Click here to close Hello! We notice that you are using Internet Explorer, which is not supported by Xenbase and may cause the site to display incorrectly. We suggest using a current version of Chrome, FireFox, or Safari.

Profile Publications (35)
XB-PERS-1570

Publications By Paul W. Huber

???pagination.result.count???

???pagination.result.page??? 1


Remnants of the Balbiani body are required for formation of RNA transport granules in Xenopus oocytes., Yang C, Dominique GM, Champion MM, Huber PW., iScience. March 18, 2022; 25 (3): 103878.   


High-Throughput, Comprehensive Single-Cell Proteomic Analysis of Xenopus laevis Embryos at the 50-Cell Stage Using a Microplate-Based MICROFASP System., Zhang Z, Dubiak KM, Shishkova E, Huber PW, Coon JJ, Dovichi NJ., Anal Chem. February 22, 2022; 94 (7): 3254-3259.


Quantitative capillary zone electrophoresis-mass spectrometry reveals the N-glycome developmental plan during vertebrate embryogenesis., Qu Y, Dubiak KM, Peuchen EH, Champion MM, Zhang Z, Hebert AS, Wright S, Coon JJ, Huber PW, Dovichi NJ., Mol Omics. June 15, 2020; 16 (3): 210-220.


Miniaturized Filter-Aided Sample Preparation (MICRO-FASP) Method for High Throughput, Ultrasensitive Proteomics Sample Preparation Reveals Proteome Asymmetry in Xenopus laevis Embryos., Zhang Z, Dubiak KM, Huber PW, Dovichi NJ., Anal Chem. April 7, 2020; 92 (7): 5554-5560.


MALDI-imaging of early stage Xenopus laevis embryos., Wang M, Dubiak K, Zhang Z, Huber PW, Chen DDY, Dovichi NJ., Talanta. November 1, 2019; 204 138-144.


A deficiency in SUMOylation activity disrupts multiple pathways leading to neural tube and heart defects in Xenopus embryos., Bertke MM, Dubiak KM, Cronin L, Zeng E, Huber PW., BMC Genomics. May 17, 2019; 20 (1): 386.   


Time-lapse imaging of cell death in cell culture and whole living organisms using turn-on deep-red fluorescent probes., Jarvis TS, Roland FM, Dubiak KM, Huber PW, Smith BD., J Mater Chem B. August 14, 2018; 6 (30): 4963-4971.


Phosphorylation Dynamics Dominate the Regulated Proteome during Early Xenopus Development., Peuchen EH, Cox OF, Sun L, Hebert AS, Coon JJ, Champion MM, Dovichi NJ, Huber PW., Sci Rep. November 15, 2017; 7 (1): 15647.   


Single Cell Proteomics Using Frog (Xenopus laevis) Blastomeres Isolated from Early Stage Embryos, Which Form a Geometric Progression in Protein Content., Sun L, Dubiak KM, Peuchen EH, Zhang Z, Zhu G, Huber PW, Dovichi NJ., Anal Chem. July 5, 2016; 88 (13): 6653-7.


Proteomics of Xenopus development., Sun L, Champion MM, Huber PW, Dovichi NJ., Mol Hum Reprod. March 1, 2016; 22 (3): 193-9.


Nearly 1000 Protein Identifications from 50 ng of Xenopus laevis Zygote Homogenate Using Online Sample Preparation on a Strong Cation Exchange Monolith Based Microreactor Coupled with Capillary Zone Electrophoresis., Zhang Z, Sun L, Zhu G, Cox OF, Huber PW, Dovichi NJ., Anal Chem. January 5, 2016; 88 (1): 877-82.


Small ubiquitin-like modifier (SUMO)-mediated repression of the Xenopus Oocyte 5 S rRNA genes., Malik MQ, Bertke MM, Huber PW., J Biol Chem. December 19, 2014; 289 (51): 35468-81.   


Quantitative proteomics of Xenopus laevis embryos: expression kinetics of nearly 4000 proteins during early development., Sun L, Bertke MM, Champion MM, Zhu G, Huber PW, Dovichi NJ., Sci Rep. February 26, 2014; 4 4365.   


RNA localization in Xenopus oocytes uses a core group of trans-acting factors irrespective of destination., Snedden DD, Bertke MM, Vernon D, Huber PW., RNA. July 1, 2013; 19 (7): 889-95.   


Binding site for Xenopus ribosomal protein L5 and accompanying structural changes in 5S rRNA., Scripture JB, Huber PW., Biochemistry. May 10, 2011; 50 (18): 3827-39.


Detection of protein-RNA complexes in Xenopus oocytes., Huber PW, Zhao WM., Methods. May 1, 2010; 51 (1): 82-6.


Interactions of 40LoVe within the ribonucleoprotein complex that forms on the localization element of Xenopus Vg1 mRNA., Kroll TT, Swenson LB, Hartland EI, Snedden DD, Goodson HV, Huber PW., Mech Dev. July 1, 2009; 126 (7): 523-38.   


A manganese-dependent ribozyme in the 3'-untranslated region of Xenopus Vg1 mRNA., Kolev NG, Hartland EI, Huber PW., Nucleic Acids Res. October 1, 2008; 36 (17): 5530-9.   


Restricted specificity of Xenopus TFIIIA for transcription of somatic 5S rRNA genes., Ghose R, Malik M, Huber PW., Mol Cell Biol. March 1, 2004; 24 (6): 2467-77.


Mutual induced fit binding of Xenopus ribosomal protein L5 to 5S rRNA., DiNitto JP, Huber PW., J Mol Biol. July 25, 2003; 330 (5): 979-92.


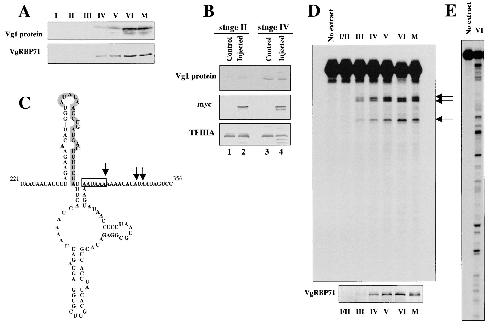
VgRBP71 stimulates cleavage at a polyadenylation signal in Vg1 mRNA, resulting in the removal of a cis-acting element that represses translation., Kolev NG, Huber PW., Mol Cell. March 1, 2003; 11 (3): 745-55.   


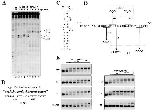
A homolog of FBP2/KSRP binds to localized mRNAs in Xenopus oocytes., Kroll TT, Zhao WM, Jiang C, Huber PW., Development. December 1, 2002; 129 (24): 5609-19.   


Phosphorylation of Xenopus transcription factor IIIA by an oocyte protein kinase CK2., Westmark CJ, Ghose R, Huber PW., Biochem J. March 1, 2002; 362 (Pt 2): 375-82.


A role for aromatic amino acids in the binding of Xenopus ribosomal protein L5 to 5S rRNA., DiNitto JP, Huber PW., Biochemistry. October 23, 2001; 40 (42): 12645-53.


The structure of helix III in Xenopus oocyte 5 S rRNA: an RNA stem containing a two-nucleotide bulge., Huber PW, Rife JP, Moore PB., J Mol Biol. September 28, 2001; 312 (4): 823-32.


A proline-rich protein binds to the localization element of Xenopus Vg1 mRNA and to ligands involved in actin polymerization., Zhao WM, Jiang C, Kroll TT, Huber PW., EMBO J. May 1, 2001; 20 (9): 2315-25.


Inhibition of RNA polymerase III transcription by a ribosome-associated kinase activity., Westmark CJ, Ghose R, Huber PW., Nucleic Acids Res. October 15, 1998; 26 (20): 4758-64.


Analysis of the binding of Xenopus transcription factor IIIA to oocyte 5 S rRNA and to the 5 S rRNA gene., Rawlings SL, Matt GD, Huber PW., J Biol Chem. January 12, 1996; 271 (2): 868-77.


Analysis of the binding of Xenopus ribosomal protein L5 to oocyte 5 S rRNA. The major determinants of recognition are located in helix III-loop C., Scripture JB, Huber PW., J Biol Chem. November 10, 1995; 270 (45): 27358-65.


Delineation of structural domains in eukaryotic 5S rRNA with a rhodium probe., Chow CS, Hartmann KM, Rawlings SL, Huber PW, Barton JK., Biochemistry. April 7, 1992; 31 (13): 3534-42.


Structural polymorphism in the major groove of a 5S RNA gene complements the zinc finger domains of transcription factor IIIA., Huber PW, Morii T, Mei HY, Barton JK., Proc Natl Acad Sci U S A. December 1, 1991; 88 (23): 10801-5.


The use of chemical nucleases to analyze RNA-protein interactions. The TFIIIA-5 S rRNA complex., Darsillo P, Huber PW., J Biol Chem. November 5, 1991; 266 (31): 21075-82.


Conformational studies of the nucleic acid binding sites for Xenopus transcription factor IIIA., Huber PW, Blobe GC, Hartmann KM., J Biol Chem. February 15, 1991; 266 (5): 3278-86.


Use of the cytotoxic nuclease alpha-sarcin to identify the binding site on eukaryotic 5 S ribosomal ribonucleic acid for the ribosomal protein L5., Huber PW, Wool IG., J Biol Chem. March 5, 1986; 261 (7): 3002-5.


Identification of the binding site on 5S rRNA for the transcription factor IIIA: proposed structure of a common binding site on 5S rRNA and on the gene., Huber PW, Wool IG., Proc Natl Acad Sci U S A. March 1, 1986; 83 (6): 1593-7.

???pagination.result.page??? 1