|
XB-PERS-1588
Publications By Valérie A McLin
???pagination.result.count??????pagination.result.page??? 1
|
Identification and gastrointestinal expression of Xenopus laevis FoxF2., McLin VA, Shah R, Desai NP, Jamrich M., Int J Dev Biol. January 1, 2010; 54 (5): 919-24. |
|
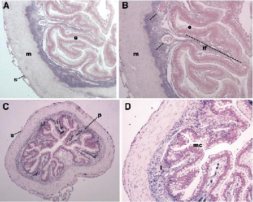
The role of the visceral mesoderm in the development of the gastrointestinal tract., McLin VA, Henning SJ, Jamrich M., Gastroenterology. June 1, 2009; 136 (7): 2074-91. |
|
Expression of complement components coincides with early patterning and organogenesis in Xenopus laevis., McLin VA, Hu CH, Shah R, Jamrich M., Int J Dev Biol. January 1, 2008; 52 (8): 1123-33. |
|
Repression of Wnt/beta-catenin signaling in the anterior endoderm is essential for liver and pancreas development., McLin VA, Rankin SA, Zorn AM., Development. June 1, 2007; 134 (12): 2207-17. |
|
Organogenesis: making pancreas from liver., McLin VA, Zorn AM., Curr Biol. February 4, 2003; 13 (3): R96-8. |
???pagination.result.page??? 1
