Click here to close Hello! We notice that you are using Internet Explorer, which is not supported by Xenbase and may cause the site to display incorrectly. We suggest using a current version of Chrome, FireFox, or Safari.

Profile Publications (4)
XB-PERS-3240

Publications By Caryl A Forristall

???pagination.result.count???

???pagination.result.page??? 1


Embryological manipulations in the developing Xenopus inner ear reveal an intrinsic role for Wnt signaling in dorsal-ventral patterning., Forristall CA, Stellabotte F, Castillo A, Collazo A., Dev Dyn. October 1, 2014; 243 (10): 1262-74.   


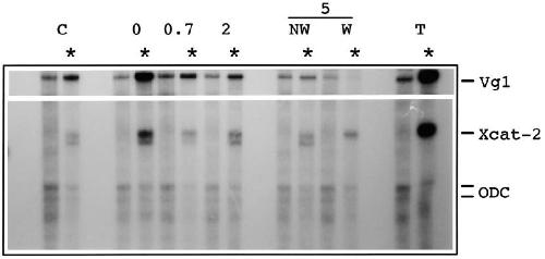
Patterns of localization and cytoskeletal association of two vegetally localized RNAs, Vg1 and Xcat-2., Forristall C, Pondel M, Chen L, King ML., Development. January 1, 1995; 121 (1): 201-8.   


Isolated vegetal cortex from Xenopus oocytes selectively retains localized mRNAs., Elinson RP, King ML, Forristall C., Dev Biol. December 1, 1993; 160 (2): 554-62.


A mRNA localized to the vegetal cortex of Xenopus oocytes encodes a protein with a nanos-like zinc finger domain., Mosquera L, Forristall C, Zhou Y, King ML., Development. January 1, 1993; 117 (1): 377-86.   

???pagination.result.page??? 1