Click here to close Hello! We notice that you are using Internet Explorer, which is not supported by Xenbase and may cause the site to display incorrectly. We suggest using a current version of Chrome, FireFox, or Safari.

Profile Publications (19)
XB-PERS-1190

Publications By Karel Dorey

???pagination.result.count???

???pagination.result.page??? 1


Foxm1 regulates neural progenitor fate during spinal cord regeneration., Pelzer D, Phipps LS, Thuret R, Gallardo-Dodd CJ, Baker SM, Dorey K., EMBO Rep. September 6, 2021; 22 (9): e50932.   


Model systems for regeneration: Xenopus., Phipps LS, Marshall L, Dorey K, Amaya E., Development. March 19, 2020; 147 (6):   


Efa6 protects axons and regulates their growth and branching by inhibiting microtubule polymerisation at the cortex., Qu Y, Hahn I, Lees M, Parkin J, Voelzmann A, Dorey K, Rathbone A, Friel CT, Allan VJ, Okenve-Ramos P, Sanchez-Soriano N, Prokop A., Elife. November 13, 2019; 8   


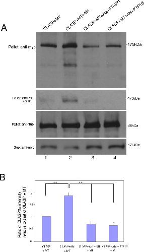
Abelson phosphorylation of CLASP2 modulates its association with microtubules and actin., Engel U, Zhan Y, Long JB, Boyle SN, Ballif BA, Dorey K, Gygi SP, Koleske AJ, Vanvactor D., Cytoskeleton (Hoboken). March 1, 2014; 71 (3): 195-209.   


Activin ligands are required for the re-activation of Smad2 signalling after neurulation and vascular development in Xenopus tropicalis., Nagamori Y, Roberts S, Maciej M, Dorey K., Int J Dev Biol. January 1, 2014; 58 (10-12): 783-91.   


Amputation-induced reactive oxygen species are required for successful Xenopus tadpole tail regeneration., Love NR, Chen Y, Ishibashi S, Kritsiligkou P, Lea R, Koh Y, Gallop JL, Dorey K, Amaya E., Nat Cell Biol. February 1, 2013; 15 (2): 222-8.   


A functional genome-wide in vivo screen identifies new regulators of signalling pathways during early Xenopus embryogenesis., Zhang S, Li J, Lea R, Amaya E, Dorey K., PLoS One. January 1, 2013; 8 (11): e79469.   


Dishevelled limits Notch signalling through inhibition of CSL., Collu GM, Hidalgo-Sastre A, Acar A, Bayston L, Gildea C, Leverentz MK, Mills CG, Owens TW, Meurette O, Dorey K, Brennan K., Development. December 1, 2012; 139 (23): 4405-15.   


pTransgenesis: a cross-species, modular transgenesis resource., Love NR, Thuret R, Chen Y, Ishibashi S, Sabherwal N, Paredes R, Alves-Silva J, Dorey K, Noble AM, Guille MJ, Sasai Y, Papalopulu N, Amaya E., Development. December 1, 2011; 138 (24): 5451-8.   


Characterisation of a new regulator of BDNF signalling, Sprouty3, involved in axonal morphogenesis in vivo., Panagiotaki N, Dajas-Bailador F, Amaya E, Papalopulu N, Dorey K., Development. December 1, 2010; 137 (23): 4005-15.   


FGF signalling: diverse roles during early vertebrate embryogenesis., Dorey K, Amaya E., Development. November 1, 2010; 137 (22): 3731-42.


Spatially restricted translation of the xCR1 mRNA in Xenopus embryos., Zhang Y, Forinash KD, McGivern J, Fritz B, Dorey K, Sheets MD., Mol Cell Biol. July 1, 2009; 29 (13): 3791-802.


Temporal and spatial expression of FGF ligands and receptors during Xenopus development., Lea R, Papalopulu N, Amaya E, Dorey K., Dev Dyn. June 1, 2009; 238 (6): 1467-79.   


BDNF promotes target innervation of Xenopus mandibular trigeminal axons in vivo., Huang JK, Dorey K, Ishibashi S, Amaya E., BMC Dev Biol. May 31, 2007; 7 59.   


A novel Cripto-related protein reveals an essential role for EGF-CFCs in Nodal signalling in Xenopus embryos., Dorey K, Hill CS., Dev Biol. April 15, 2006; 292 (2): 303-16.   


c-Abl is an effector of Src for growth factor-induced c-myc expression and DNA synthesis., Furstoss O, Dorey K, Simon V, Barilà D, Superti-Furga G, Roche S., EMBO J. February 15, 2002; 21 (4): 514-24.


Autoinhibition of c-Abl., Pluk H, Dorey K, Superti-Furga G., Cell. January 25, 2002; 108 (2): 247-59.


Phosphorylation and structure-based functional studies reveal a positive and a negative role for the activation loop of the c-Abl tyrosine kinase., Dorey K, Engen JR, Kretzschmar J, Wilm M, Neubauer G, Schindler T, Superti-Furga G., Oncogene. December 6, 2001; 20 (56): 8075-84.


Regulation of human c-Abl tyrosine kinase activity in Xenopus oocytes and acceleration of progesterone-induced G2/M transition by oncogenic forms., Dorey K, Barilá D, Gavin AC, Nebreda AR, Superti-Furga G., Biol Chem. February 1, 1999; 380 (2): 223-30.

???pagination.result.page??? 1