???pagination.result.count???
Persistence of an unusual triple sex chromosome system through allopolyploidization in African clawed frogs (Xenopus, subgenus Silurana). , Premachandra T, Gvoždík V, Anele EU, Kučka M, Chan YF, Horb ME , Chifundera ZK, Badjedjea G, Measey J , Evans BJ ., Evolution. March 3, 2026; 80 (3): 584-599.
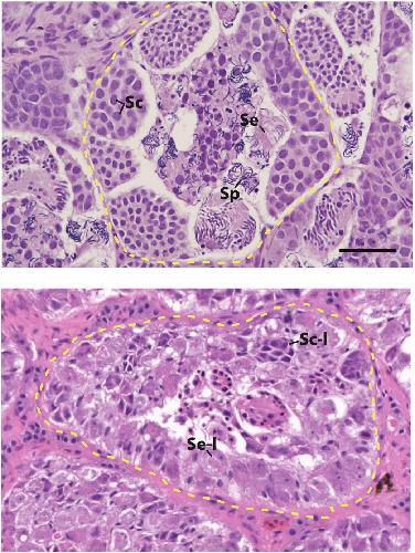
Sex-specific functional evolution of Dmrt1 in African clawed frogs (Xenopus), and the importance of genetic tipping points in developmental biology. , Kukoly LM, Porter SR, Jordan DC, Murphy HA, Knytl M, Shaidani N , Thomas WR, Anderson C, Dworkin I, Horb ME , Evans BJ ., PLoS Genet. January 2, 2026; 22 (1): e1011992.
Rapid Sex Chromosome Turnover in African Clawed Frogs (Xenopus) and the Origins of New Sex Chromosomes. , Evans BJ , Gvoždík V, Knytl M, Cauret CMS, Herrel A, Greenbaum E, Patel J, Premachandra T, Papenfuss TJ, Parente J, Horb ME , Measey J ., Mol Biol Evol. December 5, 2024; 41 (12):
Functional dissection and assembly of a small, newly evolved, W chromosome-specific genomic region of the African clawed frog Xenopus laevis. , Cauret CMS, Jordan DC, Kukoly LM, Burton SR, Anele EU, Kwiecien JM, Gansauge MT, Senthillmohan S, Greenbaum E, Meyer M, Horb ME , Evans BJ ., PLoS Genet. October 1, 2023; 19 (10): e1010990.
Population genomics and subgenome evolution of the allotetraploid frog Xenopus laevis in southern Africa. , Premachandra T, Cauret CMS, Conradie W, Measey J , Evans BJ ., G3 (Bethesda). February 9, 2023; 13 (2):
Divergent subgenome evolution in the allotetraploid frog Xenopus calcaratus. , Knytl M, Fornaini NR, Bergelová B, Gvoždík V, Černohorská H, Kubíčková S, Fokam EB, Evans BJ , Krylov V ., Gene. January 30, 2023; 851 146974.
Consequences of polyploidy and divergence as revealed by cytogenetic mapping of tandem repeats in African clawed frogs (Xenopus, Pipidae). , Fornaini NR, Bergelová B, Gvoždík V, Černohorská H, Krylov V , Kubíčková S, Fokam EB, Badjedjea G, Evans BJ , Knytl M., Eur J Wildl Res. January 1, 2023; 69 (4): 81.
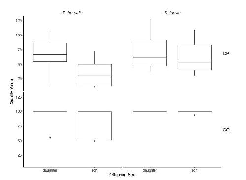
New insights into Xenopus sex chromosome genomics from the Marsabit clawed frog X. borealis. , Evans BJ , Mudd AB, Bredeson JV, Furman BLS, Wasonga DV, Lyons JB, Harland RM , Rokhsar DS ., J Evol Biol. December 24, 2022; 35 (12): 1777-1790.
Neofunctionalization of a Noncoding Portion of a DNA Transposon in the Coding Region of the Chimerical Sex-Determining Gene dm-W in Xenopus Frogs. , Hayashi S, Suda K, Fujimura F, Fujikawa M, Tamura K , Tsukamoto D, Evans BJ , Takamatsu N, Ito M., Mol Biol Evol. July 2, 2022; 39 (7):
Sex chromosome degeneration, turnover, and sex-biased expression of sex-linked transcripts in African clawed frogs (Xenopus). , Song XY, Furman BLS, Premachandra T, Knytl M, Cauret CMS, Wasonga DV, Measey J , Dworkin I, Evans BJ ., Philos Trans R Soc Lond B Biol Sci. August 30, 2021; 376 (1832): 20200095.
A frog with three sex chromosomes that co-mingle together in nature: Xenopus tropicalis has a degenerate W and a Y that evolved from a Z chromosome. , Furman BLS, Cauret CMS, Knytl M, Song XY, Premachandra T, Ofori-Boateng C, Jordan DC, Horb ME , Evans BJ ., PLoS Genet. November 1, 2020; 16 (11): e1009121.
Generation, Coordination, and Evolution of Neural Circuits for Vocal Communication. , Kelley DB , Ballagh IH, Barkan CL, Bendesky A, Elliott TM , Evans BJ , Hall IC, Kwon YM , Kwong-Brown U, Leininger EC , Perez EC, Rhodes HJ, Villain A, Yamaguchi A , Zornik E ., J Neurosci. January 2, 2020; 40 (1): 22-36.
Xenopus fraseri: Mr. Fraser, where did your frog come from? , Evans BJ , Gansauge MT, Stanley EL, Furman BLS, Cauret CMS, Ofori-Boateng C, Gvoždík V, Streicher JW, Greenbaum E, Tinsley RC, Meyer M, Blackburn DC ., PLoS One. September 3, 2019; 14 (9): e0220892.
Divergent subgenome evolution after allopolyploidization in African clawed frogs (Xenopus). , Furman BLS, Dang UJ, Evans BJ , Golding GB., J Evol Biol. December 1, 2018; 31 (12): 1945-1958.
Divergent Evolutionary Trajectories of Two Young, Homomorphic, and Closely Related Sex Chromosome Systems. , Furman BLS, Evans BJ ., Genome Biol Evol. March 1, 2018; 10 (3): 742-755.
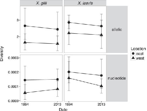
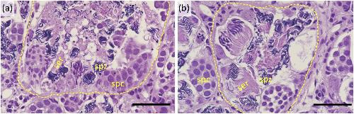
Limited genomic consequences of hybridization between two African clawed frogs, Xenopus gilli and X. laevis (Anura: Pipidae). , Furman BLS, Cauret CMS, Colby GA, Measey GJ, Evans BJ ., Sci Rep. April 24, 2017; 7 (1): 1091.
Probing forebrain to hindbrain circuit functions in Xenopus. , Kelley DB , Elliott TM , Evans BJ , Hall IC, Leininger EC , Rhodes HJ, Yamaguchi A , Zornik E ., Genesis. January 1, 2017; 55 (1-2):
Chromosome divergence during evolution of the tetraploid clawed frogs, Xenopus mellotropicalis and Xenopus epitropicalis as revealed by Zoo-FISH. , Knytl M, Smolík O, Kubíčková S, Tlapáková T, Evans BJ , Krylov V ., PLoS One. January 1, 2017; 12 (5): e0177087.
Sequential Turnovers of Sex Chromosomes in African Clawed Frogs (Xenopus) Suggest Some Genomic Regions Are Good at Sex Determination. , Furman BLS, Evans BJ ., G3 (Bethesda). November 8, 2016; 6 (11): 3625-3633.
Genetics, Morphology, Advertisement Calls, and Historical Records Distinguish Six New Polyploid Species of African Clawed Frog (Xenopus, Pipidae) from West and Central Africa. , Evans BJ , Carter TF, Greenbaum E, Gvoždík V, Kelley DB , McLaughlin PJ, Pauwels OS, Portik DM, Stanley EL, Tinsley RC, Tobias ML, Blackburn DC ., PLoS One. December 16, 2015; 10 (12): e0142823.
Pan-African phylogeography of a model organism, the African clawed frog 'Xenopus laevis'. , Furman BL, Bewick AJ, Harrison TL, Greenbaum E, Gvoždík V, Kusamba C, Evans BJ ., Mol Ecol. February 1, 2015; 24 (4): 909-25.
Molecular Polymorphism and Divergence of Duplicated Genes in Tetraploid African Clawed Frogs (Xenopus). , Evans BJ , Kwon T ., Cytogenet Genome Res. January 1, 2015; .
Polyploidy in Amphibia. , Schmid M, Evans BJ , Bogart JP., Cytogenet Genome Res. January 1, 2015; 145 (3-4): 315-30.
A comparison of host-defense peptides in skin secretions of female Xenopus laevis × Xenopus borealis and X. borealis × X. laevis F1 hybrids. , Mechkarska M, Prajeep M, Leprince J, Vaudry H, Meetani MA, Evans BJ , Conlon JM., Peptides. July 1, 2013; 45 1-8.
Genomic dynamics of transposable elements in the western clawed frog (Silurana tropicalis). , Shen JJ, Dushoff J, Bewick AJ, Chain FJ , Evans BJ ., Genome Biol Evol. January 1, 2013; 5 (5): 998-1009.
A large pseudoautosomal region on the sex chromosomes of the frog Silurana tropicalis. , Bewick AJ, Chain FJ , Zimmerman LB , Sesay A, Gilchrist MJ , Owens ND, Seifertova E, Krylov V , Macha J, Tlapakova T , Kubickova S, Cernohorska H, Zarsky V, Evans BJ ., Genome Biol Evol. January 1, 2013; 5 (6): 1087-98.
The pipid root. , Bewick AJ, Chain FJ , Heled J, Evans BJ ., Syst Biol. December 1, 2012; 61 (6): 913-26.
The odds of duplicate gene persistence after polyploidization. , Chain FJ , Dushoff J, Evans BJ ., BMC Genomics. December 12, 2011; 12 599.
The Rift Valley is a major barrier to dispersal of African clawed frogs (Xenopus) in Ethiopia. , Evans BJ , Bliss SM, Mendel SA, Tinsley RC., Mol Ecol. October 1, 2011; 20 (20): 4216-30.
Description of a new octoploid frog species (Anura: Pipidae: Xenopus) from the Democratic Republic of the Congo, with a discussion of the biogeography of African clawed frogs in the Albertine Rift. , Evans BJ , Greenbaum E, Kusamba C, Carter TF, Tobias ML, Mendel SA, Kelley DB ., J Zool (1987). April 1, 2011; 283 (4): 276-290.
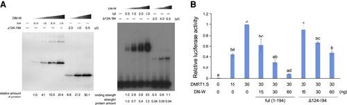
Evolution of the closely related, sex-related genes DM-W and DMRT1 in African clawed frogs (Xenopus). , Bewick AJ, Anderson DW, Evans BJ ., Evolution. March 1, 2011; 65 (3): 698-712.
Evolution of advertisement calls in African clawed frogs. , Tobias ML, Evans BJ , Kelley DB ., Behaviour. January 1, 2011; 148 (4): 519-549.
Regulatory evolution of a duplicated heterodimer across species and tissues of allopolyploid clawed frogs (Xenopus). , Anderson DW, Evans BJ ., J Mol Evol. March 1, 2009; 68 (3): 236-47.
Single-species microarrays and comparative transcriptomics. , Chain FJ , Ilieva D, Evans BJ ., PLoS One. September 1, 2008; 3 (9): e3279.
Genome evolution and speciation genetics of clawed frogs (Xenopus and Silurana). , Evans BJ ., Front Biosci. May 1, 2008; 13 4687-706.
Duplicate gene evolution and expression in the wake of vertebrate allopolyploidization. , Chain FJ , Ilieva D, Evans BJ ., BMC Evol Biol. February 8, 2008; 8 43.
Ancestry influences the fate of duplicated genes millions of years after polyploidization of clawed frogs (Xenopus). , Evans BJ ., Genetics. June 1, 2007; 176 (2): 1119-30.
Multiple mechanisms promote the retained expression of gene duplicates in the tetraploid frog Xenopus laevis. , Chain FJ , Evans BJ ., PLoS Genet. April 1, 2006; 2 (4): e56.
Evolution of RAG-1 in polyploid clawed frogs. , Evans BJ , Kelley DB , Melnick DJ, Cannatella DC., Mol Biol Evol. May 1, 2005; 22 (5): 1193-207.
A mitochondrial DNA phylogeny of African clawed frogs: phylogeography and implications for polyploid evolution. , Evans BJ , Kelley DB , Tinsley RC, Melnick DJ, Cannatella DC., Mol Phylogenet Evol. October 1, 2004; 33 (1): 197-213.
Comparative molecular phylogeography of two Xenopus species, X. gilli and X. laevis, in the south-western Cape Province, South Africa. , Evans BJ , Morales JC, Picker MD, Kelley DB , Melnick DJ., Mol Ecol. April 1, 1997; 6 (4): 333-43.