Click here to close Hello! We notice that you are using Internet Explorer, which is not supported by Xenbase and may cause the site to display incorrectly. We suggest using a current version of Chrome, FireFox, or Safari.

Profile Publications (19)
XB-PERS-1619

Publications By Karine L. Massé

???pagination.result.count???

???pagination.result.page??? 1


Purine Biosynthesis Pathways Are Required for Myogenesis in Xenopus laevis., Duperray M, Hardet F, Henriet E, Saint-Marc C, Boué-Grabot E, Daignan-Fornier B, Massé K, Pinson B., Cells. September 28, 2023; 12 (19):   


The enpp4 ectonucleotidase regulates kidney patterning signalling networks in Xenopus embryos., Massé K, Bhamra S, Paroissin C, Maneta-Peyret L, Boué-Grabot E, Jones EA., Commun Biol. October 7, 2021; 4 (1): 1158.   


Developmental Expression of Ectonucleotidase and Purinergic Receptors Detection by Whole-Mount In Situ Hybridization in Xenopus Embryos., Blanchard C, Massé K., Methods Mol Biol. January 1, 2020; 2041 87-106.


Comparative Embryonic Spatio-Temporal Expression Profile Map of the Xenopus P2X Receptor Family., Blanchard C, Boué-Grabot E, Massé K., Front Cell Neurosci. January 1, 2019; 13 340.   


Comparative genomic and expression analysis of the adenosine signaling pathway members in Xenopus., Tocco A, Pinson B, Thiébaud P, Thézé N, Massé K., Purinergic Signal. March 1, 2015; 11 (1): 59-77.


Purines as potential morphogens during embryonic development., Massé K, Dale N., Purinergic Signal. September 1, 2012; 8 (3): 503-21.   


Ectophosphodiesterase/nucleotide phosphohydrolase (Enpp) nucleotidases: cloning, conservation and developmental restriction., Massé K, Bhamra S, Allsop G, Dale N, Jones EA., Int J Dev Biol. January 1, 2010; 54 (1): 181-93.   


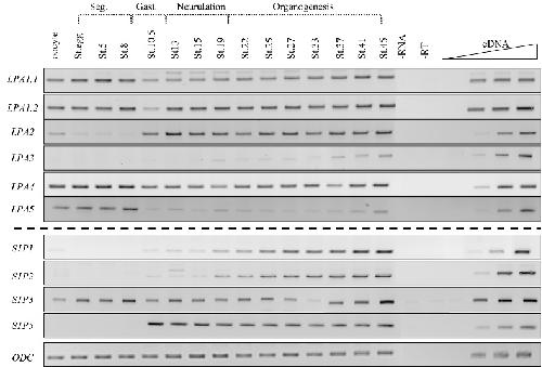
The lysophosphatidic acid (LPA) and sphingosine-1-phosphate (S1P) receptor gene families: cloning and comparative expression analysis in Xenopus laevis., Massé K, Kyuno J, Bhamra S, Jones EA., Int J Dev Biol. January 1, 2010; 54 (8-9): 1361-74.   


Database of queryable gene expression patterns for Xenopus., Gilchrist MJ, Christensen MB, Bronchain O, Brunet F, Chesneau A, Fenger U, Geach TJ, Ironfield HV, Kaya F, Kricha S, Lea R, Massé K, Néant I, Paillard E, Parain K, Perron M, Sinzelle L, Souopgui J, Thuret R, Ymlahi-Ouazzani Q, Pollet N., Dev Dyn. June 1, 2009; 238 (6): 1379-88.   


The lmx1b gene is pivotal in glomus development in Xenopus laevis., Haldin CE, Massé KL, Bhamra S, Simrick S, Kyuno J, Jones EA., Dev Biol. October 1, 2008; 322 (1): 74-85.   


A functional screen for genes involved in Xenopus pronephros development., Kyuno J, Massé K, Jones EA., Mech Dev. July 1, 2008; 125 (7): 571-86.   


Purine-mediated signalling triggers eye development., Massé K, Bhamra S, Eason R, Dale N, Jones EA., Nature. October 25, 2007; 449 (7165): 1058-62.


Anxa4 Genes are Expressed in Distinct Organ Systems in Xenopus laevis and tropicalis But are Functionally Conserved., Massé KL, Collins RJ, Bhamra S, Seville RA, Jones EA., Organogenesis. October 1, 2007; 3 (2): 83-92.   


Comparative genomic and expression analysis of the conserved NTPDase gene family in Xenopus., Massé K, Eason R, Bhamra S, Dale N, Jones EA., Genomics. March 1, 2006; 87 (3): 366-81.   


Developmental expression of Pod 1 in Xenopus laevis., Simrick S, Massé K, Jones EA., Int J Dev Biol. January 1, 2005; 49 (1): 59-63.   


X-epilectin: a novel epidermal fucolectin regulated by BMP signalling., Massé K, Baldwin R, Barnett MW, Jones EA., Int J Dev Biol. December 1, 2004; 48 (10): 1119-29.   


Cloning and characterisation of the immunophilin X-CypA in Xenopus laevis., Massé K, Bhamra S, Haldin CE, Jones EA., Gene Expr Patterns. November 1, 2004; 5 (1): 51-60.   


Isolation and growth factor inducibility of the Xenopus laevis Lmx1b gene., Haldin CE, Nijjar S, Massé K, Barnett MW, Jones EA., Int J Dev Biol. May 1, 2003; 47 (4): 253-62.   


Annexin IV (Xanx-4) has a functional role in the formation of pronephric tubules., Seville RA, Nijjar S, Barnett MW, Massé K, Jones EA., Development. April 1, 2002; 129 (7): 1693-704.   

???pagination.result.page??? 1