|
XB-PERS-2046
Publications By Richard A. Lang
???pagination.result.count??????pagination.result.page??? 1
|
CRIM1 complexes with ß-catenin and cadherins, stabilizes cell-cell junctions and is critical for neural morphogenesis., Ponferrada VG, Fan J, Vallance JE, Hu S, Mamedova A, Rankin SA, Kofron M, Zorn AM, Hegde RS, Lang RA., PLoS One. January 1, 2012; 7 (3): e32635. |
|
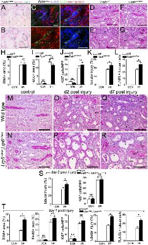
Macrophage Wnt7b is critical for kidney repair and regeneration., Lin SL, Li B, Rao S, Yeo EJ, Hudson TE, Nowlin BT, Pei H, Chen L, Zheng JJ, Carroll TJ, Pollard JW, McMahon AP, Lang RA, Duffield JS., Proc Natl Acad Sci U S A. March 2, 2010; 107 (9): 4194-9. |
|
Discovery and characterization of a small molecule inhibitor of the PDZ domain of dishevelled., Grandy D, Shan J, Zhang X, Rao S, Akunuru S, Li H, Zhang Y, Alpatov I, Zhang XA, Lang RA, Shi DL, Zheng JJ., J Biol Chem. June 12, 2009; 284 (24): 16256-16263. |
|
WNT7b mediates macrophage-induced programmed cell death in patterning of the vasculature., Lobov IB, Rao S, Carroll TJ, Vallance JE, Ito M, Ondr JK, Kurup S, Glass DA, Patel MS, Shu W, Morrisey EE, McMahon AP, Karsenty G, Lang RA., Nature. September 15, 2005; 437 (7057): 417-21. |
|
Pax6 induces ectopic eyes in a vertebrate., Chow RL, Altmann CR, Lang RA, Hemmati-Brivanlou A., Development. October 1, 1999; 126 (19): 4213-22. |
|
Lens induction by Pax-6 in Xenopus laevis., Altmann CR, Chow RL, Lang RA, Hemmati-Brivanlou A., Dev Biol. May 1, 1997; 185 (1): 119-23. |
???pagination.result.page??? 1
