Click here to close Hello! We notice that you are using Internet Explorer, which is not supported by Xenbase and may cause the site to display incorrectly. We suggest using a current version of Chrome, FireFox, or Safari.

Profile Publications (26)
XB-PERS-1611

Publications By Andrea E Wills

???pagination.result.count???

???pagination.result.page??? 1


An IMPDH2 variant associated with neurodevelopmental disorder disrupts purine biosynthesis and somite organization., O'Neill AG, McCartney ME, Wheeler GM, Patel JH, Sanchez-Ramirez G, Kollman JM, Wills AE., Proc Natl Acad Sci U S A. December 9, 2025; 122 (49): e2511727122.   


Shh signaling directs dorsal ventral patterning in the regenerating X. tropicalis spinal cord., Angell Swearer A, Perkowski S, Wills A., Dev Biol. April 22, 2025; 520 191-199.


Protocol for tail vein injection in Xenopus tropicalis tadpoles., Patel JH, Angell Swearer A, Kakebeen AD, Loh LR, Wills AE., STAR Protoc. February 15, 2024; 5 (1): 102895.   


Mitochondrial leak metabolism induces the Spemann-Mangold Organizer via Hif-1α in Xenopus., MacColl Garfinkel A, Mnatsakanyan N, Patel JH, Wills AE, Shteyman A, Smith PJS, Alavian KN, Jonas EA, Khokha MK., Dev Cell. November 20, 2023; 58 (22): 2597-2613.e4.   


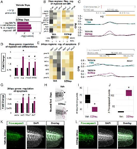
Chromatin accessibility analysis reveals distinct functions for HDAC and EZH2 activities in early appendage regeneration., Arbach HE, Harland-Dunaway M, Braden C, Chitsazan AD, Pickering E, Patel JH, Wills AE., Wound Repair Regen. November 1, 2022; 30 (6): 707-725.   


Elevated pentose phosphate pathway flux supports appendage regeneration., Patel JH, Ong DJ, Williams CR, Callies LK, Wills AE., Cell Rep. October 25, 2022; 41 (4): 111552.   


Hif1α and Wnt are required for posterior gene expression during Xenopus tropicalis tail regeneration., Patel JH, Schattinger PA, Takayoshi EE, Wills AE., Dev Biol. March 1, 2022; 483 157-168.   


Tissue disaggregation and isolation of specific cell types from transgenic Xenopus appendages for transcriptional analysis by FACS., Kakebeen AD, Chitsazan AD, Wills AE., Dev Dyn. September 1, 2021; 250 (9): 1381-1392.


A temporally resolved transcriptome for developing "Keller" explants of the Xenopus laevis dorsal marginal zone., Kakebeen AD, Huebner RJ, Shindo A, Kwon K, Kwon T, Wills AE, Wallingford JB., Dev Dyn. May 1, 2021; 250 (5): 717-731.   


Nutrient availability contributes to a graded refractory period for regeneration in Xenopus tropicalis., Williams MC, Patel JH, Kakebeen AD, Wills AE., Dev Biol. May 1, 2021; 473 59-70.   


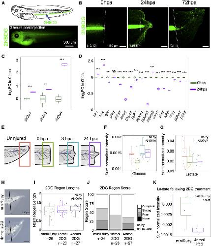
Chromatin accessibility dynamics and single cell RNA-Seq reveal new regulators of regeneration in neural progenitors., Kakebeen AD, Chitsazan AD, Williams MC, Saunders LM, Wills AE., Elife. April 27, 2020; 9   


Advancing genetic and genomic technologies deepen the pool for discovery in Xenopus tropicalis., Kakebeen A, Wills A., Dev Dyn. August 1, 2019; 248 (8): 620-625.   


More Than Just a Bandage: Closing the Gap Between Injury and Appendage Regeneration., Kakebeen AD, Wills AE., Front Physiol. January 1, 2019; 10 81.   


Extreme nuclear branching in healthy epidermal cells of the Xenopus tail fin., Arbach HE, Harland-Dunaway M, Chang JK, Wills AE., J Cell Sci. September 20, 2018; 131 (18):


Transcriptional dynamics of tail regeneration in Xenopus tropicalis., Chang J, Baker J, Wills A., Genesis. January 1, 2017; 55 (1-2):   


Zeta-Tubulin Is a Member of a Conserved Tubulin Module and Is a Component of the Centriolar Basal Foot in Multiciliated Cells., Turk E, Wills AA, Kwon T, Sedzinski J, Wallingford JB, Stearns T., Curr Biol. August 17, 2015; 25 (16): 2177-83.   


E2a is necessary for Smad2/3-dependent transcription and the direct repression of lefty during gastrulation., Wills AE, Baker JC., Dev Cell. February 9, 2015; 32 (3): 345-57.   


Developmental enhancers are marked independently of zygotic Nodal signals in Xenopus., Gupta R, Wills A, Ucar D, Baker J., Dev Biol. November 1, 2014; 395 (1): 38-49.   


Chromatin immunoprecipitation and deep sequencing in Xenopus tropicalis and Xenopus laevis., Wills AE, Gupta R, Chuong E, Baker JC., Methods. April 1, 2014; 66 (3): 410-21.


Interrogating transcriptional regulatory sequences in Tol2-mediated Xenopus transgenics., Loots GG, Bergmann A, Hum NR, Oldenburg CE, Wills AE, Hu N, Ovcharenko I, Harland RM., PLoS One. July 1, 2013; 8 (7): e68548.   


RNA sequencing reveals a diverse and dynamic repertoire of the Xenopus tropicalis transcriptome over development., Tan MH, Au KF, Yablonovitch AL, Wills AE, Chuang J, Baker JC, Wong WH, Li JB., Genome Res. January 1, 2013; 23 (1): 201-16.   


HEB and E2A function as SMAD/FOXH1 cofactors., Yoon SJ, Wills AE, Chuong E, Gupta R, Baker JC., Genes Dev. August 1, 2011; 25 (15): 1654-61.   


The genome of the Western clawed frog Xenopus tropicalis., Hellsten U, Harland RM, Gilchrist MJ, Hendrix D, Jurka J, Kapitonov V, Ovcharenko I, Putnam NH, Shu S, Taher L, Blitz IL, Blumberg B, Dichmann DS, Dubchak I, Amaya E, Detter JC, Fletcher R, Gerhard DS, Goodstein D, Graves T, Grigoriev IV, Grimwood J, Kawashima T, Lindquist E, Lucas SM, Mead PE, Mitros T, Ogino H, Ohta Y, Poliakov AV, Pollet N, Robert J, Salamov A, Sater AK, Schmutz J, Terry A, Vize PD, Warren WC, Wells D, Wills A, Wilson RK, Zimmerman LB, Zorn AM, Grainger R, Grammer T, Khokha MK, Richardson PM, Rokhsar DS., Science. April 30, 2010; 328 (5978): 633-6.


BMP antagonists and FGF signaling contribute to different domains of the neural plate in Xenopus., Wills AE, Choi VM, Bennett MJ, Khokha MK, Harland RM., Dev Biol. January 15, 2010; 337 (2): 335-50.   


Bmp signaling is necessary and sufficient for ventrolateral endoderm specification in Xenopus., Wills A, Dickinson K, Khokha M, Baker JC., Dev Dyn. August 1, 2008; 237 (8): 2177-86.   


Twisted gastrulation is required for forebrain specification and cooperates with Chordin to inhibit BMP signaling during X. tropicalis gastrulation., Wills A, Harland RM, Khokha MK., Dev Biol. January 1, 2006; 289 (1): 166-78.   

???pagination.result.page??? 1