Click here to close Hello! We notice that you are using Internet Explorer, which is not supported by Xenbase and may cause the site to display incorrectly. We suggest using a current version of Chrome, FireFox, or Safari.

Profile Publications (14)
XB-PERS-3860

Publications By Lennart Olsson

???pagination.result.count???

???pagination.result.page??? 1


FoxN3 is necessary for the development of the interatrial septum, the ventricular trabeculae and the muscles at the head/trunk interface in the African clawed frog, Xenopus laevis (Lissamphibia: Anura: Pipidae)., Naumann B, Schmidt J, Olsson L., Dev Dyn. May 1, 2019; 248 (5): 323-336.   


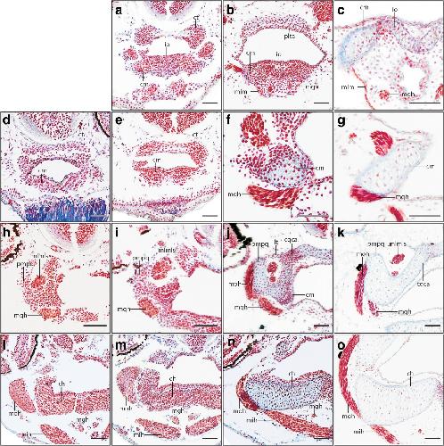
Bapx1 is required for jaw joint development in amphibians., Lukas P, Olsson L., Evol Dev. November 1, 2018; 20 (6): 192-206.


Three-dimensional reconstruction of the cranial and anterior spinal nerves in early tadpoles of Xenopus laevis (Pipidae, Anura)., Naumann B, Olsson L., J Comp Neurol. April 1, 2018; 526 (5): 836-857.   


Sequence and timing of early cranial skeletal development in Xenopus laevis., Lukas P, Olsson L., J Morphol. January 1, 2018; 279 (1): 62-74.   


Bapx1 upregulation is associated with ectopic mandibular cartilage development in amphibians., Lukas P, Olsson L., Zoological Lett. January 1, 2018; 4 16.   


Analyzing developmental sequences with Parsimov--a case study of cranial muscle development in anuran larvae., Ziermann JM, Mitgutsch C, Olsson L., J Exp Zool B Mol Dev Evol. December 1, 2014; 322 (8): 586-606.


Cranial muscles in amphibians: development, novelties and the role of cranial neural crest cells., Schmidt J, Piekarski N, Olsson L., J Anat. January 1, 2013; 222 (1): 134-46.


A role for FoxN3 in the development of cranial cartilages and muscles in Xenopus laevis (Amphibia: Anura: Pipidae) with special emphasis on the novel rostral cartilages., Schmidt J, Schuff M, Olsson L., J Anat. February 1, 2011; 218 (2): 226-42.


Patterns of spatial and temporal cranial muscle development in the African clawed frog, Xenopus laevis (Anura: Pipidae)., Ziermann JM, Olsson L., J Morphol. September 1, 2007; 268 (9): 791-804.


Role of cranial neural crest cells in visceral arch muscle positioning and morphogenesis in the Mexican axolotl, Ambystoma mexicanum., Ericsson R, Cerny R, Falck P, Olsson L., Dev Dyn. October 1, 2004; 231 (2): 237-47.


An intense half-semester developmental biology course, as taught at Uppsala University, Sweden., Olsson L., Int J Dev Biol. January 1, 2003; 47 (2-3): 171-6.


Limb development in a "nonmodel" vertebrate, the direct-developing frog Eleutherodactylus coqui., Hanken J, Carl TF, Richardson MK, Olsson L, Schlosser G, Osabutey CK, Klymkowsky MW., J Exp Zool. December 15, 2001; 291 (4): 375-88.


Neural crest cell migration and pigment pattern formation in urodele amphibians., Epperlein HH, Löfberg J, Olsson L., Int J Dev Biol. February 1, 1996; 40 (1): 229-38.


Altered DNA ligase III activity in the CHO EM9 mutant., Ljungquist S, Kenne K, Olsson L, Sandström M., Mutat Res. March 1, 1994; 314 (2): 177-86.

???pagination.result.page??? 1