Click here to close Hello! We notice that you are using Internet Explorer, which is not supported by Xenbase and may cause the site to display incorrectly. We suggest using a current version of Chrome, FireFox, or Safari.

Profile Publications (9)
XB-PERS-2922

Publications By Gregg Duester

???pagination.result.count???

???pagination.result.page??? 1


Id genes are essential for early heart formation., Cunningham TJ, Yu MS, McKeithan WL, Spiering S, Carrette F, Huang CT, Bushway PJ, Tierney M, Albini S, Giacca M, Mano M, Puri PL, Sacco A, Ruiz-Lozano P, Riou JF, Umbhauer M, Duester G, Mercola M, Colas AR., Genes Dev. July 1, 2017; 31 (13): 1325-1338.   


The Xenopus alcohol dehydrogenase gene family: characterization and comparative analysis incorporating amphibian and reptilian genomes., Borràs E, Albalat R, Duester G, Parés X, Farrés J., BMC Genomics. March 20, 2014; 15 216.   


Whole-genome microRNA screening identifies let-7 and mir-18 as regulators of germ layer formation during early embryogenesis., Colas AR, McKeithan WL, Cunningham TJ, Bushway PJ, Garmire LX, Duester G, Subramaniam S, Mercola M., Genes Dev. December 1, 2012; 26 (23): 2567-79.   


Retinoic acid biosynthetic enzyme ALDH1 localizes in a subset of retinoid-dependent tissues during xenopus development., Ang HL, Duester G., Dev Dyn. July 1, 1999; 215 (3): 264-72.


Molecular analysis of two closely related mouse aldehyde dehydrogenase genes: identification of a role for Aldh1, but not Aldh-pb, in the biosynthesis of retinoic acid., Hsu LC, Chang WC, Hoffmann I, Duester G., Biochem J. April 15, 1999; 339 ( Pt 2) 387-95.


Stimulation of premature retinoic acid synthesis in Xenopus embryos following premature expression of aldehyde dehydrogenase ALDH1., Ang HL, Duester G., Eur J Biochem. February 1, 1999; 260 (1): 227-34.


Distinct functions for Aldh1 and Raldh2 in the control of ligand production for embryonic retinoid signaling pathways., Haselbeck RJ, Hoffmann I, Duester G., Dev Genet. January 1, 1999; 25 (4): 353-64.


Function of alcohol dehydrogenase and aldehyde dehydrogenase gene families in retinoid signaling., Duester G., Adv Exp Med Biol. January 1, 1999; 463 311-9.


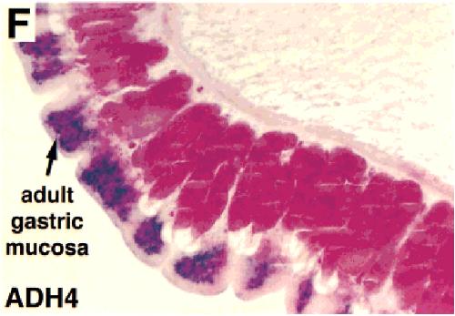
Alcohol dehydrogenases in Xenopus development: conserved expression of ADH1 and ADH4 in epithelial retinoid target tissues., Hoffmann I, Ang HL, Duester G., Dev Dyn. November 1, 1998; 213 (3): 261-70.   

???pagination.result.page??? 1