Click here to close Hello! We notice that you are using Internet Explorer, which is not supported by Xenbase and may cause the site to display incorrectly. We suggest using a current version of Chrome, FireFox, or Safari.

Profile Publications (18)
XB-PERS-2975

Publications By Norma Towers

???pagination.result.count???

???pagination.result.page??? 1


Defective heart chamber growth and myofibrillogenesis after knockout of adprhl1 gene function by targeted disruption of the ancestral catalytic active site., Smith SJ, Towers N, Demetriou K, Mohun TJ., PLoS One. July 29, 2020; 15 (7): e0235433.   


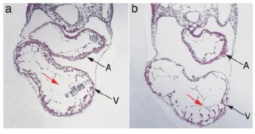
The cardiac-restricted protein ADP-ribosylhydrolase-like 1 is essential for heart chamber outgrowth and acts on muscle actin filament assembly., Smith SJ, Towers N, Saldanha JW, Shang CA, Mahmood SR, Taylor WR, Mohun TJ., Dev Biol. August 15, 2016; 416 (2): 373-88.   


Targeted cell-ablation in Xenopus embryos using the conditional, toxic viral protein M2(H37A)., Smith SJ, Kotecha S, Towers N, Mohun TJ., Dev Dyn. August 1, 2007; 236 (8): 2159-71.


Pan-myocardial expression of Cre recombinase throughout mouse development., Breckenridge R, Kotecha S, Towers N, Bennett M, Mohun T., Genesis. March 1, 2007; 45 (3): 135-44.   


The MLC1v gene provides a transgenic marker of myocardium formation within developing chambers of the Xenopus heart., Smith SJ, Ataliotis P, Kotecha S, Towers N, Sparrow DB, Mohun TJ., Dev Dyn. April 1, 2005; 232 (4): 1003-12.   


Transcriptional regulation of the cardiac-specific MLC2 gene during Xenopus embryonic development., Latinkic BV, Cooper B, Smith S, Kotecha S, Towers N, Sparrow D, Mohun TJ., Development. February 1, 2004; 131 (3): 669-79.   


XPOX2-peroxidase expression and the XLURP-1 promoter reveal the site of embryonic myeloid cell development in Xenopus., Smith SJ, Kotecha S, Towers N, Latinkic BV, Mohun TJ., Mech Dev. September 1, 2002; 117 (1-2): 173-86.   


Distinct enhancers regulate skeletal and cardiac muscle-specific expression programs of the cardiac alpha-actin gene in Xenopus embryos., Latinkić BV, Cooper B, Towers N, Sparrow D, Kotecha S, Mohun TJ., Dev Biol. May 1, 2002; 245 (1): 57-70.   


Regulation of cardiac muscle differentiation in Xenopus laevis embryos., Mohun T, Latinkic B, Towers N, Kotecha S., Cold Spring Harb Symp Quant Biol. January 1, 2002; 67 13-8.


Xenopus Hand2 expression marks anterior vascular progenitors but not the developing heart., Smith SJ, Kotecha S, Towers N, Mohun TJ., Dev Dyn. December 1, 2000; 219 (4): 575-81.   


Regulation of the tinman homologues in Xenopus embryos., Sparrow DB, Cai C, Kotecha S, Latinkic B, Cooper B, Towers N, Evans SM, Mohun TJ., Dev Biol. November 1, 2000; 227 (1): 65-79.   


MEF-2 function is modified by a novel co-repressor, MITR., Sparrow DB, Miska EA, Langley E, Reynaud-Deonauth S, Kotecha S, Towers N, Spohr G, Kouzarides T, Mohun TJ., EMBO J. September 15, 1999; 18 (18): 5085-98.


Thylacine 1 is expressed segmentally within the paraxial mesoderm of the Xenopus embryo and interacts with the Notch pathway., Sparrow DB, Jen WC, Kotecha S, Towers N, Kintner C, Mohun TJ., Development. June 1, 1998; 125 (11): 2041-51.   


Xenopus eHAND: a marker for the developing cardiovascular system of the embryo that is regulated by bone morphogenetic proteins., Sparrow DB, Kotecha S, Towers N, Mohun TJ., Mech Dev. February 1, 1998; 71 (1-2): 151-63.   


The RSRF/MEF2 protein SL1 regulates cardiac muscle-specific transcription of a myosin light-chain gene in Xenopus embryos., Chambers AE, Logan M, Kotecha S, Towers N, Sparrow D, Mohun TJ., Genes Dev. June 1, 1994; 8 (11): 1324-34.   


Muscle-specific expression of SRF-related genes in the early embryo of Xenopus laevis., Chambers AE, Kotecha S, Towers N, Mohun TJ., EMBO J. December 1, 1992; 11 (13): 4981-91.


Xenopus embryos contain a somite-specific, MyoD-like protein that binds to a promoter site required for muscle actin expression., Taylor MV, Gurdon JB, Hopwood ND, Towers N, Mohun TJ., Genes Dev. July 1, 1991; 5 (7): 1149-60.


Expression of genes encoding the transcription factor SRF during early development of Xenopus laevis: identification of a CArG box-binding activity as SRF., Mohun TJ, Chambers AE, Towers N, Taylor MV., EMBO J. April 1, 1991; 10 (4): 933-40.

???pagination.result.page??? 1