Click here to close Hello! We notice that you are using Internet Explorer, which is not supported by Xenbase and may cause the site to display incorrectly. We suggest using a current version of Chrome, FireFox, or Safari.

Profile Publications (35)
XB-PERS-1131

Publications By Kim L Mowry

???pagination.result.count???

???pagination.result.page??? 1


Intrinsically disordered regions and RNA binding domains contribute to protein enrichment in biomolecular condensates in Xenopus oocytes., O'Connell LC, Johnson V, Otis JP, Hutton AK, Murthy AC, Liang MC, Wang SH, Fawzi NL, Mowry KL., Sci Rep. November 13, 2024; 14 (1): 27890.   


Multivalent interactions with RNA drive recruitment and dynamics in biomolecular condensates in Xenopus oocytes., Cabral SE, Otis JP, Mowry KL., iScience. July 21, 2022; 25 (8): 104811.   


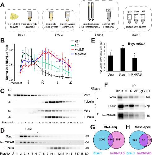
L-bodies are RNA-protein condensates driving RNA localization in Xenopus oocytes., Neil CR, Jeschonek SP, Cabral SE, O'Connell LC, Powrie EA, Otis JP, Wood TR, Mowry KL., Mol Biol Cell. December 1, 2021; 32 (22): ar37.   


Using the Xenopus Oocyte Toolbox., Mowry KL., Cold Spring Harb Protoc. April 1, 2020; 2020 (4): 095844.


Organizing the oocyte: RNA localization meets phase separation., Cabral SE, Mowry KL., Curr Top Dev Biol. January 1, 2020; 140 87-118.


Whole-Mount Immunofluorescence for Visualizing Endogenous Protein and Injected RNA in Xenopus Oocytes., Jeschonek SP, Mowry KL., Cold Spring Harb Protoc. October 1, 2018; 2018 (10):


Modeling microtubule-based transport and anchoring of mRNA., Ciocanel MV, Sandstede B, Jeschonek SP, Mowry KL., SIAM J Appl Dyn Syst. January 1, 2018; 17 (4): 2855-2881.


Analysis of Active Transport by Fluorescence Recovery after Photobleaching., Ciocanel MV, Kreiling JA, Gagnon JA, Mowry KL, Sandstede B., Biophys J. April 25, 2017; 112 (8): 1714-1725.


Using in vivo imaging to measure RNA mobility in Xenopus laevis oocytes., Powrie EA, Ciocanel V, Kreiling JA, Gagnon JA, Sandstede B, Mowry KL., Methods. April 1, 2016; 98 60-65.


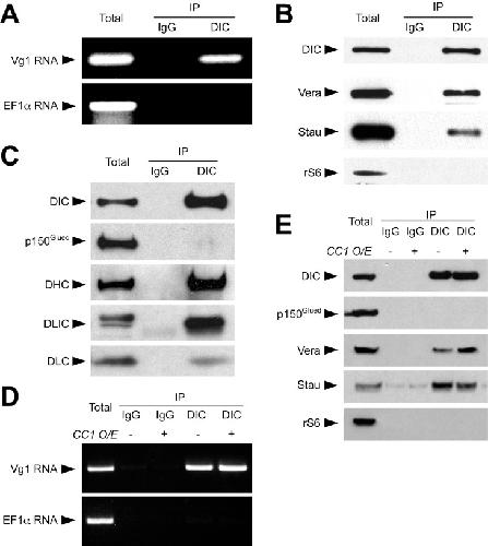
Directional transport is mediated by a Dynein-dependent step in an RNA localization pathway., Gagnon JA, Kreiling JA, Powrie EA, Wood TR, Mowry KL., PLoS Biol. January 1, 2013; 11 (4): e1001551.   


Molecular motors: directing traffic during RNA localization., Gagnon JA, Mowry KL., Crit Rev Biochem Mol Biol. June 1, 2011; 46 (3): 229-39.


Visualization of mRNA localization in Xenopus oocytes., Gagnon JA, Mowry KL., Methods Mol Biol. January 1, 2011; 714 71-82.


Preparation of a highly active cell-free translation system from immature Xenopus laevis oocytes., Pratt CA, Mowry KL., Methods. May 1, 2010; 51 (1): 101-5.


Visualizing RNA localization in Xenopus oocytes., Gagnon JA, Mowry KL., J Vis Exp. January 14, 2010; (35):   


VISIONS: the art of science., Gagnon JA, Mowry KL., Mol Reprod Dev. December 1, 2009; 76 (12): 1115.


Multiple kinesin motors coordinate cytoplasmic RNA transport on a subpopulation of microtubules in Xenopus oocytes., Messitt TJ, Gagnon JA, Kreiling JA, Pratt CA, Yoon YJ, Mowry KL., Dev Cell. September 1, 2008; 15 (3): 426-436.   


PTB/hnRNP I is required for RNP remodeling during RNA localization in Xenopus oocytes., Lewis RA, Gagnon JA, Mowry KL., Mol Cell Biol. January 1, 2008; 28 (2): 678-86.


Ribonucleoprotein remodeling during RNA localization., Lewis RA, Mowry KL., Differentiation. July 1, 2007; 75 (6): 507-18.


Putting RNAs in the right place at the right time: RNA localization in the frog oocyte., King ML, Messitt TJ, Mowry KL., Biol Cell. January 1, 2005; 97 (1): 19-33.


Localization of RNAs to the mitochondrial cloud in Xenopus oocytes through entrapment and association with endoplasmic reticulum., Chang P, Torres J, Lewis RA, Mowry KL, Houliston E, King ML., Mol Biol Cell. October 1, 2004; 15 (10): 4669-81.   


Xenopus Staufen is a component of a ribonucleoprotein complex containing Vg1 RNA and kinesin., Yoon YJ, Mowry KL., Development. July 1, 2004; 131 (13): 3035-45.   


Nuclear RNP complex assembly initiates cytoplasmic RNA localization., Kress TL, Yoon YJ, Mowry KL., J Cell Biol. April 26, 2004; 165 (2): 203-11.   


Conserved and clustered RNA recognition sequences are a critical feature of signals directing RNA localization in Xenopus oocytes., Lewis RA, Kress TL, Cote CA, Gautreau D, Rokop ME, Mowry KL., Mech Dev. January 1, 2004; 121 (1): 101-9.


Protein kinase A phosphorylation modulates transport of the polypyrimidine tract-binding protein., Xie J, Lee JA, Kress TL, Mowry KL, Black DL., Proc Natl Acad Sci U S A. July 22, 2003; 100 (15): 8776-81.


Apparent mitochondrial asymmetry in Xenopus eggs., Volodina N, Denegre JM, Mowry KL., Dev Dyn. April 1, 2003; 226 (4): 654-62.


A consensus RNA signal that directs germ layer determinants to the vegetal cortex of Xenopus oocytes., Bubunenko M, Kress TL, Vempati UD, Mowry KL, King ML., Dev Biol. August 1, 2002; 248 (1): 82-92.   


Processes that occur before second cleavage determine third cleavage orientation in Xenopus., Valles JM, Wasserman SR, Schweidenback C, Edwardson J, Denegre JM, Mowry KL., Exp Cell Res. March 10, 2002; 274 (1): 112-8.


A Xenopus protein related to hnRNP I has a role in cytoplasmic RNA localization., Cote CA, Gautreau D, Denegre JM, Kress TL, Terry NA, Mowry KL., Mol Cell. September 1, 1999; 4 (3): 431-7.   


RNA sorting in Xenopus oocytes and embryos., Mowry KL, Cote CA., FASEB J. March 1, 1999; 13 (3): 435-45.


Cleavage planes in frog eggs are altered by strong magnetic fields., Denegre JM, Valles JM, Lin K, Jordan WB, Mowry KL., Proc Natl Acad Sci U S A. December 8, 1998; 95 (25): 14729-32.


Localized maternal proteins in Xenopus revealed by subtractive immunization., Denegre JM, Ludwig ER, Mowry KL., Dev Biol. December 15, 1997; 192 (2): 446-54.   


Two copies of a subelement from the Vg1 RNA localization sequence are sufficient to direct vegetal localization in Xenopus oocytes., Gautreau D, Cote CA, Mowry KL., Development. December 1, 1997; 124 (24): 5013-20.   


Stable magnetic field gradient levitation of Xenopus laevis: toward low-gravity simulation., Valles JM, Lin K, Denegre JM, Mowry KL., Biophys J. August 1, 1997; 73 (2): 1130-3.


Complex formation between stage-specific oocyte factors and a Xenopus mRNA localization element., Mowry KL., Proc Natl Acad Sci U S A. December 10, 1996; 93 (25): 14608-13.


Vegetal messenger RNA localization directed by a 340-nt RNA sequence element in Xenopus oocytes., Mowry KL, Melton DA., Science. February 21, 1992; 255 (5047): 991-4.

???pagination.result.page??? 1