???pagination.result.count???
Foxi2 and Sox3 are master transcription regulators that control ectoderm germ layer specification in Xenopus. , Hendrickson CL, Blitz IL , Hussein A, Paraiso KD , Cho JS, Klymkowsky MW , Kofron MJ , Cho KWY ., PLoS Biol. November 4, 2025; 23 (11): e3003476.
Disrupted endosomal trafficking of the Vangl-Celsr polarity complex underlies congenital anomalies in Xenopus trachea-esophageal morphogenesis. , Edwards NA , Rankin SA , Kashyap A, Warren A, Agricola ZN , Kenny AP , Kofron M , Shen Y , Chung WK, Zorn AM ., Dev Cell. May 22, 2025; 60 (18): 2487-2502.e4.
Endosome-Mediated Epithelial Remodeling Downstream of Hedgehog-Gli Is Required for Tracheoesophageal Separation. , Nasr T , Mancini P , Rankin SA , Edwards NA , Agricola ZN, Kenny AP , Kinney JL, Daniels K, Vardanyan J, Han L , Trisno SL, Cha SW , Wells JM , Kofron MJ , Zorn AM ., Dev Cell. December 16, 2019; 51 (6): 665-674.e6.
Nodal signalling in Xenopus: the role of Xnr5 in left/ right asymmetry and heart development. , Tadjuidje E , Kofron M , Mir A, Wylie C , Heasman J , Cha SW ., Open Biol. August 1, 2016; 6 (8):
CRIM1 complexes with ß-catenin and cadherins, stabilizes cell-cell junctions and is critical for neural morphogenesis. , Ponferrada VG , Fan J, Vallance JE, Hu S, Mamedova A, Rankin SA , Kofron M , Zorn AM , Hegde RS, Lang RA ., PLoS One. January 1, 2012; 7 (3): e32635.
Foxi2 is an animally localized maternal mRNA in Xenopus, and an activator of the zygotic ectoderm activator Foxi1e. , Cha SW , McAdams M, Kormish J , Wylie C , Kofron M ., PLoS One. January 1, 2012; 7 (7): e41782.
A gene regulatory network controlling hhex transcription in the anterior endoderm of the organizer. , Rankin SA , Kormish J , Kofron M , Jegga A, Zorn AM ., Dev Biol. March 15, 2011; 351 (2): 297-310.
Long- and short-range signals control the dynamic expression of an animal hemisphere-specific gene in Xenopus. , Mir A, Kofron M , Heasman J , Mogle M, Lang S, Birsoy B, Wylie C ., Dev Biol. March 1, 2008; 315 (1): 161-72.
The role of FoxC1 in early Xenopus development. , Cha JY, Birsoy B, Kofron M , Mahoney E, Lang S, Wylie C , Heasman J ., Dev Dyn. October 1, 2007; 236 (10): 2731-41.
Wnt11/beta-catenin signaling in both oocytes and early embryos acts through LRP6-mediated regulation of axin. , Kofron M , Birsoy B, Houston D , Tao Q , Wylie C , Heasman J ., Development. February 1, 2007; 134 (3): 503-13.
FoxI1e activates ectoderm formation and controls cell position in the Xenopus blastula. , Mir A, Kofron M , Zorn AM , Bajzer M, Haque M, Heasman J , Wylie CC ., Development. February 1, 2007; 134 (4): 779-88.
Jun NH2-terminal kinase ( JNK) prevents nuclear beta-catenin accumulation and regulates axis formation in Xenopus embryos. , Liao G, Tao Q , Kofron M , Chen JS , Schloemer A, Davis RJ, Hsieh JC, Wylie C , Heasman J , Kuan CY., Proc Natl Acad Sci U S A. October 31, 2006; 103 (44): 16313-8.
Global analysis of the transcriptional network controlling Xenopus endoderm formation. , Sinner D , Kirilenko P, Rankin S , Wei E, Howard L, Kofron M , Heasman J , Woodland HR , Zorn AM ., Development. May 1, 2006; 133 (10): 1955-66.
Maternal XTcf1 and XTcf4 have distinct roles in regulating Wnt target genes. , Standley HJ , Destrée O, Kofron M , Wylie C , Heasman J ., Dev Biol. January 15, 2006; 289 (2): 318-28.
Vg 1 is an essential signaling molecule in Xenopus development. , Birsoy B, Kofron M , Schaible K, Wylie C , Heasman J ., Development. January 1, 2006; 133 (1): 15-20.
Maternal wnt11 activates the canonical wnt signaling pathway required for axis formation in Xenopus embryos. , Tao Q , Yokota C, Puck H, Kofron M , Birsoy B, Yan D, Asashima M , Wylie CC , Lin X, Heasman J ., Cell. March 25, 2005; 120 (6): 857-71.
New roles for FoxH1 in patterning the early embryo. , Kofron M , Puck H, Standley H , Wylie C , Old R , Whitman M , Heasman J ., Development. October 1, 2004; 131 (20): 5065-78.
The role of Mixer in patterning the early Xenopus embryo. , Kofron M , Wylie C , Heasman J ., Development. May 1, 2004; 131 (10): 2431-41.
A novel role for a nodal-related protein; Xnr3 regulates convergent extension movements via the FGF receptor. , Yokota C, Kofron M , Zuck M, Houston DW , Isaacs H , Asashima M , Wylie CC , Heasman J ., Development. May 1, 2003; 130 (10): 2199-212.
The roles of three signaling pathways in the formation and function of the Spemann Organizer. , Xanthos JB, Kofron M , Tao Q , Schaible K, Wylie C , Heasman J ., Development. September 1, 2002; 129 (17): 4027-43.
Repression of organizer genes in dorsal and ventral Xenopus cells mediated by maternal XTcf3. , Houston DW , Kofron M , Resnik E, Langland R, Destree O , Wylie C , Heasman J ., Development. September 1, 2002; 129 (17): 4015-25.
Plakoglobin is required for maintenance of the cortical actin skeleton in early Xenopus embryos and for cdc42-mediated wound healing. , Kofron M , Heasman J , Lang SA, Wylie CC ., J Cell Biol. August 19, 2002; 158 (4): 695-708.
The role of maternal axin in patterning the Xenopus embryo. , Kofron M , Klein P, Zhang F, Houston DW , Schaible K, Wylie C , Heasman J ., Dev Biol. September 1, 2001; 237 (1): 183-201.
Maternal VegT is the initiator of a molecular network specifying endoderm in Xenopus laevis. , Xanthos JB, Kofron M , Wylie C , Heasman J ., Development. January 1, 2001; 128 (2): 167-80.
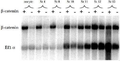
Beta-catenin signaling activity dissected in the early Xenopus embryo: a novel antisense approach. , Heasman J , Kofron M , Wylie C ., Dev Biol. June 1, 2000; 222 (1): 124-34.
Mesoderm induction in Xenopus is a zygotic event regulated by maternal VegT via TGFbeta growth factors. , Kofron M , Demel T, Xanthos J, Lohr J, Sun B, Sive H , Osada S, Wright C, Wylie C , Heasman J ., Development. December 1, 1999; 126 (24): 5759-70.
Interaction of an Overexpressed gamma-Tubulin with Microtubules In Vivo and In Vitro. , Kofron M , Nadezdina E, Vassilev A, Matuliene J, Essner R, Kato J, Kuriyama R., Zoolog Sci. August 1, 1998; 15 (4): 477-87.
The roles of maternal alpha-catenin and plakoglobin in the early Xenopus embryo. , Kofron M , Spagnuolo A, Klymkowsky M, Wylie C , Heasman J ., Development. April 1, 1997; 124 (8): 1553-60.
Maternal beta-catenin establishes a 'dorsal signal' in early Xenopus embryos. , Wylie C , Kofron M , Payne C, Anderson R, Hosobuchi M, Joseph E, Heasman J ., Development. October 1, 1996; 122 (10): 2987-96.