|
XB-PERS-2959
Publications By Matthias Stöck
???pagination.result.count??????pagination.result.page??? 1
|
The Amphibian Genomics Consortium: advancing genomic and genetic resources for amphibian research and conservation., Kosch TA, Torres-Sánchez M, Liedtke HC, Summers K, Yun MH, Crawford AJ, Maddock ST, Ahammed MS, Araújo VLN, Bertola LV, Bucciarelli GM, Carné A, Carneiro CM, Chan KO, Chen Y, Crottini A, da Silva JM, Denton RD, Dittrich C, Espregueira Themudo G, Farquharson KA, Forsdick NJ, Gilbert E, Che J, Katzenback BA, Kotharambath R, Levis NA, Márquez R, Mazepa G, Mulder KP, Müller H, O'Connell MJ, Orozco-terWengel P, Palomar G, Petzold A, Pfennig DW, Pfennig KS, Reichert MS, Robert J, Scherz MD, Siu-Ting K, Snead AA, Stöck M, Stuckert AMM, Stynoski JL, Tarvin RD, Wollenberg Valero KC, Amphibian Genomics Consortium., BMC Genomics. November 1, 2024; 25 (1): 1025. |
|
A candidate sex determination locus in amphibians which evolved by structural variation between X- and Y-chromosomes., Kuhl H, Tan WH, Klopp C, Kleiner W, Koyun B, Ciorpac M, Feron R, Knytl M, Kloas W, Schartl M, Winkler C, Stöck M., Nat Commun. June 5, 2024; 15 (1): 4781. |
|
Impacts of the synthetic androgen Trenbolone on gonad differentiation and development - comparisons between three deeply diverged anuran families., Rozenblut-Kościsty B, Ogielska M, Hahn J, Kleemann D, Kossakowski R, Tamschick S, Schöning V, Krüger A, Lutz I, Lymberakis P, Kloas W, Stöck M., Sci Rep. July 3, 2019; 9 (1): 9623. |
|
Endocrine disruption by environmental gestagens in amphibians - A short review supported by new in vitro data using gonads of Xenopus laevis., Ziková A, Lorenz C, Hoffmann F, Kleiner W, Lutz I, Stöck M, Kloas W., Chemosphere. August 1, 2017; 181 74-82. |
|
The plasticizer bisphenol A affects somatic and sexual development, but differently in pipid, hylid and bufonid anurans., Tamschick S, Rozenblut-Kościsty B, Ogielska M, Kekenj D, Gajewski F, Krüger A, Kloas W, Stöck M., Environ Pollut. September 1, 2016; 216 282-291. |
|
Impaired gonadal and somatic development corroborate vulnerability differences to the synthetic estrogen ethinylestradiol among deeply diverged anuran lineages., Tamschick S, Rozenblut-Kościsty B, Ogielska M, Lehmann A, Lymberakis P, Hoffmann F, Lutz I, Schneider RJ, Kloas W, Stöck M., Aquat Toxicol. August 1, 2016; 177 503-14. |
|
Sex reversal assessments reveal different vulnerability to endocrine disruption between deeply diverged anuran lineages., Tamschick S, Rozenblut-Kościsty B, Ogielska M, Lehmann A, Lymberakis P, Hoffmann F, Lutz I, Kloas W, Stöck M., Sci Rep. March 31, 2016; 6 23825. |
|
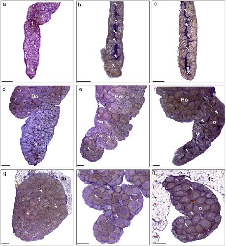
Sex chromosome conservation, DMRT1 phylogeny and gonad morphology in diploid Palearctic green toads (Bufo viridis subgroup)., Tamschick S, Rozenblut-Kościsty B, Bonato L, Dufresnes C, Lymberakis P, Kloas W, Ogielska M, Stöck M., Cytogenet Genome Res. January 1, 2014; 144 (4): 315-24. |
|
Homologous sex chromosomes in three deeply divergent anuran species., Brelsford A, Stöck M, Betto-Colliard C, Dubey S, Dufresnes C, Jourdan-Pineau H, Rodrigues N, Savary R, Sermier R, Perrin N., Evolution. August 1, 2013; 67 (8): 2434-40. |
???pagination.result.page??? 1
