DD ., Dev Biol. February 1, 2004; 266 (1): 87-95.
Thyroid hormone controls the development of connections between the spinal cord and limbs during Xenopus laevis metamorphosis. , Marsh-Armstrong N , Cai L, Brown DD ., Proc Natl Acad Sci U S A. January 6, 2004; 101 (1): 165-70.
Tadpole skin dies autonomously in response to thyroid hormone at metamorphosis. , Schreiber AM , Brown DD ., Proc Natl Acad Sci U S A. February 18, 2003; 100 (4): 1769-74.
Developmental expression of the Xenopus laevis Tbx20 orthologue. , Brown DD , Binder O , Pagratis M, Parr BA, Conlon FL ., Dev Genes Evol. January 1, 2003; 212 (12): 604-7.
Multiple thyroid hormone-induced muscle growth and death programs during metamorphosis in Xenopus laevis. , Das B, Schreiber AM , Huang H, Brown DD ., Proc Natl Acad Sci U S A. September 17, 2002; 99 (19): 12230-5.
Diverse developmental programs of Xenopus laevis metamorphosis are inhibited by a dominant negative thyroid hormone receptor. , Schreiber AM , Das B, Huang H, Marsh-Armstrong N , Brown DD ., Proc Natl Acad Sci U S A. September 11, 2001; 98 (19): 10739-44.
Timing of metamorphosis and the onset of the negative feedback loop between the thyroid gland and the pituitary is controlled by type II iodothyronine deiodinase in Xenopus laevis. , Huang H, Cai L, Remo BF, Brown DD ., Proc Natl Acad Sci U S A. June 19, 2001; 98 (13): 7348-53.
Prolactin is not a juvenile hormone in Xenopus laevis metamorphosis. , Huang H, Brown DD ., Proc Natl Acad Sci U S A. January 4, 2000; 97 (1): 195-9.
Overexpression of Xenopus laevis growth hormone stimulates growth of tadpoles and frogs. , Huang H, Brown DD ., Proc Natl Acad Sci U S A. January 4, 2000; 97 (1): 190-4.
Germ-line transmission of transgenes in Xenopus laevis. , Marsh-Armstrong N , Huang H, Berry DL, Brown DD ., Proc Natl Acad Sci U S A. December 7, 1999; 96 (25): 14389-93.
Asymmetric growth and development of the Xenopus laevis retina during metamorphosis is controlled by type III deiodinase. , Marsh-Armstrong N , Huang H, Remo BF, Liu TT, Brown DD ., Neuron. December 1, 1999; 24 (4): 871-8.
In vitro and in vivo analysis of the regulation of a transcription factor gene by thyroid hormone during Xenopus laevis metamorphosis. , Furlow JD , Brown DD ., Mol Endocrinol. December 1, 1999; 13 (12): 2076-89.
Novel structural elements identified during tail resorption in Xenopus laevis metamorphosis: lessons from tailed frogs. , Elinson RP , Remo B, Brown DD ., Dev Biol. November 15, 1999; 215 (2): 243-52.
Metamorphosis is inhibited in transgenic Xenopus laevis tadpoles that overexpress type III deiodinase. , Huang H, Marsh-Armstrong N , Brown DD ., Proc Natl Acad Sci U S A. February 2, 1999; 96 (3): 962-7.
The expression pattern of thyroid hormone response genes in remodeling tadpole tissues defines distinct growth and resorption gene expression programs. , Berry DL, Rose CS, Remo BF, Brown DD ., Dev Biol. November 1, 1998; 203 (1): 24-35.
The expression pattern of thyroid hormone response genes in the tadpole tail identifies multiple resorption programs. , Berry DL, Schwartzman RA, Brown DD ., Dev Biol. November 1, 1998; 203 (1): 12-23.
A set of novel tadpole specific genes expressed only in the epidermis are down-regulated by thyroid hormone during Xenopus laevis metamorphosis. , Furlow JD , Berry DL, Wang Z, Brown DD ., Dev Biol. February 15, 1997; 182 (2): 284-98.
The thyroid hormone-induced tail resorption program during Xenopus laevis metamorphosis. , Brown DD , Wang Z, Furlow JD , Kanamori A, Schwartzman RA, Remo BF, Pinder A., Proc Natl Acad Sci U S A. March 5, 1996; 93 (5): 1924-9.
Amphibian metamorphosis: a complex program of gene expression changes controlled by the thyroid hormone. , Brown DD , Wang Z, Kanamori A, Eliceiri B, Furlow JD , Schwartzman R., Recent Prog Horm Res. January 1, 1995; 50 309-15.
Quantitation of endogenous thyroid hormone receptors alpha and beta during embryogenesis and metamorphosis in Xenopus laevis. , Eliceiri BP, Brown DD ., J Biol Chem. September 30, 1994; 269 (39): 24459-65.
A thyroid hormone-regulated gene in Xenopus laevis encodes a type III iodothyronine 5-deiodinase. , St Germain DL, Schwartzman RA, Croteau W, Kanamori A, Wang Z, Brown DD , Galton VA., Proc Natl Acad Sci U S A. August 2, 1994; 91 (16): 7767-71.
The earliest changes in gene expression in tadpole intestine induced by thyroid hormone. , Shi YB , Brown DD ., J Biol Chem. September 25, 1993; 268 (27): 20312-7.
Thyroid hormone-induced gene expression program for amphibian tail resorption. , Wang Z, Brown DD ., J Biol Chem. August 5, 1993; 268 (22): 16270-8.
Cultured cells as a model for amphibian metamorphosis. , Kanamori A, Brown DD ., Proc Natl Acad Sci U S A. July 1, 1993; 90 (13): 6013-7.
Expression of the Xenopus laevis prolactin and thyrotropin genes during metamorphosis. , Buckbinder L, Brown DD ., Proc Natl Acad Sci U S A. May 1, 1993; 90 (9): 3820-4.
Thyroid hormone-induced gene expression changes in the developing frog limb. , Buckbinder L, Brown DD ., J Biol Chem. December 25, 1992; 267 (36): 25786-91.
The regulation of thyroid hormone receptor beta genes by thyroid hormone in Xenopus laevis. , Kanamori A, Brown DD ., J Biol Chem. January 15, 1992; 267 (2): 739-45.
Genomic organization and alternative promoter usage of the two thyroid hormone receptor beta genes in Xenopus laevis. , Shi YB , Yaoita Y , Brown DD ., J Biol Chem. January 15, 1992; 267 (2): 733-8.
A gene expression screen. , Wang Z, Brown DD ., Proc Natl Acad Sci U S A. December 15, 1991; 88 (24): 11505-9.