Click here to close Hello! We notice that you are using Internet Explorer, which is not supported by Xenbase and may cause the site to display incorrectly. We suggest using a current version of Chrome, FireFox, or Safari.

Profile Publications (14)
XB-PERS-1735

Publications By Duncan B. Sparrow

???pagination.result.count???

???pagination.result.page??? 1


Old wares and new: five decades of investigation of somitogenesis in Xenopus laevis., Sparrow DB., Adv Exp Med Biol. January 1, 2008; 638 73-94.


Xenopus laevis transgenesis by sperm nuclear injection., Smith SJ, Fairclough L, Latinkic BV, Sparrow DB, Mohun TJ., Nat Protoc. January 1, 2006; 1 (5): 2195-203.


The MLC1v gene provides a transgenic marker of myocardium formation within developing chambers of the Xenopus heart., Smith SJ, Ataliotis P, Kotecha S, Towers N, Sparrow DB, Mohun TJ., Dev Dyn. April 1, 2005; 232 (4): 1003-12.   


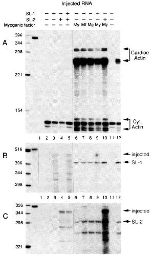
Transcriptional regulation of the cardiac-specific MLC2 gene during Xenopus embryonic development., Latinkic BV, Cooper B, Smith S, Kotecha S, Towers N, Sparrow D, Mohun TJ., Development. February 1, 2004; 131 (3): 669-79.   


Distinct enhancers regulate skeletal and cardiac muscle-specific expression programs of the cardiac alpha-actin gene in Xenopus embryos., Latinkić BV, Cooper B, Towers N, Sparrow D, Kotecha S, Mohun TJ., Dev Biol. May 1, 2002; 245 (1): 57-70.   


The small muscle-specific protein Csl modifies cell shape and promotes myocyte fusion in an insulin-like growth factor 1-dependent manner., Palmer S, Groves N, Schindeler A, Yeoh T, Biben C, Wang CC, Sparrow DB, Barnett L, Jenkins NA, Copeland NG, Koentgen F, Mohun T, Harvey RP., J Cell Biol. May 28, 2001; 153 (5): 985-98.   


Regulation of the tinman homologues in Xenopus embryos., Sparrow DB, Cai C, Kotecha S, Latinkic B, Cooper B, Towers N, Evans SM, Mohun TJ., Dev Biol. November 1, 2000; 227 (1): 65-79.   


A simplified method of generating transgenic Xenopus., Sparrow DB, Latinkic B, Mohun TJ., Nucleic Acids Res. February 15, 2000; 28 (4): E12.


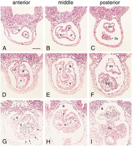
The morphology of heart development in Xenopus laevis., Mohun TJ, Leong LM, Weninger WJ, Sparrow DB., Dev Biol. February 1, 2000; 218 (1): 74-88.   


MEF-2 function is modified by a novel co-repressor, MITR., Sparrow DB, Miska EA, Langley E, Reynaud-Deonauth S, Kotecha S, Towers N, Spohr G, Kouzarides T, Mohun TJ., EMBO J. September 15, 1999; 18 (18): 5085-98.


Thylacine 1 is expressed segmentally within the paraxial mesoderm of the Xenopus embryo and interacts with the Notch pathway., Sparrow DB, Jen WC, Kotecha S, Towers N, Kintner C, Mohun TJ., Development. June 1, 1998; 125 (11): 2041-51.   


Xenopus eHAND: a marker for the developing cardiovascular system of the embryo that is regulated by bone morphogenetic proteins., Sparrow DB, Kotecha S, Towers N, Mohun TJ., Mech Dev. February 1, 1998; 71 (1-2): 151-63.   


Ubc9p and the conjugation of SUMO-1 to RanGAP1 and RanBP2., Saitoh H, Sparrow DB, Shiomi T, Pu RT, Nishimoto T, Mohun TJ, Dasso M., Curr Biol. January 15, 1998; 8 (2): 121-4.


The RSRF/MEF2 protein SL1 regulates cardiac muscle-specific transcription of a myosin light-chain gene in Xenopus embryos., Chambers AE, Logan M, Kotecha S, Towers N, Sparrow D, Mohun TJ., Genes Dev. June 1, 1994; 8 (11): 1324-34.   

???pagination.result.page??? 1