???pagination.result.count???
Development of subdomains in the medial pallium of Xenopus laevis and Trachemys scripta: Insights into the anamniote-amniote transition. , Jiménez S, Moreno N ., Front Neuroanat. 16 1039081.
Developmental and adult expression of the Meis2 transcription factor in the central nervous system of Xenopus laevis: a developmental and evolutive analysis. , Morona R, Martinez A, Moreno N ., Front Neuroanat. November 6, 2025; 19 1677413.
Microtransplantation of Postmortem Native Synaptic mGluRs Receptors into Xenopus Oocytes for Their Functional Analysis. , Miller B, Moreno N , Gutierrez BA, Limon A., Membranes (Basel). September 26, 2022; 12 (10):
Analysis of the Expression Pattern of Cajal-Retzius Cell Markers in the Xenopus laevis Forebrain. , Jiménez S, Moreno N ., Brain Behav Evol. January 1, 2022; 96 (4-6): 263-282.
Analysis of the Pallial Amygdala in Anurans: Derivatives and Cellular Components. , Jiménez S, Moreno N ., Brain Behav Evol. January 1, 2022; 97 (6): 309-320.
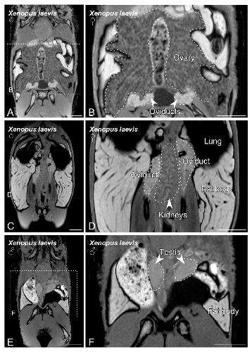
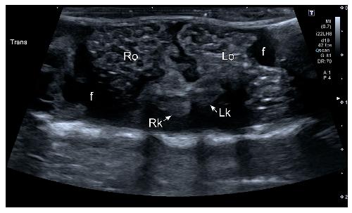
Sex Determination in Two Species of Anuran Amphibians by Magnetic Resonance Imaging and Ultrasound Techniques. , Ruiz-Fernández MJ, Jiménez S, Fernández-Valle E, García-Real MI, Castejón D, Moreno N , Ardiaca M, Montesinos A, Ariza S, González-Soriano J., Animals (Basel). November 18, 2020; 10 (11):
Amphibian thalamic nuclear organization during larval development and in the adult frog Xenopus laevis: Genoarchitecture and hodological analysis. , Morona R, Bandín S, López JM, Moreno N , González A ., J Comp Neurol. October 1, 2020; 528 (14): 2361-2403.
Analysis of pallial/cortical interneurons in key vertebrate models of Testudines, Anurans and Polypteriform fishes. , Jiménez S, López JM, Lozano D, Morona R, González A , Moreno N ., Brain Struct Funct. September 1, 2020; 225 (7): 2239-2269.
Pattern of Neurogenesis and Identification of Neuronal Progenitor Subtypes during Pallial Development in Xenopus laevis. , Moreno N , González A ., Front Neuroanat. March 27, 2017; 11 24.
Patterns of hypothalamic regionalization in amphibians and reptiles: common traits revealed by a genoarchitectonic approach. , Domínguez L, González A , Moreno N ., Front Neuroanat. February 3, 2015; 9 3.
Immunohistochemical analysis of Pax6 and Pax7 expression in the CNS of adult Xenopus laevis. , Bandín S, Morona R, López JM, Moreno N , González A ., J Chem Neuroanat. May 1, 2014; 57-58 24-41.
Characterization of the hypothalamus of Xenopus laevis during development. II. The basal regions. , Domínguez L, González A , Moreno N ., J Comp Neurol. April 1, 2014; 522 (5): 1102-31.
Regional expression of Pax7 in the brain of Xenopus laevis during embryonic and larval development. , Bandín S, Morona R, Moreno N , González A ., Front Neuroanat. December 24, 2013; 7 48.
Characterization of the hypothalamus of Xenopus laevis during development. I. The alar regions. , Domínguez L, Morona R, González A , Moreno N ., J Comp Neurol. March 1, 2013; 521 (4): 725-59.
Characterization of the bed nucleus of the stria terminalis in the forebrain of anuran amphibians. , Moreno N , Morona R, López JM, Domínguez L, Joven A, Bandín S, González A ., J Comp Neurol. February 1, 2012; 520 (2): 330-63.
Ontogenetic distribution of the transcription factor nkx2.2 in the developing forebrain of Xenopus laevis. , Domínguez L, González A , Moreno N ., Front Neuroanat. March 2, 2011; 5 11.
Sonic hedgehog expression during Xenopus laevis forebrain development. , Domínguez L, González A , Moreno N ., Dev Biol. August 6, 2010; 1347 19-32.
Spatio-temporal expression of Pax6 in Xenopus forebrain. , Moreno N , Rétaux S , González A ., Brain Res. November 6, 2008; 1239 92-9.
Islet1 as a marker of subdivisions and cell types in the developing forebrain of Xenopus. , Moreno N , Domínguez L, Rétaux S , González A ., Neuroscience. July 17, 2008; 154 (4): 1423-39.
Anuran olfactory bulb organization: embryology, neurochemistry and hodology. , Moreno N , Morona R, López JM, Dominguez L , Muñoz M, González A ., Brain Res Bull. March 18, 2008; 75 (2-4): 241-5.
Evidences for tangential migrations in Xenopus telencephalon: developmental patterns and cell tracking experiments. , Moreno N , González A , Rétaux S ., Dev Neurobiol. March 1, 2008; 68 (4): 504-20.
Origins of spinal cholinergic pathways in amphibians demonstrated by retrograde transport and choline acetyltransferase immunohistochemistry. , López JM, Morona R, Moreno N , Domínguez L, González A ., Neurosci Lett. September 25, 2007; 425 (2): 73-7.
Development of the vomeronasal amygdala in anuran amphibians: hodological, neurochemical, and gene expression characterization. , Moreno N , González A ., J Comp Neurol. August 20, 2007; 503 (6): 815-31.
Spatiotemporal sequence of appearance of NPFF-immunoreactive structures in the developing central nervous system of Xenopus laevis. , López JM, Moreno N , Morona R, Muñoz M, González A ., Peptides. May 1, 2006; 27 (5): 1036-53.
Immunohistochemical localization of calbindin-D28k and calretinin in the spinal cord of Xenopus laevis. , Morona R, Moreno N , López JM, González A ., J Comp Neurol. February 10, 2006; 494 (5): 763-83.
Colocalization of nitric oxide synthase and monoamines in neurons of the amphibian brain. , López JM, Moreno N , Morona R, Muñoz M, González A ., Brain Res Bull. September 15, 2005; 66 (4-6): 555-9.
Calbindin-D28k immunoreactivity in the spinal cord of Xenopus laevis and its participation in ascending and descending projections. , Morona R, Moreno N , López JM, Muñoz M, Ten Donkelaar HJ, González A ., Brain Res Bull. September 15, 2005; 66 (4-6): 550-4.
Lateral and medial amygdala of anuran amphibians and their relation to olfactory and vomeronasal information. , Moreno N , Morona R, López JM, Muñoz M, González A ., Brain Res Bull. September 15, 2005; 66 (4-6): 332-6.
Central amygdala in anuran amphibians: neurochemical organization and connectivity. , Moreno N , González A ., J Comp Neurol. August 15, 2005; 489 (1): 69-91.
LIM-homeodomain genes as territory markers in the brainstem of adult and developing Xenopus laevis. , Moreno N , Bachy I, Rétaux S , González A ., J Comp Neurol. May 9, 2005; 485 (3): 240-54.
Localization and connectivity of the lateral amygdala in anuran amphibians. , Moreno N , González A ., J Comp Neurol. November 8, 2004; 479 (2): 130-48.
LIM-homeodomain genes as developmental and adult genetic markers of Xenopus forebrain functional subdivisions. , Moreno N , Bachy I, Rétaux S , González A ., J Comp Neurol. April 19, 2004; 472 (1): 52-72.
Pallial origin of mitral cells in the olfactory bulbs of Xenopus. , Moreno N , Bachy I, Rétaux S , González A ., Neuroreport. December 19, 2003; 14 (18): 2355-8.
Hodological characterization of the medial amygdala in anuran amphibians. , Moreno N , González A ., J Comp Neurol. November 17, 2003; 466 (3): 389-408.
Comparative analysis of neuropeptide FF-like immunoreactivity in the brain of anuran (Rana perezi, Xenopus laevis) and urodele (Pleurodeles waltl) amphibians. , Crespo M, Moreno N , López JM, González A ., J Chem Neuroanat. January 1, 2003; 25 (1): 53-71.
Localization of choline acetyltransferase in the developing and adult retina of Xenopus laevis. , López JM, Moreno N , González A ., Neurosci Lett. September 13, 2002; 330 (1): 61-4.
Origin and development of descending catecholaminergic pathways to the spinal cord in amphibians. , Sánchez-Camacho C, Marín O, López JM, Moreno N , Smeets WJ, ten Donkelaar HJ, González A ., Brain Res Bull. February 1, 2002; 57 (3-4): 325-30.