???pagination.result.count???
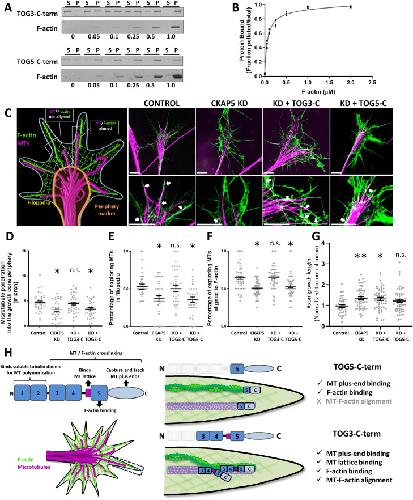
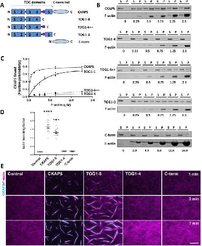
The TOG5 domain of CKAP5 is required to interact with F-actin and promote microtubule advancement in neurons. , Cammarata GM , Erdogan B , Sabo J, Kayaer Y, Dujava Zdimalova M, Engström F, Gupta U, Senel J, O'Brien T, Sibanda C, Thawani A, Folker ES, Braun M, Lansky Z, Lowery LA ., Mol Biol Cell. November 1, 2024; 35 (12): br24.
Investigating the impact of the phosphorylation status of tyrosine residues within the TACC domain of TACC3 on microtubule behavior during axon growth and guidance. , Erdogan B , St Clair RM, Cammarata GM , Zaccaro T, Ballif BA, Lowery LA ., Cytoskeleton (Hoboken). July 1, 2020; 77 (7): 277-291.
XMAP215 promotes microtubule-F-actin interactions to regulate growth cone microtubules during axon guidance in Xenopuslaevis. , Slater PG , Cammarata GM , Samuelson AG, Magee A, Hu Y, Lowery LA ., J Cell Sci. April 30, 2019; 132 (9):
Characterization of Xenopus laevis guanine deaminase reveals new insights for its expression and function in the embryonic kidney. , Slater PG , Cammarata GM , Monahan C, Bowers JT , Yan O, Lee S, Lowery LA ., Dev Dyn. April 1, 2019; 248 (4): 296-305.
The microtubule plus-end-tracking protein TACC3 promotes persistent axon outgrowth and mediates responses to axon guidance signals during development. , Erdogan B , Cammarata GM , Lee EJ , Pratt BC , Francl AF, Rutherford EL , Lowery LA ., Neural Dev. February 15, 2017; 12 (1): 3.
Conserved roles for cytoskeletal components in determining laterality. , McDowell GS , Lemire JM , Paré JF, Cammarata G , Lowery LA , Levin M ., Integr Biol (Camb). March 14, 2016; 8 (3): 267-86.