Click here to close Hello! We notice that you are using Internet Explorer, which is not supported by Xenbase and may cause the site to display incorrectly. We suggest using a current version of Chrome, FireFox, or Safari.

Profile Publications (91)
XB-PERS-1843

Publications By Hollis T. Cline

???pagination.result.count???

???pagination.result.page??? 1 2 ???pagination.result.next???


Adeno-associated viral tools to trace neural development and connectivity across amphibians., Jaeger ECB, Vijatovic D, Deryckere A, Zorin N, Nguyen AL, Ivanian G, Woych J, Arnold RC, Gurrola AO, Shvartsman A, Barbieri F, Toma FA, Cline HT, Shay TF, Kelley DB, Yamaguchi A, Shein-Idelson M, Tosches MA, Sweeney LB., Dev Cell. November 10, 2024; 60 (5): 794-812.e6.   


Postsynaptic receptors regulate presynaptic transmitter stability through transsynaptic bridges., Godavarthi SK, Hiramoto M, Ignatyev Y, Levin JB, Li HQ, Pratelli M, Borchardt J, Czajkowski C, Borodinsky LN, Sweeney L, Cline HT, Spitzer NC., Proc Natl Acad Sci U S A. April 9, 2024; 121 (15): e2318041121.   


BRCA1 and ELK-1 regulate neural progenitor cell fate in the optic tectum in response to visual experience in Xenopus laevis tadpoles., Huang LC, McKeown CR, He HY, Ta AC, Cline HT., Proc Natl Acad Sci U S A. January 16, 2024; 121 (3): e2316542121.   


Neuronal membrane proteasomes regulate neuronal circuit activity in vivo and are required for learning-induced behavioral plasticity., He HY, Ahsan A, Bera R, McLain N, Faulkner R, Ramachandran KV, Margolis SS, Cline HT., Proc Natl Acad Sci U S A. January 17, 2023; 120 (3): e2216537120.   


Imaging Structural and Functional Dynamics in Xenopus Neurons., Cline HT., Cold Spring Harb Protoc. February 1, 2022; 2022 (2):


Proteomic screen reveals diverse protein transport between connected neurons in the visual system., Schiapparelli LM, Sharma P, He HY, Li J, Shah SH, McClatchy DB, Ma Y, Liu HH, Goldberg JL, Yates JR, Cline HT., Cell Rep. January 25, 2022; 38 (4): 110287.   


In Vivo Time-Lapse Imaging and Analysis of Dendritic Structural Plasticity in Xenopus laevis Tadpoles., He HY, Lin CY, Cline HT., Cold Spring Harb Protoc. January 4, 2022; 2022 (1):


Temporal and spatial transcriptomic dynamics across brain development in Xenopus laevis tadpoles., Ta AC, Huang LC, McKeown CR, Bestman JE, Van Keuren-Jensen K, Cline HT., G3 (Bethesda). January 4, 2022; 12 (1):   


Tetrode Recording in the Xenopus laevis Visual System Using Multichannel Glass Electrodes., Hiramoto M, Cline HT., Cold Spring Harb Protoc. November 1, 2021; 2021 (11):


Role of matrix metalloproteinase-9 in neurodevelopmental deficits and experience-dependent plasticity in Xenopus laevis., Gore SV, James EJ, Huang LC, Park JJ, Berghella A, Thompson AC, Cline HT, Aizenman CD., Elife. July 20, 2021; 10   


Application of Recombinant Rabies Virus to Xenopus Tadpole Brain., Faulkner RL, Wall NR, Callaway EM, Cline HT., eNeuro. June 7, 2021; 8 (4):   


Electrophysiological Recording for Study of Xenopus Retinotectal Circuitry., Luo Y, Shen W, Cline HT., Cold Spring Harb Protoc. June 1, 2021; 2021 (6):


Precisely controlled visual stimulation to study experience-dependent neural plasticity in Xenopus tadpoles., Hiramoto M, Cline HT., STAR Protoc. January 8, 2021; 2 (1): 100252.   


Correction: Nutrient restriction causes reversible G2 arrest in Xenopus neural progenitors., McKeown CR, Cline HT., Development. August 14, 2020; 147 (15):


NMDARs Translate Sequential Temporal Information into Spatial Maps., Hiramoto M, Cline HT., iScience. June 26, 2020; 23 (6): 101130.   


Morpholino Studies in Xenopus Brain Development., Bestman JE, Cline HT., Methods Mol Biol. January 1, 2020; 2047 377-395.


Nutrient restriction causes reversible G2 arrest in Xenopus neural progenitors., McKeown CR, Cline HT., Development. October 24, 2019; 146 (20):   


Enhanced visual experience rehabilitates the injured brain in Xenopus tadpoles in an NMDAR-dependent manner., Gambrill AC, Faulkner RL, McKeown CR, Cline HT., J Neurophysiol. January 1, 2019; 121 (1): 306-320.


Excitatory synaptic dysfunction cell-autonomously decreases inhibitory inputs and disrupts structural and functional plasticity., He HY, Shen W, Zheng L, Guo X, Cline HT., Nat Commun. July 24, 2018; 9 (1): 2893.   


Direct intertectal inputs are an integral component of the bilateral sensorimotor circuit for behavior in Xenopus tadpoles., Gambrill AC, Faulkner RL, Cline HT., J Neurophysiol. May 1, 2018; 119 (5): 1947-1961.


Role of the visual experience-dependent nascent proteome in neuronal plasticity., Liu HH, McClatchy DB, Schiapparelli L, Shen W, Yates JR, Cline HT., Elife. February 7, 2018; 7   


In Vivo Analysis of the Neurovascular Niche in the Developing Xenopus Brain., Lau M, Li J, Cline HT., eNeuro. July 31, 2017; 4 (4):   


Reversible developmental stasis in response to nutrient availability in the Xenopus laevis central nervous system., McKeown CR, Thompson CK, Cline HT., J Exp Biol. February 1, 2017; 220 (Pt 3): 358-368.


Experience-dependent plasticity of excitatory and inhibitory intertectal inputs in Xenopus tadpoles., Gambrill AC, Faulkner R, Cline HT., J Neurophysiol. November 1, 2016; 116 (5): 2281-2297.


Thyroid Hormone Acts Locally to Increase Neurogenesis, Neuronal Differentiation, and Dendritic Arbor Elaboration in the Tadpole Visual System., Thompson CK, Cline HT., J Neurosci. October 5, 2016; 36 (40): 10356-10375.


Fragile X mental retardation protein knockdown in the developing Xenopus tadpole optic tectum results in enhanced feedforward inhibition and behavioral deficits., Truszkowski TL, James EJ, Hasan M, Wishard TJ, Liu Z, Pratt KG, Cline HT, Aizenman CD., Neural Dev. August 8, 2016; 11 (1): 14.   


Fragile X Mental Retardation Protein Is Required to Maintain Visual Conditioning-Induced Behavioral Plasticity by Limiting Local Protein Synthesis., Liu HH, Cline HT., J Neurosci. July 6, 2016; 36 (27): 7325-39.


Experience-Dependent Bimodal Plasticity of Inhibitory Neurons in Early Development., He HY, Shen W, Hiramoto M, Cline HT., Neuron. June 15, 2016; 90 (6): 1203-1214.


An in vivo screen to identify candidate neurogenic genes in the developing Xenopus visual system., Bestman JE, Huang LC, Lee-Osbourne J, Cheung P, Cline HT., Dev Biol. December 15, 2015; 408 (2): 269-91.   


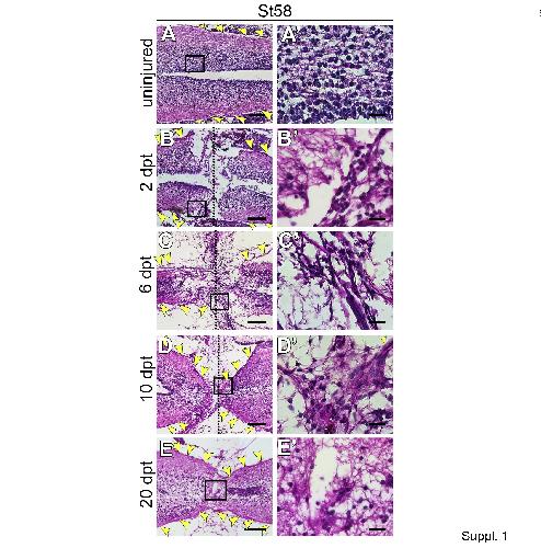
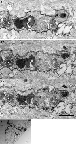
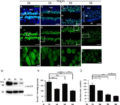
Regeneration of Xenopus laevis spinal cord requires Sox2/3 expressing cells., Muñoz R, Edwards-Faret G, Moreno M, Zuñiga N, Cline H, Larraín J., Dev Biol. December 15, 2015; 408 (2): 229-43.   


FMRP regulates neurogenesis in vivo in Xenopus laevis tadpoles., Faulkner RL, Wishard TJ, Thompson CK, Liu HH, Cline HT., eNeuro. January 1, 2015; 2 (1): e0055.   


Optic flow instructs retinotopic map formation through a spatial to temporal to spatial transformation of visual information., Hiramoto M, Cline HT., Proc Natl Acad Sci U S A. November 25, 2014; 111 (47): E5105-13.


Acute synthesis of CPEB is required for plasticity of visual avoidance behavior in Xenopus., Shen W, Liu HH, Schiapparelli L, McClatchy D, He HY, Yates JR, Cline HT., Cell Rep. February 27, 2014; 6 (4): 737-47.


Morpholino studies in Xenopus brain development., Bestman JE, Cline HT., Methods Mol Biol. January 1, 2014; 1082 155-71.


In vivo time-lapse imaging of neuronal development in Xenopus., Ruthazer ES, Schohl A, Schwartz N, Tavakoli A, Tremblay M, Cline HT., Cold Spring Harb Protoc. September 1, 2013; 2013 (9): 804-9.


Labeling individual neurons in the brains of live Xenopus tadpoles by electroporation of dyes or DNA., Ruthazer ES, Schohl A, Schwartz N, Tavakoli A, Tremblay M, Cline HT., Cold Spring Harb Protoc. September 1, 2013; 2013 (9): 869-72.


Bulk electroporation of retinal ganglion cells in live Xenopus tadpoles., Ruthazer ES, Schohl A, Schwartz N, Tavakoli A, Tremblay M, Cline HT., Cold Spring Harb Protoc. August 1, 2013; 2013 (8): 771-5.


Dye labeling retinal ganglion cell axons in live Xenopus tadpoles., Ruthazer ES, Schohl A, Schwartz N, Tavakoli A, Tremblay M, Cline HT., Cold Spring Harb Protoc. August 1, 2013; 2013 (8): 768-70.


Neurogenesis is required for behavioral recovery after injury in the visual system of Xenopus laevis., McKeown CR, Sharma P, Sharipov HE, Shen W, Cline HT., J Comp Neurol. July 1, 2013; 521 (10): 2262-78.   


Computer aided alignment and quantitative 4D structural plasticity analysis of neurons., Lee PC, He HY, Lin CY, Ching YT, Cline HT., Neuroinformatics. April 1, 2013; 11 (2): 249-57.


Vision drives correlated activity without patterned spontaneous activity in developing Xenopus retina., Demas JA, Payne H, Cline HT., Dev Neurobiol. April 1, 2012; 72 (4): 537-46.


Xenopus as an experimental system for developmental neuroscience: introduction to a special issue., Cline HT, Kelly D., Dev Neurobiol. April 1, 2012; 72 (4): 463-4.


In vivo time-lapse imaging of cell proliferation and differentiation in the optic tectum of Xenopus laevis tadpoles., Bestman JE, Lee-Osbourne J, Cline HT., J Comp Neurol. February 1, 2012; 520 (2): 401-33.   


GABA expression and regulation by sensory experience in the developing visual system., Miraucourt LS, Silva JS, Burgos K, Li J, Abe H, Ruthazer ES, Cline HT., PLoS One. January 1, 2012; 7 (1): e29086.   


Inhibition to excitation ratio regulates visual system responses and behavior in vivo., Shen W, McKeown CR, Demas JA, Cline HT., J Neurophysiol. November 1, 2011; 106 (5): 2285-302.


In vivo time-lapse imaging and serial section electron microscopy reveal developmental synaptic rearrangements., Li J, Erisir A, Cline H., Neuron. January 27, 2011; 69 (2): 273-86.


Visual activity regulates neural progenitor cells in developing xenopus CNS through musashi1., Sharma P, Cline HT., Neuron. November 4, 2010; 68 (3): 442-55.


Visual deprivation increases accumulation of dense core vesicles in developing optic tectal synapses in Xenopus laevis., Li J, Cline HT., J Comp Neurol. June 15, 2010; 518 (12): 2365-81.


Membrane targeted horseradish peroxidase as a marker for correlative fluorescence and electron microscopy studies., Li J, Wang Y, Chiu SL, Cline HT., Front Neural Circuits. February 26, 2010; 4 6.   


Convergence of multisensory inputs in Xenopus tadpole tectum., Hiramoto M, Cline HT., Dev Neurobiol. December 1, 2009; 69 (14): 959-71.

???pagination.result.page??? 1 2 ???pagination.result.next???