Click here to close Hello! We notice that you are using Internet Explorer, which is not supported by Xenbase and may cause the site to display incorrectly. We suggest using a current version of Chrome, FireFox, or Safari.

Profile Publications (48)
XB-PERS-1147

Publications By Jing Yang

???pagination.result.count???

???pagination.result.page??? 1


Regulation of Xvelo assembly by centrosomal proteins., Divyanshi, Li M, Böke E, Yang J., iScience. October 21, 2025; 28 (11): 113805.


Molecular regulation and subtype-specific effects of naringenin and naringin on nicotinic acetylcholine receptors expressed in Xenopus oocytes., Yun J, Moon M, Yang J, Yeom HD, Lee MH, Lee G, Lee JH., Biomed Pharmacother. October 1, 2025; 191 118494.


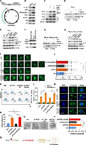
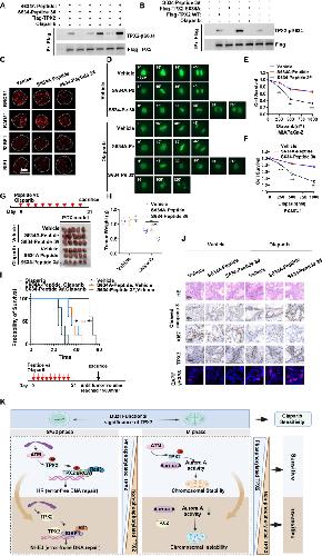
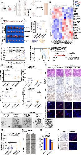
TPX2 serves as a novel target for expanding the utility of PARPi in pancreatic cancer through conferring synthetic lethality., Xiao M, Tang R, Pan H, Yang J, Tong X, Xu H, Guo Y, Lei Y, Wu D, Lei Y, Han Y, Ma Z, Wang W, Xu J, Yu X, Shi S., Gut. February 6, 2025; 74 (3): 410-423.   


Dzip1 is dynamically expressed in the vertebrate germline and regulates the development of Xenopus primordial germ cells., Turgeon A, Fu J, Divyanshi, Ma M, Jin Z, Hwang H, Li M, Qiao H, Mei W, Yang J., Dev Biol. October 1, 2024; 514 28-36.


A fractionation-based protocol to investigate RNA solubility phase transition during Xenopus oocyte maturation., Hwang H, Ma M, Yang J., STAR Protoc. January 15, 2024; 5 (1): 102830.   


Germ plasm dynamics during oogenesis and early embryonic development in Xenopus and zebrafish., Divyanshi, Yang J., Mol Reprod Dev. December 21, 2023;   


Solubility phase transition of maternal RNAs during vertebrate oocyte-to-embryo transition., Hwang H, Chen S, Ma M, Divyanshi, Fan HC, Borwick E, Böke E, Mei W, Yang J., Dev Cell. December 4, 2023; 58 (23): 2776-2788.e5.   


Wide-scale identification of novel/eliminated genes responsible for evolutionary transformations., Lyubetsky VA, Rubanov LI, Tereshina MB, Ivanova AS, Araslanova KR, Uroshlev LA, Goremykina GI, Yang JR, Kanovei VG, Zverkov OA, Shitikov AD, Korotkova DD, Zaraisky AG., Biol Direct. August 11, 2023; 18 (1): 45.   


Phase transition of maternal RNAs during vertebrate oocyte-to-embryo transition., Hwang H, Chen S, Ma M, Divyanshi, Fan HC, Borwick E, Böke E, Mei W, Yang J., bioRxiv. May 11, 2023;   


Regulation of RNA localization during oocyte maturation by dynamic RNA-ER association and remodeling of the ER., Hwang H, Yun S, Arcanjo RB, Divyanshi, Chen S, Mei W, Nowak RA, Kwon T, Yang J., Cell Rep. December 13, 2022; 41 (11): 111802.   


LncRNA KCNQ1OT1 enhances the radioresistance of lung squamous cell carcinoma by targeting the miR-491-5p/TPX2-RNF2 axis., Liu J, Jiang M, Guan J, Wang Y, Yu W, Hu Y, Zhang X, Yang J., J Thorac Dis. October 1, 2022; 14 (10): 4081-4095.   


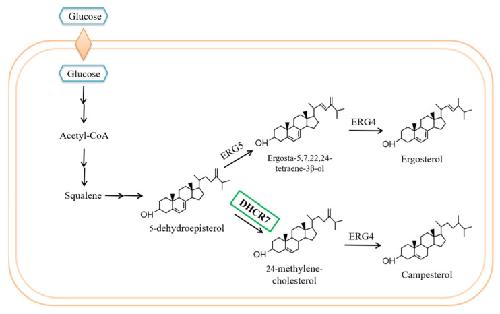
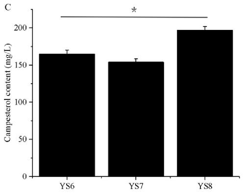
Engineering of Saccharomyces cerevisiae for 24-Methylene-Cholesterol Production., Yang J, Li C, Zhang Y., Biomolecules. November 17, 2021; 11 (11):   


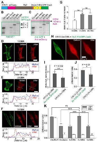
Optogenetic Control of the Canonical Wnt Signaling Pathway During Xenopus laevis Embryonic Development., Krishnamurthy VV, Hwang H, Fu J, Yang J, Zhang K., J Mol Biol. September 3, 2021; 433 (18): 167050.


shrunken4 is a mutant allele of ZmYSL2 that affects aleurone development and starch synthesis in maize., He Y, Yang Q, Yang J, Wang YF, Sun X, Wang S, Qi W, Ma Z, Song R., Genetics. June 24, 2021; 218 (2):


Chromatin accessibility and histone acetylation in the regulation of competence in early development., Esmaeili M, Blythe SA, Tobias JW, Zhang K, Yang J, Klein PS., Dev Biol. June 1, 2020; 462 (1): 20-35.   


A Generalizable Optogenetic Strategy to Regulate Receptor Tyrosine Kinases during Vertebrate Embryonic Development., Krishnamurthy VV, Fu J, Oh TJ, Khamo J, Yang J, Zhang K., J Mol Biol. May 1, 2020; 432 (10): 3149-3158.


Single Cell Proteomics by Data-Independent Acquisition To Study Embryonic Asymmetry in Xenopus laevis., Saha-Shah A, Esmaeili M, Sidoli S, Hwang H, Yang J, Klein PS, Garcia BA., Anal Chem. July 16, 2019; 91 (14): 8891-8899.   


Novel functions of the ubiquitin-independent proteasome system in regulating Xenopus germline development., Hwang H, Jin Z, Krishnamurthy VV, Saha A, Klein PS, Garcia B, Mei W, King ML, Zhang K, Yang J., Development. April 23, 2019; 146 (8):   


The Effect of an Environmentally Relevant Phthalate Mixture on Primordial Germ Cells of Xenopus laevis Embryos., Momplaisir N, Turgeon A, Flaws J, Yang J., MicroPubl Biol. December 3, 2018; 2018   


Combined functions of two RRMs in Dead-end1 mimic helicase activity to promote nanos1 translation in the germline., Aguero T, Jin Z, Owens D, Malhotra A, Newman K, Yang J, King ML., Mol Reprod Dev. December 1, 2018; 85 (12): 896-908.   


Maternal Dead-end 1 promotes translation of nanos1 by binding the eIF3 complex., Aguero T, Jin Z, Chorghade S, Kalsotra A, King ML, Yang J., Development. October 15, 2017; 144 (20): 3755-3765.   


Light-mediated Reversible Modulation of the Mitogen-activated Protein Kinase Pathway during Cell Differentiation and Xenopus Embryonic Development., Krishnamurthy VV, Turgeon AJ, Khamo JS, Mondal P, Sharum SR, Mei W, Yang J, Zhang K., J Vis Exp. June 15, 2017; (124):


Members of the Rusc protein family interact with Sufu and inhibit vertebrate Hedgehog signaling., Jin Z, Schwend T, Fu J, Bao Z, Liang J, Zhao H, Mei W, Yang J., Development. November 1, 2016; 143 (21): 3944-3955.   


Reversible optogenetic control of kinase activity during differentiation and embryonic development., Krishnamurthy VV, Khamo JS, Mei W, Turgeon AJ, Ashraf HM, Mondal P, Patel DB, Risner N, Cho EE, Yang J, Zhang K., Development. November 1, 2016; 143 (21): 4085-4094.   


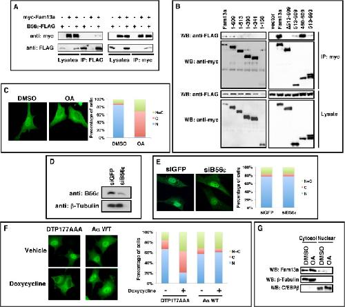
Regulation of nuclear-cytoplasmic shuttling and function of Family with sequence similarity 13, member A (Fam13a), by B56-containing PP2As and Akt., Jin Z, Chung JW, Mei W, Strack S, He C, Lau GW, Yang J., Mol Biol Cell. March 15, 2015; 26 (6): 1160-73.   


The Xenopus Maternal-to-Zygotic Transition from the Perspective of the Germline., Yang J, Aguero T, King ML., Curr Top Dev Biol. January 1, 2015; 113 271-303.


Stabilization of speckle-type POZ protein (Spop) by Daz interacting protein 1 (Dzip1) is essential for Gli turnover and the proper output of Hedgehog signaling., Schwend T, Jin Z, Jiang K, Mitchell BJ, Jia J, Yang J., J Biol Chem. November 8, 2013; 288 (45): 32809-32820.   


Maternal Dead-End1 is required for vegetal cortical microtubule assembly during Xenopus axis specification., Mei W, Jin Z, Lai F, Schwend T, Houston DW, King ML, Yang J., Development. June 1, 2013; 140 (11): 2334-44.   


The antagonistic action of B56-containing protein phosphatase 2As and casein kinase 2 controls the phosphorylation and Gli turnover function of Daz interacting protein 1., Jin Z, Mei W, Strack S, Jia J, Yang J., J Biol Chem. October 21, 2011; 286 (42): 36171-9.


An essential role for transcription before the MBT in Xenopus laevis., Skirkanich J, Luxardi G, Yang J, Kodjabachian L, Klein PS., Dev Biol. September 15, 2011; 357 (2): 478-91.   


Patch clamp and perfusion techniques for studying ion channels expressed in Xenopus oocytes., Yang J, Delaloye K, Lee US, Cui J., J Vis Exp. January 10, 2011; (47):


PP2A:B56{epsilon}, a substrate of caspase-3, regulates p53-dependent and p53-independent apoptosis during development., Jin Z, Wallace L, Harper SQ, Yang J., J Biol Chem. November 5, 2010; 285 (45): 34493-502.


Ion sensing in the RCK1 domain of BK channels., Zhang G, Huang SY, Yang J, Shi J, Yang X, Moller A, Zou X, Cui J., Proc Natl Acad Sci U S A. October 26, 2010; 107 (43): 18700-5.


Direct inhibition of P/Q-type voltage-gated Ca2+ channels by Gem does not require a direct Gem/Cavbeta interaction., Fan M, Buraei Z, Luo HR, Levenson-Palmer R, Yang J., Proc Natl Acad Sci U S A. August 17, 2010; 107 (33): 14887-92.


Structural and molecular basis of the assembly of the TRPP2/PKD1 complex., Yu Y, Ulbrich MH, Li MH, Buraei Z, Chen XZ, Ong AC, Tong L, Isacoff EY, Yang J., Proc Natl Acad Sci U S A. July 14, 2009; 106 (28): 11558-63.


Shox2 is essential for the differentiation of cardiac pacemaker cells by repressing Nkx2-5., Espinoza-Lewis RA, Yu L, He F, Liu H, Tang R, Shi J, Sun X, Martin JF, Wang D, Yang J, Chen Y., Dev Biol. March 15, 2009; 327 (2): 376-85.   


The 48-kDa alternative translation isoform of PP2A:B56epsilon is required for Wnt signaling during midbrain-hindbrain boundary formation., Jin Z, Shi J, Saraf A, Mei W, Zhu GZ, Strack S, Yang J., J Biol Chem. March 13, 2009; 284 (11): 7190-200.


hnRNP I inhibits Notch signaling and regulates intestinal epithelial homeostasis in the zebrafish., Yang J, Chan CY, Jiang B, Yu X, Zhu GZ, Chen Y, Barnard J, Mei W., PLoS Genet. February 1, 2009; 5 (2): e1000363.   


Heme metabolism enzymes are dynamically expressed during Xenopus embryonic development., Shi J, Mei W, Yang J., Biocell. December 1, 2008; 32 (3): 259-63.   


PP2A:B56epsilon is required for eye induction and eye field separation., Rorick AM, Mei W, Liette NL, Phiel C, El-Hodiri HM, Yang J., Dev Biol. February 15, 2007; 302 (2): 477-93.   


Neural crest induction by the canonical Wnt pathway can be dissociated from anterior-posterior neural patterning in Xenopus., Wu J, Yang J, Klein PS., Dev Biol. March 1, 2005; 279 (1): 220-32.


PP2A:B56epsilon is required for Wnt/beta-catenin signaling during embryonic development., Yang J, Wu J, Tan C, Klein PS., Development. December 1, 2003; 130 (23): 5569-78.   


Beta-catenin/Tcf-regulated transcription prior to the midblastula transition., Yang J, Tan C, Darken RS, Wilson PA, Klein PS., Development. December 1, 2002; 129 (24): 5743-52.


Repression through a distal TCF-3 binding site restricts Xenopus myf-5 expression in gastrula mesoderm., Yang J, Mei W, Otto A, Xiao L, Tao Q, Geng X, Rupp RA, Ding X., Mech Dev. July 1, 2002; 115 (1-2): 79-89.   


Kermit, a frizzled interacting protein, regulates frizzled 3 signaling in neural crest development., Tan C, Deardorff MA, Saint-Jeannet JP, Yang J, Arzoumanian A, Klein PS., Development. October 1, 2001; 128 (19): 3665-74.   


An interferon regulatory factor-like binding element restricts Xmyf-5 expression in the posterior somites during Xenopus myogenesis., Mei W, Yang J, Tao Q, Geng X, Rupp RA, Ding X., FEBS Lett. September 7, 2001; 505 (1): 47-52.


Cloning and analysing of 5' flanking region of Xenopus organizer gene noggin., Tao QH, Yang J, Mei WY, Geng X, Ding XY., Cell Res. September 1, 1999; 9 (3): 209-16.


The Regulation of Xmyf-5 Gene, a Muscle Determinant, Expression in Xenopus Laevis., Mei WY, Yang J, Tao QH, Ding XY., Sheng Wu Hua Xue Yu Sheng Wu Wu Li Xue Bao (Shanghai). January 1, 1999; 31 (5): 583-586.

???pagination.result.page??? 1