|
XB-PERS-3151
Publications By Vitezslav Bryja
???pagination.result.count??????pagination.result.page??? 1
|
Spatiotemporal monitoring of hard tissue development reveals unknown features of tooth and bone development., Gonzalez Lopez M, Huteckova B, Lavicky J, Zezula N, Rakultsev V, Fridrichova V, Tuaima H, Nottmeier C, Petersen J, Kavkova M, Zikmund T, Kaiser J, Lav R, Star H, Bryja V, Henyš P, Vořechovský M, Tucker AS, Harnos J, Buchtova M, Krivanek J., Sci Adv. August 2, 2023; 9 (31): eadi0482. |
|
Roles of individual human Dishevelled paralogs in the Wnt signalling pathways., Paclíková P, Radaszkiewicz TW, Potěšil D, Harnoš J, Zdráhal Z, Bryja V., Cell Signal. September 1, 2021; 85 110058. |
|
The Rho guanine nucleotide exchange factor Trio is required for neural crest cell migration and interacts with Dishevelled., Kratzer MC, Becker SFS, Grund A, Merks A, Harnoš J, Bryja V, Giehl K, Kashef J, Borchers A., Development. May 22, 2020; 147 (10): |
|
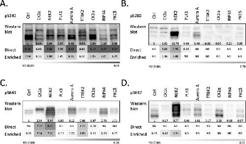
Comparative phosphorylation map of Dishevelled 3 links phospho-signatures to biological outputs., Hanáková K, Bernatík O, Kravec M, Micka M, Kumar J, Harnoš J, Ovesná P, Paclíková P, Rádsetoulal M, Potěšil D, Tripsianes K, Čajánek L, Zdráhal Z, Bryja V., Cell Commun Signal. December 23, 2019; 17 (1): 170. |
|
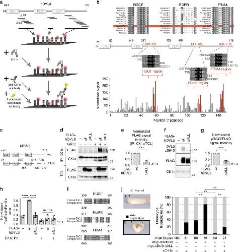
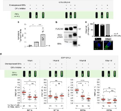
Dishevelled-3 conformation dynamics analyzed by FRET-based biosensors reveals a key role of casein kinase 1., Harnoš J, Cañizal MCA, Jurásek M, Kumar J, Holler C, Schambony A, Hanáková K, Bernatík O, Zdráhal Z, Gömöryová K, Gybeľ T, Radaszkiewicz TW, Kravec M, Trantírek L, Ryneš J, Dave Z, Fernández-Llamazares AI, Vácha R, Tripsianes K, Hoffmann C, Bryja V., Nat Commun. April 18, 2019; 10 (1): 1804. |
|
The tyrosine Y2502.39 in Frizzled 4 defines a conserved motif important for structural integrity of the receptor and recruitment of Disheveled., Strakova K, Matricon P, Yokota C, Arthofer E, Bernatik O, Rodriguez D, Arenas E, Carlsson J, Bryja V, Schulte G., Cell Signal. October 1, 2017; 38 85-96. |
|
A proteomic analysis of LRRK2 binding partners reveals interactions with multiple signaling components of the WNT/PCP pathway., Salašová A, Yokota C, Potěšil D, Zdráhal Z, Bryja V, Arenas E., Mol Neurodegener. July 11, 2017; 12 (1): 54. |
|
Functional analysis of dishevelled-3 phosphorylation identifies distinct mechanisms driven by casein kinase 1ϵ and frizzled5., Bernatík O, Šedová K, Schille C, Ganji RS, Červenka I, Trantírek L, Schambony A, Zdráhal Z, Bryja V., J Biol Chem. August 22, 2014; 289 (34): 23520-33. |
|
β-Arrestin interacts with the beta/gamma subunits of trimeric G-proteins and dishevelled in the Wnt/Ca(2+) pathway in xenopus gastrulation., Seitz K, Dürsch V, Harnoš J, Bryja V, Gentzel M, Schambony A., PLoS One. January 17, 2014; 9 (1): e87132. |
|
Structural and functional characterization of the Wnt inhibitor APC membrane recruitment 1 (Amer1)., Tanneberger K, Pfister AS, Kriz V, Bryja V, Schambony A, Behrens J., J Biol Chem. June 3, 2011; 286 (22): 19204-14. |
|
Negative regulation of Wnt signaling mediated by CK1-phosphorylated Dishevelled via Ror2., Witte F, Bernatik O, Kirchner K, Masek J, Mahl A, Krejci P, Mundlos S, Schambony A, Bryja V, Stricker S., FASEB J. July 1, 2010; 24 (7): 2417-26. |
|
The extracellular domain of Lrp5/6 inhibits noncanonical Wnt signaling in vivo., Bryja V, Andersson ER, Schambony A, Esner M, Bryjová L, Biris KK, Hall AC, Kraft B, Cajanek L, Yamaguchi TP, Buckingham M, Arenas E., Mol Biol Cell. February 1, 2009; 20 (3): 924-36. |
|
Beta-arrestin and casein kinase 1/2 define distinct branches of non-canonical WNT signalling pathways., Bryja V, Schambony A, Cajánek L, Dominguez I, Arenas E, Schulte G., EMBO Rep. December 1, 2008; 9 (12): 1244-50. |
|
Beta-arrestin is a necessary component of Wnt/beta-catenin signaling in vitro and in vivo., Bryja V, Gradl D, Schambony A, Arenas E, Schulte G., Proc Natl Acad Sci U S A. April 17, 2007; 104 (16): 6690-5. |
???pagination.result.page??? 1
