???pagination.result.count???
Balancing cell behavior at boundaries. , Wilkinson DG ., J Cell Biol. March 16, 2015; 208 (6): 659-60.
Ephrins make eyes with planar cell polarity. , Poliakov A, Wilkinson DG ., Nat Cell Biol. January 1, 2006; 8 (1): 7-8.
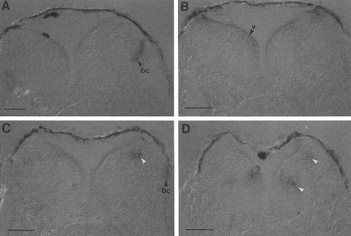
A vertebrate crossveinless 2 homologue modulates BMP activity and neural crest cell migration. , Coles E, Christiansen J, Economou A, Bronner-Fraser M , Wilkinson DG ., Development. November 1, 2004; 131 (21): 5309-17.
The zebrafish Hairy/Enhancer-of-split-related gene her6 is segmentally expressed during the early development of hindbrain and somites. , Pasini A, Henrique D, Wilkinson DG ., Mech Dev. February 1, 2001; 100 (2): 317-21.
Molecular control of neural crest formation, migration and differentiation. , Christiansen JH, Coles EG, Wilkinson DG ., Curr Opin Cell Biol. December 1, 2000; 12 (6): 719-24.
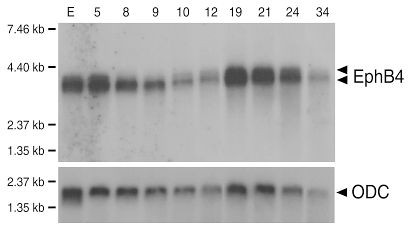
Comparative analysis of embryonic gene expression defines potential interaction sites for Xenopus EphB4 receptors with ephrin-B ligands. , Helbling PM, Saulnier DM, Robinson V, Christiansen JH, Wilkinson DG , Brändli AW ., Dev Dyn. December 1, 1999; 216 (4-5): 361-73.
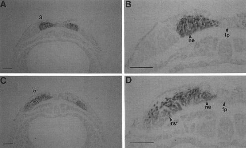
The EphA4 and EphB1 receptor tyrosine kinases and ephrin-B2 ligand regulate targeted migration of branchial neural crest cells. , Smith A , Robinson V, Patel K, Wilkinson DG ., Curr Biol. August 1, 1997; 7 (8): 561-70.
Expression of truncated Sek-1 receptor tyrosine kinase disrupts the segmental restriction of gene expression in the Xenopus and zebrafish hindbrain. , Xu Q, Alldus G, Holder N, Wilkinson DG ., Development. December 1, 1995; 121 (12): 4005-16.
The structure and expression of the Xenopus Krox-20 gene: conserved and divergent patterns of expression in rhombomeres and neural crest. , Bradley LC, Snape A, Bhatt S, Wilkinson DG ., Mech Dev. January 1, 1993; 40 (1-2): 73-84.
Cloning and developmental expression of Sna, a murine homologue of the Drosophila snail gene. , Nieto MA, Bennett MF, Sargent MG, Wilkinson DG ., Development. September 1, 1992; 116 (1): 227-37.
Molecular mechanisms of pattern formation in the vertebrate hindbrain. , Nieto MA, Bradley LC, Hunt P, Das Gupta R, Krumlauf R , Wilkinson DG ., Ciba Found Symp. January 1, 1992; 165 92-102; discussion 102-7.
Conserved segmental expression of Krox-20 in the vertebrate hindbrain and its relationship to lineage restriction. , Nieto MA, Bradley LC, Wilkinson DG ., Development. January 1, 1991; Suppl 2 59-62.
Expression pattern of the mouse T gene and its role in mesoderm formation. , Wilkinson DG , Bhatt S, Herrmann BG., Nature. February 15, 1990; 343 (6259): 657-9.