Click here to close Hello! We notice that you are using Internet Explorer, which is not supported by Xenbase and may cause the site to display incorrectly. We suggest using a current version of Chrome, FireFox, or Safari.

Profile Publications (44)
XB-PERS-2040

Publications By Thomas Hollemann

???pagination.result.count???

???pagination.result.page??? 1


OTUD3: A Lys6 and Lys63 specific deubiquitinase in early vertebrate development., Job F, Mai C, Villavicencio-Lorini P, Herfurth J, Neuhaus H, Hoffmann K, Pfirrmann T, Hollemann T., Biochim Biophys Acta Gene Regul Mech. March 1, 2023; 1866 (1): 194901.   


Cilia-localized GID/CTLH ubiquitin ligase complex regulates protein homeostasis of sonic hedgehog signaling components., Hantel F, Liu H, Fechtner L, Neuhaus H, Ding J, Arlt D, Walentek P, Villavicencio-Lorini P, Gerhardt C, Hollemann T, Pfirrmann T., J Cell Sci. May 1, 2022; 135 (9):   


Interplay of TRIM2 E3 Ubiquitin Ligase and ALIX/ESCRT Complex: Control of Developmental Plasticity During Early Neurogenesis., Lokapally A, Neuhaus H, Herfurth J, Hollemann T., Cells. July 20, 2020; 9 (7):   


A multichannel computer-driven system to raise aquatic embryos under selectable hypoxic conditions., Metikala S, Neuhaus H, Hollemann T., Hypoxia (Auckl). January 12, 2018; 6 1-9.   


lrpap1 as a specific marker of proximal pronephric kidney tubuli in Xenopus laevis embryos., Neuhaus H, Gaul F, Hollemann T., Int J Dev Biol. January 1, 2018; 62 (4-5): 319-324.   


Xenopus laevis neuronal cell adhesion molecule (nrcam): plasticity of a CAM in the developing nervous system., Lokapally A, Metikala S, Hollemann T., Dev Genes Evol. January 1, 2017; 227 (1): 61-67.   


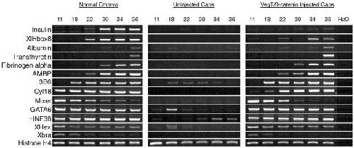
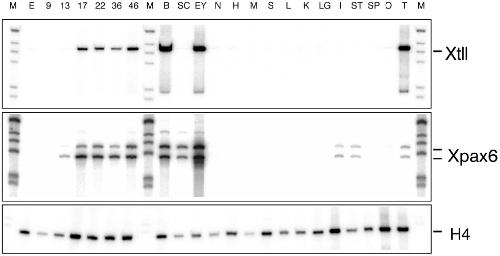
Hedgehog-dependent E3-ligase Midline1 regulates ubiquitin-mediated proteasomal degradation of Pax6 during visual system development., Pfirrmann T, Jandt E, Ranft S, Lokapally A, Neuhaus H, Perron M, Hollemann T., Proc Natl Acad Sci U S A. September 6, 2016; 113 (36): 10103-8.   


Suppression of vascular network formation by chronic hypoxia and prolyl-hydroxylase 2 (phd2) deficiency during vertebrate development., Metikala S, Neuhaus H, Hollemann T., Angiogenesis. April 1, 2016; 19 (2): 119-31.   


Expressional characterization of mRNA (guanine-7) methyltransferase (rnmt) during early development of Xenopus laevis., Lokapally A, Metikala S, Hollemann T., Int J Dev Biol. January 1, 2016; 60 (1-3): 65-9.   


Molecular mechanism of CHRDL1-mediated X-linked megalocornea in humans and in Xenopus model., Pfirrmann T, Emmerich D, Ruokonen P, Quandt D, Buchen R, Fischer-Zirnsak B, Hecht J, Krawitz P, Meyer P, Klopocki E, Stricker S, Lausch E, Seliger B, Hollemann T, Reinhard T, Auw-Haedrich C, Zabel B, Hoffmann K, Villavicencio-Lorini P., Hum Mol Genet. June 1, 2015; 24 (11): 3119-32.


RMND5 from Xenopus laevis is an E3 ubiquitin-ligase and functions in early embryonic forebrain development., Pfirrmann T, Villavicencio-Lorini P, Subudhi AK, Menssen R, Wolf DH, Hollemann T., PLoS One. March 16, 2015; 10 (3): e0120342.   


Xenopus cadherin 5 is specifically expressed in endothelial cells of the developing vascular system., Neuhaus H, Metikala S, Hollemann T., Int J Dev Biol. January 1, 2014; 58 (1): 51-6.   


sox4 and sox11 function during Xenopus laevis eye development., Cizelsky W, Hempel A, Metzig M, Tao S, Hollemann T, Kühl M, Kühl SJ., PLoS One. July 1, 2013; 8 (7): e69372.   


SOMA: a single oligonucleotide mutagenesis and cloning approach., Pfirrmann T, Lokapally A, Andréasson C, Ljungdahl P, Hollemann T., PLoS One. June 4, 2013; 8 (6): e64870.   


Xenopus er71 is involved in vascular development., Neuhaus H, Müller F, Hollemann T., Dev Dyn. December 1, 2010; 239 (12): 3436-45.   


The role of Xenopus Rx-L in photoreceptor cell determination., Wu HY, Perron M, Hollemann T., Dev Biol. March 15, 2009; 327 (2): 352-65.   


Xeya3 regulates survival and proliferation of neural progenitor cells within the anterior neural plate of Xenopus embryos., Kriebel M, Müller F, Hollemann T., Dev Dyn. June 1, 2007; 236 (6): 1526-34.   


Manipulation of hedgehog signaling in Xenopus by means of embryo microinjection and application of chemical inhibitors., Hollemann T, Tadjuidje E, Koebernick K, Pieler T., Methods Mol Biol. January 1, 2007; 397 35-45.


Cholesterol homeostasis in development: the role of Xenopus 7-dehydrocholesterol reductase (Xdhcr7) in neural development., Tadjuidje E, Hollemann T., Dev Dyn. August 1, 2006; 235 (8): 2095-110.   


Olfactory and lens placode formation is controlled by the hedgehog-interacting protein (Xhip) in Xenopus., Cornesse Y, Pieler T, Hollemann T., Dev Biol. January 15, 2005; 277 (2): 296-315.   


Outer dense fibre protein 2 (ODF2) is a self-interacting centrosomal protein with affinity for microtubules., Donkor FF, Mönnich M, Czirr E, Hollemann T, Hoyer-Fender S., J Cell Sci. September 15, 2004; 117 (Pt 20): 4643-51.


Isolation and characterization of the Xenopus HIVEP gene family., Dürr U, Henningfeld KA, Hollemann T, Knöchel W, Pieler T., Eur J Biochem. March 1, 2004; 271 (6): 1135-44.


A restrictive role for Hedgehog signalling during otic specification in Xenopus., Koebernick K, Hollemann T, Pieler T., Dev Biol. August 15, 2003; 260 (2): 325-38.   


Cell-autonomous and signal-dependent expression of liver and intestine marker genes in pluripotent precursor cells from Xenopus embryos., Chen Y, Jürgens K, Hollemann T, Claussen M, Ramadori G, Pieler T., Mech Dev. March 1, 2003; 120 (3): 277-88.   


Molecular cloning and expression of the chromatin insulator protein CTCF in Xenopus laevis., Burke LJ, Hollemann T, Pieler T, Renkawitz R., Mech Dev. April 1, 2002; 113 (1): 95-8.   


Xpitx3: a member of the Rieg/Pitx gene family expressed during pituitary and lens formation in Xenopus laevis., Pommereit D, Pieler T, Hollemann T., Mech Dev. April 1, 2001; 102 (1-2): 255-7.   


Tissue-specific expression of an Ornithine decarboxylase paralogue, XODC2, in Xenopus laevis., Cao Y, Zhao H, Hollemann T, Chen Y, Grunz H., Mech Dev. April 1, 2001; 102 (1-2): 243-6.   


Molecular cloning and expression analysis of the Hedgehog receptors XPtc1 and XSmo in Xenopus laevis., Koebernick K, Hollemann T, Pieler T., Mech Dev. February 1, 2001; 100 (2): 303-8.   


Xnkx-2.1: a homeobox gene expressed during early forebrain, lung and thyroid development in Xenopus laevis., Hollemann T, Pieler T., Dev Genes Evol. November 1, 2000; 210 (11): 579-81.


Structure and expression of Xenopus karyopherin-beta3: definition of a novel synexpression group related to ribosome biogenesis., Wischnewski J, Sölter M, Chen Y, Hollemann T, Pieler T., Mech Dev. July 1, 2000; 95 (1-2): 245-8.   


Expanded retina territory by midbrain transformation upon overexpression of Six6 (Optx2) in Xenopus embryos., Bernier G, Panitz F, Zhou X, Hollemann T, Gruss P, Pieler T., Mech Dev. May 1, 2000; 93 (1-2): 59-69.   


Cloning and expression of xSix3, the Xenopus homologue of murine Six3., Zhou X, Hollemann T, Pieler T, Gruss P., Mech Dev. March 1, 2000; 91 (1-2): 327-30.   


Planar signalling is not sufficient to generate a specific anterior/posterior neural pattern in pseudoexogastrula explants from Xenopus and Triturus., Chen Y, Hollemann T, Pieler T, Grunz H., Mech Dev. January 1, 2000; 90 (1): 53-63.


Vax1, a novel homeobox-containing gene, directs development of the basal forebrain and visual system., Hallonet M, Hollemann T, Pieler T, Gruss P., Genes Dev. December 1, 1999; 13 (23): 3106-14.   


Characterization of a subfamily of related winged helix genes, XFD-12/12'/12" (XFLIP), during Xenopus embryogenesis., Sölter M, Köster M, Hollemann T, Brey A, Pieler T, Knöchel W., Mech Dev. December 1, 1999; 89 (1-2): 161-5.   


Xpitx-1: a homeobox gene expressed during pituitary and cement gland formation of Xenopus embryos., Hollemann T, Pieler T., Mech Dev. November 1, 1999; 88 (2): 249-52.   


Characterization of the Ets-type protein ER81 in Xenopus embryos., Chen Y, Hollemann T, Grunz H, Pieler T., Mech Dev. January 1, 1999; 80 (1): 67-76.   


Regionalized metabolic activity establishes boundaries of retinoic acid signalling., Hollemann T, Chen Y, Grunz H, Pieler T., EMBO J. December 15, 1998; 17 (24): 7361-72.


The Spemann organizer-expressed zinc finger gene Xegr-1 responds to the MAP kinase/Ets-SRF signal transduction pathway., Panitz F, Krain B, Hollemann T, Nordheim A, Pieler T., EMBO J. August 3, 1998; 17 (15): 4414-25.


Vax1 is a novel homeobox-containing gene expressed in the developing anterior ventral forebrain., Hallonet M, Hollemann T, Wehr R, Jenkins NA, Copeland NG, Pieler T, Gruss P., Development. July 1, 1998; 125 (14): 2599-610.   


The Xenopus homologue of the Drosophila gene tailless has a function in early eye development., Hollemann T, Bellefroid E, Pieler T., Development. July 1, 1998; 125 (13): 2425-32.   


X-MyT1, a Xenopus C2HC-type zinc finger protein with a regulatory function in neuronal differentiation., Bellefroid EJ, Bourguignon C, Hollemann T, Ma Q, Anderson DJ, Kintner C, Pieler T., Cell. December 27, 1996; 87 (7): 1191-202.   


Xenopus Xsal-1, a vertebrate homolog of the region specific homeotic gene spalt of Drosophila., Hollemann T, Schuh R, Pieler T, Stick R., Mech Dev. March 1, 1996; 55 (1): 19-32.   


Zinc finger proteins in early Xenopus development., Hollemann T, Bellefroid E, Stick R, Pieler T., Int J Dev Biol. February 1, 1996; 40 (1): 291-5.   

???pagination.result.page??? 1