Click here to close Hello! We notice that you are using Internet Explorer, which is not supported by Xenbase and may cause the site to display incorrectly. We suggest using a current version of Chrome, FireFox, or Safari.

Profile Publications (26)
XB-PERS-3709

Publications By Jacques Moreau

???pagination.result.count???

???pagination.result.page??? 1


A new perspective for schizophrenia: TAAR1 agonists reveal antipsychotic- and antidepressant-like activity, improve cognition and control body weight., Revel FG, Moreau JL, Pouzet B, Mory R, Bradaia A, Buchy D, Metzler V, Chaboz S, Groebke Zbinden K, Galley G, Norcross RD, Tuerck D, Bruns A, Morairty SR, Kilduff TS, Wallace TL, Risterucci C, Wettstein JG, Hoener MC., Mol Psychiatry. May 1, 2013; 18 (5): 543-56.


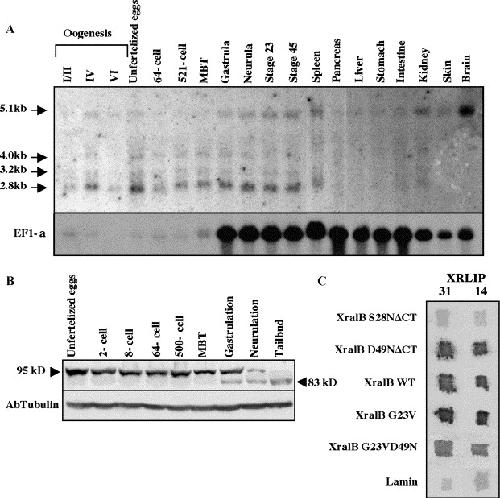
Dynamics of the subcellular localization of RalBP1/RLIP through the cell cycle: the role of targeting signals and of protein-protein interactions., Fillatre J, Delacour D, Van Hove L, Bagarre T, Houssin N, Soulika M, Veitia RA, Moreau J., FASEB J. May 1, 2012; 26 (5): 2164-74.


Identification and characterization of the RLIP/RALBP1 interacting protein Xreps1 in Xenopus laevis early development., Boissel L, Fillatre J, Moreau J., PLoS One. January 1, 2012; 7 (3): e33193.   


Intersectin 2 nucleotide exchange factor regulates Cdc42 activity during Xenopus early development., Novokhatska O, Dergai M, Houssin N, Tsyba L, Moreau J, Rynditch A., Biochem Biophys Res Commun. May 20, 2011; 408 (4): 663-8.   


Novel domains in the hnRNP G/RBMX protein with distinct roles in RNA binding and targeting nascent transcripts., Kanhoush R, Beenders B, Perrin C, Moreau J, Bellini M, Penrad-Mobayed M., Nucleus. January 1, 2010; 1 (1): 109-22.


Simultaneous dual-band ultra-high resolution full-field optical coherence tomography., Sacchet D, Moreau J, Georges P, Dubois A., Opt Express. November 24, 2008; 16 (24): 19434-46.


Spectroscopic ultrahigh-resolution full-field optical coherence microscopy., Dubois A, Moreau J, Boccara C., Opt Express. October 13, 2008; 16 (21): 17082-91.


Recruitment of Cdc42 through the GAP domain of RLIP participates in remodeling of the actin cytoskeleton and is involved in Xenopus gastrulation., Boissel L, Houssin N, Chikh A, Rynditch A, Van Hove L, Moreau J., Dev Biol. December 1, 2007; 312 (1): 331-43.   


RLIP mediates downstream signalling from RalB to the actin cytoskeleton during Xenopus early development., Lebreton S, Boissel L, Iouzalen N, Moreau J., Mech Dev. December 1, 2004; 121 (12): 1481-94.   


Control of embryonic Xenopus morphogenesis by a Ral-GDS/Xral branch of the Ras signalling pathway., Lebreton S, Boissel L, Moreau J., J Cell Sci. November 15, 2003; 116 (Pt 22): 4651-62.   


DOC1R: a MAP kinase substrate that control microtubule organization of metaphase II mouse oocytes., Terret ME, Lefebvre C, Djiane A, Rassinier P, Moreau J, Maro B, Verlhac MH., Development. November 1, 2003; 130 (21): 5169-77.


Characterization of the poly(A) binding proteins expressed during oogenesis and early development of Xenopus laevis., Cosson B, Couturier A, Le Guellec R, Moreau J, Chabelskaya S, Zhouravleva G, Philippe M., Biol Cell. September 1, 2002; 94 (4-5): 217-31.


XCDT1 is required for the assembly of pre-replicative complexes in Xenopus laevis., Maiorano D, Moreau J, Méchali M., Nature. April 6, 2000; 404 (6778): 622-5.


Characterization of Xenopus RalB and its involvement in F-actin control during early development., Moreau J, Lebreton S, Iouzalen N, Mechali M., Dev Biol. May 15, 1999; 209 (2): 268-81.


Identification and characterization in Xenopus of XsmgGDS, a RalB binding protein., Iouzalen N, Camonis J, Moreau J., Biochem Biophys Res Commun. September 18, 1998; 250 (2): 359-63.   


Cdk2 activity is dispensable for the onset of DNA replication during the first mitotic cycles of the sea urchin early embryo., Moreau JL, Marques F, Barakat A, Schatt P, Lozano JC, Peaucellier G, Picard A, Genevière AM., Dev Biol. August 15, 1998; 200 (2): 182-97.


XCoe2, a transcription factor of the Col/Olf-1/EBF family involved in the specification of primary neurons in Xenopus., Dubois L, Bally-Cuif L, Crozatier M, Moreau J, Paquereau L, Vincent A., Curr Biol. February 12, 1998; 8 (4): 199-209.   


Conservation of structural domains and biochemical activities of the MDM2 protein from Xenopus laevis., Marechal V, Elenbaas B, Taneyhill L, Piette J, Mechali M, Nicolas JC, Levine AJ, Moreau J., Oncogene. March 27, 1997; 14 (12): 1427-33.


H2A.ZI, a new variant histone expressed during Xenopus early development exhibits several distinct features from the core histone H2A., Iouzalen N, Moreau J, Méchali M., Nucleic Acids Res. October 15, 1996; 24 (20): 3947-52.   


Isolation of cDNAs from maternal mRNAs specifically present during early development., Moreau J, Iouzalen N, Mechali M., Mol Reprod Dev. May 1, 1995; 41 (1): 1-7.


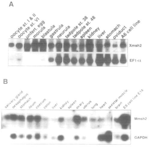
Cloning and expression of the Xenopus and mouse Msh2 DNA mismatch repair genes., Varlet I, Pallard C, Radman M, Moreau J, de Wind N., Nucleic Acids Res. December 25, 1994; 22 (25): 5723-8.   


Stathmin gene family: phylogenetic conservation and developmental regulation in Xenopus., Maucuer A, Moreau J, Méchali M, Sobel A., J Biol Chem. August 5, 1993; 268 (22): 16420-9.


Genes and mechanisms involved in early embryonic development in Xenopus laevis., Méchali M, Almouzni G, Andéol Y, Moreau J, Vriz S, Leibovici M, Hourdry J, Géraudie J, Soussi T, Gusse M., Int J Dev Biol. March 1, 1990; 34 (1): 51-9.


Detection of proto-oncogenes in the genome of the amphibian Xenopus laevis., Moreau J, Le Guellec R, Leibovici M, Couturier A, Philippe M, Mechali M., Oncogene. April 1, 1989; 4 (4): 443-9.


Proto-oncogenes and embryonic development., Méchali M, Gusse M, Vriz S, Taylor M, Andéol Y, Moreau J, Hourdry J, Leibovici M, Brulfert A, Almouzni G., Biochimie. July 1, 1988; 70 (7): 895-8.   


Co-evolution of base composition and codon usage in Xenopus laevis and human globin genes with long-range DNA organization of their genome., Moreau J, Scherrer K., FEBS Lett. August 31, 1987; 221 (1): 3-10.

???pagination.result.page??? 1