Click here to close Hello! We notice that you are using Internet Explorer, which is not supported by Xenbase and may cause the site to display incorrectly. We suggest using a current version of Chrome, FireFox, or Safari.

Profile Publications (24)
XB-PERS-3734

Publications By Katsutoshi Yoshizato

???pagination.result.count???

???pagination.result.page??? 1


Molecular features of thyroid hormone-regulated skin remodeling in Xenopus laevis during metamorphosis., Suzuki K, Machiyama F, Nishino S, Watanabe Y, Kashiwagi K, Kashiwagi A, Yoshizato K., Dev Growth Differ. May 1, 2009; 51 (4): 411-27.   


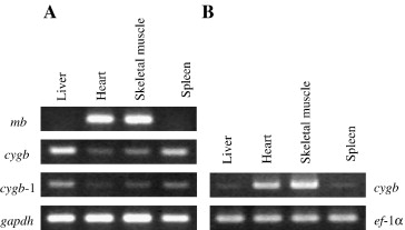
Gene expression and tissue distribution of cytoglobin and myoglobin in the Amphibia and Reptilia: possible compensation of myoglobin with cytoglobin in skeletal muscle cells of anurans that lack the myoglobin gene., Xi Y, Obara M, Ishida Y, Ikeda S, Yoshizato K., Gene. August 15, 2007; 398 (1-2): 94-102.   


Characterization of histone lysine-specific demethylase in relation to thyroid hormone-regulated anuran metamorphosis., Chen W, Obara M, Ishida Y, Suzuki K, Yoshizato K., Dev Growth Differ. May 1, 2007; 49 (4): 325-34.   


A novel Xenopus laevis larval keratin gene, xlk2: its gene structure and expression during regeneration and metamorphosis of limb and tail., Tazawa I, Shimizu-Nishikawa K, Yoshizato K., Biochim Biophys Acta. May 1, 2006; 1759 (5): 216-24.   


Platelet-derived growth factor signaling as a cue of the epithelial-mesenchymal interaction required for anuran skin metamorphosis., Utoh R, Shigenaga S, Watanabe Y, Yoshizato K., Dev Dyn. June 1, 2003; 227 (2): 157-69.   


Metal ion-responsive transgenic Xenopus laevis as an environmental monitoring animal., Oofusa K, Tooi O, Kashiwagi A, Kashiwagi K, Kondo Y, Obara M, Yoshizato K., Environ Toxicol Pharmacol. April 1, 2003; 13 (3): 153-159.


Metamorphosis-dependent transcriptional regulation of xak-c, a novel Xenopus type I keratin gene., Watanabe Y, Tanaka R, Kobayashi H, Utoh R, Suzuki K, Obara M, Yoshizato K., Dev Dyn. December 1, 2002; 225 (4): 561-70.   


Isolation of connective-tissue-specific genes involved in Xenopus intestinal remodeling: thyroid hormone up-regulates Tolloid/BMP-1 expression., Shimizu K, Ishizuya-Oka A, Amano T, Yoshizato K, Ueda S., Dev Genes Evol. September 1, 2002; 212 (8): 357-64.


Lineage of anuran epidermal basal cells and their differentiation potential in relation to metamorphic skin remodeling., Suzuki K, Utoh R, Kotani K, Obara M, Yoshizato K., Dev Growth Differ. June 1, 2002; 44 (3): 225-38.


Thyroid hormone regulation of a transcriptional coactivator in Xenopus laevis: implication for a role in postembryonic tissue remodeling., Amano T, Leu K, Yoshizato K, Shi YB., Dev Dyn. April 1, 2002; 223 (4): 526-35.   


Molecular cloning of XTP, a tau-like microtubule-associated protein from Xenopus laevis tadpoles., Olesen OF, Kawabata-Fukui H, Yoshizato K, Noro N., Gene. January 23, 2002; 283 (1-2): 299-309.   


Novel Rana keratin genes and their expression during larval to adult epidermal conversion in bullfrog tadpoles., Suzuki K, Sato K, Katsu K, Hayashita H, Kristensen DB, Yoshizato K., Differentiation. August 1, 2001; 68 (1): 44-54.


Expression of thyroid hormone receptor betaA gene assayed by transgenic Xenopus laevis carrying its promoter sequences., Oofusa K, Tooi O, Kashiwagi A, Kashiwagi K, Kondo Y, Watanabe Y, Sawada T, Fujikawa K, Yoshizato K., Mol Cell Endocrinol. July 5, 2001; 181 (1-2): 97-110.


New epidermal keratin genes from Xenopus laevis: hormonal and regional regulation of their expression during anuran skin metamorphosis., Watanabe Y, Kobayashi H, Suzuki K, Kotani K, Yoshizato K., Biochim Biophys Acta. February 16, 2001; 1517 (3): 339-50.   


Thyroid-hormone-dependent and fibroblast-specific expression of BMP-4 correlates with adult epithelial development during amphibian intestinal remodeling., Ishizuya-Oka A, Ueda S, Amano T, Shimizu K, Suzuki K, Ueno N, Yoshizato K., Cell Tissue Res. February 1, 2001; 303 (2): 187-95.


Expression of helix-loop-helix type negative regulators of differentiation during limb regeneration in urodeles and anurans., Shimizu-Nishikawa K, Tazawa I, Uchiyama K, Yoshizato K., Dev Growth Differ. December 1, 1999; 41 (6): 731-43.   


Metamorphosis-associated and region-specific expression of calbindin gene in the posterior intestinal epithelium of Xenopus laevis larva., Amano T, Noro N, Kawabata H, Kobayashi Y, Yoshizato K., Dev Growth Differ. April 1, 1998; 40 (2): 177-88.   


Expression of sonic hedgehog gene in regenerating newt limbs., Imokawa Y, Yoshizato K., Wound Repair Regen. January 1, 1998; 6 (4): 366-70.


Adult-type splenocytes of Xenopus induce apoptosis of histocompatible larval tail cells in vitro., Izutsu Y, Yoshizato K, Tochinai S., Differentiation. September 1, 1996; 60 (5): 277-86.


Regionally regulated conversion of protein expression in the skin during anuran metamorphosis., Kobayashi H, Sato H, Yoshizato K., J Exp Zool. February 15, 1996; 274 (3): 187-92.


Characterization of gene of anuran cathepsin D as a metamorphosis-associated enzyme., Mukai M, Obara M, Yoshizato K., Dev Growth Differ. October 1, 1995; 37 (5): 463-477.


Characterization of metamorphic changes in anuran larval epidermis using lectins as probes., Amano T, Kawabata H, Yoshizato K., Dev Growth Differ. April 1, 1995; 37 (2): 211-220.


Metamorphosis-dependent recognition of larval skin as non-self by inbred adult frogs (Xenopus laevis)., Izutsu Y, Yoshizato K., J Exp Zool. June 1, 1993; 266 (2): 163-7.


Cell death in the anuran tadpole tail: thyroid hormone induces keratinization and tail-specific growth inhibition of epidermal cells., Nishikawa A, Kaiho M, Yoshizato K., Dev Biol. February 1, 1989; 131 (2): 337-44.

???pagination.result.page??? 1