Click here to close Hello! We notice that you are using Internet Explorer, which is not supported by Xenbase and may cause the site to display incorrectly. We suggest using a current version of Chrome, FireFox, or Safari.

Profile Publications (48)
XB-PERS-3388

Publications By Xiang Zhou

???pagination.result.count???

???pagination.result.page??? 1


In vitro assessment of the bacterial stress response and resistance evolution during multidrug-resistant bacterial invasion of the Xenopus tropicalis intestinal tract under typical stresses., Lin X, Han R, Liang T, Zhang C, Xu Y, Peng H, Zhou X, Huang L., J Hazard Mater. January 15, 2024; 466 133599.   


Oxytetracycline and heavy metals promote the migration of resistance genes in the intestinal microbiome by plasmid transfer., Lin X, Zhang C, Han R, Li S, Peng H, Zhou X, Huang L, Xu Y., ISME J. November 12, 2023; 17 (11): 2003-2013.


Biochemical, histopathological and untargeted metabolomic analyses reveal hepatotoxic mechanism of acetamiprid to Xenopus laevis., Jiao H, Yuan T, Wang X, Zhou X, Ming R, Cui H, Hu D, Lu P., Environ Pollut. January 15, 2023; 317 120765.   


An open-like conformation of the sigma-1 receptor reveals its ligand entry pathway., Meng F, Xiao Y, Ji Y, Sun Z, Zhou X., Nat Commun. March 10, 2022; 13 (1): 1267.   


Cryo-EM structure of a eukaryotic zinc transporter at a low pH suggests its Zn2+-releasing mechanism., Zhang S, Fu C, Luo Y, Xie Q, Xu T, Sun Z, Su Z, Zhou X., J Struct Biol. March 1, 2022; 215 (1): 107926.


Identification of SCN5a p.C335R Variant in a Large Family with Dilated Cardiomyopathy and Conduction Disease., Sedaghat-Hamedani F, Rebs S, El-Battrawy I, Chasan S, Krause T, Haas J, Zhong R, Liao Z, Xu Q, Zhou X, Akin I, Zitron E, Frey N, Streckfuss-Bömeke K, Kayvanpour E., Int J Mol Sci. November 30, 2021; 22 (23):   


Structure of nucleosome-bound DNA methyltransferases DNMT3A and DNMT3B., Xu TH, Liu M, Zhou XE, Liang G, Zhao G, Xu HE, Melcher K, Jones PA., Nature. October 1, 2020; 586 (7827): 151-155.   


RNA-Seq analysis on ets1 mutant embryos of Xenopus tropicalis identifies microseminoprotein beta gene 3 as an essential regulator of neural crest migration., Wang C, Qi X, Zhou X, Sun J, Cai D, Lu G, Chen X, Jiang Z, Yao YG, Chan WY, Zhao H., FASEB J. September 1, 2020; 34 (9): 12726-12738.


Pharmacologic TWIK-Related Acid-Sensitive K+ Channel (TASK-1) Potassium Channel Inhibitor A293 Facilitates Acute Cardioversion of Paroxysmal Atrial Fibrillation in a Porcine Large Animal Model., Wiedmann F, Beyersdorf C, Zhou X, Büscher A, Kraft M, Nietfeld J, Walz TP, Unger LA, Loewe A, Schmack B, Ruhparwar A, Karck M, Thomas D, Borggrefe M, Seemann G, Katus HA, Schmidt C., J Am Heart Assoc. May 18, 2020; 9 (10): e015751.   


A potent photoreactive general anesthetic with novel binding site selectivity for GABAA receptors., Shalabi AR, Yu Z, Zhou X, Jounaidi Y, Chen H, Dai J, Kent DE, Feng HJ, Forman SA, Cohen JB, Bruzik KS, Miller KW., Eur J Med Chem. May 15, 2020; 194 112261.


Alternative polyadenylation coordinates embryonic development, sexual dimorphism and longitudinal growth in Xenopus tropicalis., Zhou X, Zhang Y, Michal JJ, Qu L, Zhang S, Wildung MR, Du W, Pouchnik DJ, Zhao H, Xia Y, Shi H, Ji G, Davis JF, Smith GD, Griswold MD, Harland RM, Jiang Z., Cell Mol Life Sci. June 1, 2019; 76 (11): 2185-2198.


Etomidate and Etomidate Analog Binding and Positive Modulation of γ-Aminobutyric Acid Type A Receptors: Evidence for a State-dependent Cutoff Effect., McGrath M, Yu Z, Jayakar SS, Ma C, Tolia M, Zhou X, Miller KW, Cohen JB, Raines DE., Anesthesiology. November 1, 2018; 129 (5): 959-969.


A novel MIP mutation in a Chinese family with congenital cataract., Yuan C, Han T, Su P, Liu M, Zhou X, Zhang D, Jia W, Wang A, Yue M, Xiang Z, Chen L, Zhang X., Ophthalmic Genet. August 1, 2018; 39 (4): 473-476.


Identification of binding sites contributing to volatile anesthetic effects on GABA type A receptors., Woll KA, Zhou X, Bhanu NV, Garcia BA, Covarrubias M, Miller KW, Eckenhoff RG., FASEB J. August 1, 2018; 32 (8): 4172-4189.


Competitive Antagonism of Anesthetic Action at the γ-Aminobutyric Acid Type A Receptor by a Novel Etomidate Analog with Low Intrinsic Efficacy., Ma C, Pejo E, McGrath M, Jayakar SS, Zhou X, Miller KW, Cohen JB, Raines DE., Anesthesiology. November 1, 2017; 127 (5): 824-837.


Synthesis and pharmacological evaluation of neurosteroid photoaffinity ligands., Savechenkov PY, Chiara DC, Desai R, Stern AT, Zhou X, Ziemba AM, Szabo AL, Zhang Y, Cohen JB, Forman SA, Miller KW, Bruzik KS., Eur J Med Chem. August 18, 2017; 136 334-347.


Accurate Profiling of Gene Expression and Alternative Polyadenylation with Whole Transcriptome Termini Site Sequencing (WTTS-Seq)., Zhou X, Li R, Michal JJ, Wu XL, Liu Z, Zhao H, Xia Y, Du W, Wildung MR, Pouchnik DJ, Harland RM, Jiang Z., Genetics. June 1, 2016; 203 (2): 683-97.   


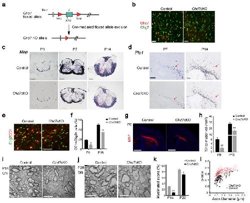
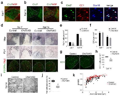
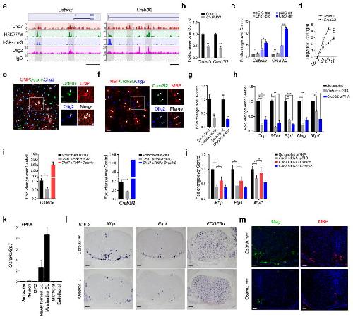
Chd7 cooperates with Sox10 and regulates the onset of CNS myelination and remyelination., He D, Marie C, Zhao C, Kim B, Wang J, Deng Y, Clavairoly A, Frah M, Wang H, He X, Hmidan H, Jones BV, Witte D, Zalc B, Zhou X, Choo DI, Martin DM, Parras C, Lu QR., Nat Neurosci. May 1, 2016; 19 (5): 678-89.   


Engineering Yarrowia lipolytica for Campesterol Overproduction., Du HX, Xiao WH, Wang Y, Zhou X, Zhang Y, Liu D, Yuan YJ., PLoS One. January 1, 2016; 11 (1): e0146773.   


Aspergillus glaucus Aquaglyceroporin Gene glpF Confers High Osmosis Tolerance in Heterologous Organisms., Liu XD, Wei Y, Zhou XY, Pei X, Zhang SH., Appl Environ Microbiol. October 1, 2015; 81 (19): 6926-37.


Yeast luminometric and Xenopus oocyte electrophysiological examinations of the molecular mechanosensitivity of TRPV4., Teng J, Loukin S, Zhou X, Kung C., J Vis Exp. December 31, 2013; (82):


Tethered spectroscopic probes estimate dynamic distances with subnanometer resolution in voltage-dependent potassium channels., Jarecki BW, Zheng S, Zhang L, Li X, Zhou X, Cui Q, Tang W, Chanda B., Biophys J. December 17, 2013; 105 (12): 2724-32.


The role of APC/C inhibitor Emi2/XErp1 in oscillatory dynamics of early embryonic cell cycles., Vinod PK, Zhou X, Zhang T, Mayer TU, Novak B., Biophys Chem. January 1, 2013; 177-178 1-6.


Existence of G-quadruplex structures in promoter region of oncogenes confirmed by G-quadruplex DNA cross-linking strategy., Yuan L, Tian T, Chen Y, Yan S, Xing X, Zhang Z, Zhai Q, Xu L, Wang S, Weng X, Yuan B, Feng Y, Zhou X., Sci Rep. January 1, 2013; 3 1811.   


[The analysis of Leber's hereditary optic neuropathy associated with mitochondrial tRNAAla C5601T mutation in seven Han Chinese families]., Zhou HH, Dai XN, Lin B, Mi H, Liu XL, Zhao FX, Zhang JJ, Zhou XT, Sun YH, Wei QP, Qu J, Guan MX., Yi Chuan. August 1, 2012; 34 (8): 1031-42.


p-Trifluoromethyldiazirinyl-etomidate: a potent photoreactive general anesthetic derivative of etomidate that is selective for ligand-gated cationic ion channels., Husain SS, Stewart D, Desai R, Hamouda AK, Li SG, Kelly E, Dostalova Z, Zhou X, Cotten JF, Raines DE, Olsen RW, Cohen JB, Forman SA, Miller KW., J Med Chem. September 9, 2010; 53 (17): 6432-44.


Wild-type and brachyolmia-causing mutant TRPV4 channels respond directly to stretch force., Loukin S, Zhou X, Su Z, Saimi Y, Kung C., J Biol Chem. August 27, 2010; 285 (35): 27176-81.


Forward genetic analysis reveals multiple gating mechanisms of TRPV4., Loukin S, Su Z, Zhou X, Kung C., J Biol Chem. June 25, 2010; 285 (26): 19884-90.


Structural and functional characterization of a novel homodimeric three-finger neurotoxin from the venom of Ophiophagus hannah (king cobra)., Roy A, Zhou X, Chong MZ, D'hoedt D, Foo CS, Rajagopalan N, Nirthanan S, Bertrand D, Sivaraman J, Kini RM., J Biol Chem. March 12, 2010; 285 (11): 8302-15.


The CHMP4b- and Src-docking sites in the Bro1 domain are autoinhibited in the native state of Alix., Zhou X, Pan S, Sun L, Corvera J, Lee YC, Lin SH, Kuang J., Biochem J. March 1, 2009; 418 (2): 277-84.


Correlations between clinical and physiological consequences of the novel mutation R878C in a highly conserved pore residue in the cardiac Na+ channel., Zhang Y, Wang T, Ma A, Zhou X, Gui J, Wan H, Shi R, Huang C, Grace AA, Huang CL, Trump D, Zhang H, Zimmer T, Lei M., Acta Physiol (Oxf). December 1, 2008; 194 (4): 311-23.   


Cloning and characterization of a GABA receptor from Plutella xylostella (Lepidoptera: Plutellidae)., Zhou XM, Wu QJ, Zhang YJ, Bai LY, Huang XY., J Econ Entomol. December 1, 2008; 101 (6): 1888-96.


Inhibition of Wnt signaling by the osteoblast-specific transcription factor Osterix., Zhang C, Cho K, Huang Y, Lyons JP, Zhou X, Sinha K, McCrea PD, de Crombrugghe B., Proc Natl Acad Sci U S A. May 13, 2008; 105 (19): 6936-41.   


An essential role for Pin1 in Xenopus laevis embryonic development revealed by specific inhibitors., Wildemann D, Hernandez Alvarez B, Stoller G, Zhou XZ, Lu KP, Erdmann F, Ferrari D, Fischer G., Biol Chem. October 1, 2007; 388 (10): 1103-11.


Regulation of Raf-1 by direct feedback phosphorylation., Dougherty MK, Müller J, Ritt DA, Zhou M, Zhou XZ, Copeland TD, Conrads TP, Veenstra TD, Lu KP, Morrison DK., Mol Cell. January 21, 2005; 17 (2): 215-24.


Molecular cloning of growth hormone-releasing hormone/pituitary adenylyl cyclase-activating polypeptide in the frog Xenopus laevis: brain distribution and regulation after castration., Hu Z, Lelievre V, Tam J, Cheng JW, Fuenzalida G, Zhou X, Waschek JA., Endocrinology. September 1, 2000; 141 (9): 3366-76.


State-dependent cross-inhibition between transmitter-gated cation channels., Khakh BS, Zhou X, Sydes J, Galligan JJ, Lester HA., Nature. July 27, 2000; 406 (6794): 405-10.


Efficient translocation and processing with Xenopus egg extracts of proteins synthesized in rabbit reticulocyte lysate., Zhou X, Tsuda S, Bala N, Arakaki RF., In Vitro Cell Dev Biol Anim. May 1, 2000; 36 (5): 293-8.


Cloning and expression of xSix3, the Xenopus homologue of murine Six3., Zhou X, Hollemann T, Pieler T, Gruss P., Mech Dev. March 1, 2000; 91 (1-2): 327-30.   


Characterization and messenger ribonucleic acid distribution of a cloned pituitary adenylate cyclase-activating polypeptide type I receptor in the frog Xenopus laevis brain., Hu Z, Lelievre V, Chao A, Zhou X, Waschek JA., Endocrinology. February 1, 2000; 141 (2): 657-65.


The in vitro synthesized and processed human insulin receptor precursor binds insulin., Tsuda S, Kaihara M, Zhou X, Britos D, Arakaki R., FEBS Lett. August 20, 1999; 457 (1): 13-7.


The zebrafish genome contains two distinct selenocysteine tRNA[Ser]sec genes., Xu XM, Zhou X, Carlson BA, Kim LK, Huh TL, Lee BJ, Hatfield DL., FEBS Lett. July 2, 1999; 454 (1-2): 16-20.


Selenium metabolism in Drosophila. Characterization of the selenocysteine tRNA population., Zhou X, Park SI, Moustafa ME, Carlson BA, Crain PF, Diamond AM, Hatfield DL, Lee BJ., J Biol Chem. June 25, 1999; 274 (26): 18729-34.


The prolyl isomerase Pin1 restores the function of Alzheimer-associated phosphorylated tau protein., Lu PJ, Wulf G, Zhou XZ, Davies P, Lu KP., Nature. June 24, 1999; 399 (6738): 784-8.


Random mutagenesis reveals a region important for gating of the yeast K+ channel Ykc1., Loukin SH, Vaillant B, Zhou XL, Spalding EP, Kung C, Saimi Y., EMBO J. August 15, 1997; 16 (16): 4817-25.


Identification of a pore lining segment in gap junction hemichannels., Zhou XW, Pfahnl A, Werner R, Hudder A, Llanes A, Luebke A, Dahl G., Biophys J. May 1, 1997; 72 (5): 1946-53.


A chimeric connexin forming gap junction hemichannels., Pfahnl A, Zhou XW, Werner R, Dahl G., Pflugers Arch. April 1, 1997; 433 (6): 773-9.


rDlx, a novel distal-less-like homeoprotein is expressed in developing cartilages and discrete neuronal tissues., Zhao GQ, Zhao S, Zhou X, Eberspaecher H, Solursh M, de Crombrugghe B., Dev Biol. July 1, 1994; 164 (1): 37-51.

???pagination.result.page??? 1