Click here to close Hello! We notice that you are using Internet Explorer, which is not supported by Xenbase and may cause the site to display incorrectly. We suggest using a current version of Chrome, FireFox, or Safari.

Profile Publications (69)
XB-PERS-3935

Publications By Yu Shi

???pagination.result.count???

???pagination.result.page??? 1 2 ???pagination.result.next???


Diphthamide deficiency promotes association of eEF2 with p53 to induce p21 expression and neural crest defects., Shi Y, Huang D, Song C, Cao R, Wang Z, Wang D, Zhao L, Xu X, Lu C, Xiong F, Zhao H, Li S, Zhou Q, Luo S, Hu D, Zhang Y, Wang C, Shen Y, Su W, Wu Y, Schmitz K, Wei S, Song W., Nat Commun. April 26, 2024; 15 (1): 3301.   


The clade F PP2C phosphatase ZmPP84 negatively regulates drought tolerance by repressing stomatal closure in maize., Guo Y, Shi Y, Wang Y, Liu F, Li Z, Qi J, Wang Y, Zhang J, Yang S, Wang Y, Gong Z., New Phytol. March 1, 2023; 237 (5): 1728-1744.


Structure of the cytoplasmic ring of the Xenopus laevis nuclear pore complex., Zhu X, Huang G, Zeng C, Zhan X, Liang K, Xu Q, Zhao Y, Wang P, Wang Q, Zhou Q, Tao Q, Liu M, Lei J, Yan C, Shi Y., Science. June 10, 2022; 376 (6598): eabl8280.


Cryo-EM structure of the inner ring from the Xenopus laevis nuclear pore complex., Huang G, Zhan X, Zeng C, Liang K, Zhu X, Zhao Y, Wang P, Wang Q, Zhou Q, Tao Q, Liu M, Lei J, Yan C, Shi Y., Cell Res. May 1, 2022; 32 (5): 451-460.   


Cryo-EM structure of the nuclear ring from Xenopus laevis nuclear pore complex., Huang G, Zhan X, Zeng C, Zhu X, Liang K, Zhao Y, Wang P, Wang Q, Zhou Q, Tao Q, Liu M, Lei J, Yan C, Shi Y., Cell Res. April 1, 2022; 32 (4): 349-358.   


The hERG channel activator, RPR260243, enhances protective IKr current early in the refractory period reducing arrhythmogenicity in zebrafish hearts., Shi YP, Pang Z, Venkateshappa R, Gunawan M, Kemp J, Truong E, Chang C, Lin E, Shafaattalab S, Faizi S, Rayani K, Tibbits GF, Claydon VE, Claydon TW., Am J Physiol Heart Circ Physiol. August 1, 2020; 319 (2): H251-H261.


Structure of the cytoplasmic ring of the Xenopus laevis nuclear pore complex by cryo-electron microscopy single particle analysis., Huang G, Zhang Y, Zhu X, Zeng C, Wang Q, Zhou Q, Tao Q, Liu M, Lei J, Yan C, Shi Y., Cell Res. June 1, 2020; 30 (6): 520-531.   


Modeling human point mutation diseases in Xenopus tropicalis with a modified CRISPR/Cas9 system., Shi Z, Xin H, Tian D, Lian J, Wang J, Liu G, Ran R, Shi S, Zhang Z, Shi Y, Deng Y, Hou C, Chen Y., FASEB J. June 1, 2019; 33 (6): 6962-6968.


Extracellular protons accelerate hERG channel deactivation by destabilizing voltage sensor relaxation., Shi YP, Thouta S, Cheng YM, Claydon TW., J Gen Physiol. February 4, 2019; 151 (2): 231-246.   


Reproductive and developmental toxicity study of caffeic acid in mice., Liu Y, Qiu S, Wang L, Zhang N, Shi Y, Zhou H, Liu X, Shao L, Liu X, Chen J, Hou M., Food Chem Toxicol. January 1, 2019; 123 106-112.


Alteration of the Retinoid Acid-CBP Signaling Pathway in Neural Crest Induction Contributes to Enteric Nervous System Disorder., Li C, Hu R, Hou N, Wang Y, Wang Z, Yang T, Gu Y, He M, Shi Y, Chen J, Song W, Li T., Front Pediatr. December 3, 2018; 6 382.   


Ketamine Modulates Zic5 Expression via the Notch Signaling Pathway in Neural Crest Induction., Shi Y, Li J, Chen C, Xia Y, Li Y, Zhang P, Xu Y, Li T, Zhou W, Song W., Front Mol Neurosci. February 7, 2018; 11 9.   


MicroRNA-1294 inhibits the proliferation and enhances the chemosensitivity of glioma to temozolomide via the direct targeting of TPX2., Chen H, Liu L, Li X, Shi Y, Liu N., Am J Cancer Res. February 1, 2018; 8 (2): 291-301.


EphA7 regulates claudin6 and pronephros development in Xenopus., Sun J, Wang X, Shi Y, Li J, Li C, Shi Z, Chen Y, Mao B., Biochem Biophys Res Commun. January 8, 2018; 495 (2): 1580-1587.   


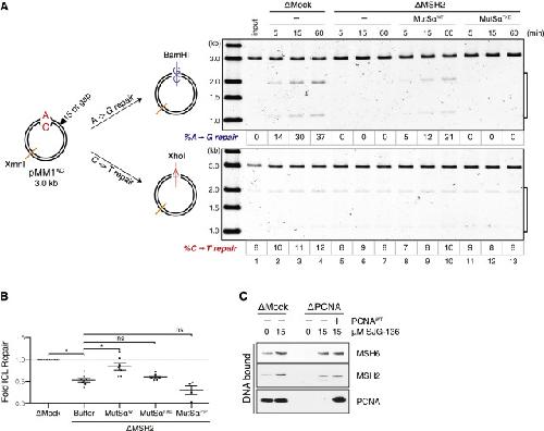
Sensing and Processing of DNA Interstrand Crosslinks by the Mismatch Repair Pathway., Kato N, Kawasoe Y, Williams H, Coates E, Roy U, Shi Y, Beese LS, Schärer OD, Yan H, Gottesman ME, Takahashi TS, Gautier J., Cell Rep. October 31, 2017; 21 (5): 1375-1385.   


Nicotinic acid inhibits glioma invasion by facilitating Snail1 degradation., Li J, Qu J, Shi Y, Perfetto M, Ping Z, Christian L, Niu H, Mei S, Zhang Q, Yang X, Wei S., Sci Rep. March 3, 2017; 7 43173.   


Studying nuclear functions of aminoacyl tRNA synthetases., Shi Y, Wei N, Yang XL., Methods. January 15, 2017; 113 105-110.


Early ketamine exposure results in cardiac enlargement and heart dysfunction in Xenopus embryos., Guo R, Liu G, Du M, Shi Y, Jiang P, Liu X, Liu L, Liu J, Xu Y., BMC Anesthesiol. April 18, 2016; 16 23.   


Xenopus Nkx6.3 is a neural plate border specifier required for neural crest development., Zhang Z, Shi Y, Zhao S, Li J, Li C, Mao B., PLoS One. December 15, 2014; 9 (12): e115165.   


Nicotinic acid modulates intracellular calcium concentration and disassembles the cytoskeleton., Li J, Li Y, Zhang P, Niu H, Shi Y., Mol Med Rep. December 1, 2014; 10 (6): 2805-10.   


5-Mehtyltetrahydrofolate rescues alcohol-induced neural crest cell migration abnormalities., Shi Y, Li J, Chen C, Gong M, Chen Y, Liu Y, Chen J, Li T, Song W., Mol Brain. September 16, 2014; 7 67.   


TPX2 overexpression in medullary thyroid carcinoma mediates TT cell proliferation., Yang X, Liu G, Xiao H, Yu F, Xiang X, Lu Y, Li W, Liu X, Li S, Shi Y., Pathol Oncol Res. July 1, 2014; 20 (3): 641-8.


Identification of small ubiquitin-like modifier substrates with diverse functions using the Xenopus egg extract system., Ma L, Aslanian A, Sun H, Jin M, Shi Y, Yates JR, Hunter T., Mol Cell Proteomics. July 1, 2014; 13 (7): 1659-75.   


External protons destabilize the activated voltage sensor in hERG channels., Shi YP, Cheng YM, Van Slyke AC, Claydon TW., Eur Biophys J. March 1, 2014; 43 (2-3): 59-69.


Structural insights into RIP3-mediated necroptotic signaling., Xie T, Peng W, Yan C, Wu J, Gong X, Shi Y., Cell Rep. October 17, 2013; 5 (1): 70-8.


Effects of perfluorooctanesulfonate and perfluorobutanesulfonate on the growth and sexual development of Xenopus laevis., Lou QQ, Zhang YF, Zhou Z, Shi YL, Ge YN, Ren DK, Xu HM, Zhao YX, Wei WJ, Qin ZF., Ecotoxicology. September 1, 2013; 22 (7): 1133-44.


External pH modulates EAG superfamily K+ channels through EAG-specific acidic residues in the voltage sensor., Kazmierczak M, Zhang X, Chen B, Mulkey DK, Shi Y, Wagner PG, Pivaroff-Ward K, Sassic JK, Bayliss DA, Jegla T., J Gen Physiol. June 1, 2013; 141 (6): 721-35.   


Tet3 CXXC domain and dioxygenase activity cooperatively regulate key genes for Xenopus eye and neural development., Xu Y, Xu C, Kato A, Tempel W, Abreu JG, Bian C, Hu Y, Hu D, Zhao B, Cerovina T, Diao J, Wu F, He HH, Cui Q, Clark E, Ma C, Barbara A, Veenstra GJ, Xu G, Kaiser UB, Liu XS, Sugrue SP, He X, Min J, Kato Y, Shi YG., Cell. December 7, 2012; 151 (6): 1200-13.   


Proton block of the pore underlies the inhibition of hERG cardiac K+ channels during acidosis., Van Slyke AC, Cheng YM, Mafi P, Allard CR, Hull CM, Shi YP, Claydon TW., Am J Physiol Cell Physiol. June 15, 2012; 302 (12): C1797-806.


Virion protein 16 induces demethylation of DNA integrated within chromatin in a novel mammalian cell model., Yang L, Wang H, Luo X, Mao P, Tian W, Shi Y, Huang G, Zhang J, Ma D., Acta Biochim Biophys Sin (Shanghai). February 1, 2012; 44 (2): 154-61.


Xenopus reduced folate carrier regulates neural crest development epigenetically., Li J, Shi Y, Sun J, Zhang Y, Mao B., PLoS One. January 1, 2011; 6 (11): e27198.   


Requirement for lamin B receptor and its regulation by importin {beta} and phosphorylation in nuclear envelope assembly during mitotic exit., Lu X, Shi Y, Lu Q, Ma Y, Luo J, Wang Q, Ji J, Jiang Q, Zhang C., J Biol Chem. October 22, 2010; 285 (43): 33281-33293.


Islet-1 is required for ventral neuron survival in Xenopus., Shi Y, Zhao S, Li J, Mao B., Biochem Biophys Res Commun. October 23, 2009; 388 (3): 506-10.   


MCM7 interacts with androgen receptor., Shi YK, Yu YP, Zhu ZH, Han YC, Ren B, Nelson JB, Luo JH., Am J Pathol. December 1, 2008; 173 (6): 1758-67.


High CO2 chemosensitivity versus wide sensing spectrum: a paradoxical problem and its solutions in cultured brainstem neurons., Su J, Yang L, Zhang X, Rojas A, Shi Y, Jiang C., J Physiol. February 1, 2007; 578 (Pt 3): 831-41.


Kir6.2 channel gating by intracellular protons: subunit stoichiometry for ligand binding and channel gating., Wang R, Su J, Zhang X, Shi Y, Cui N, Onyebuchi VA, Jiang C., J Membr Biol. January 1, 2006; 213 (3): 155-64.


Regulation of tissue-specific and extracellular matrix-related genes by a class I histone deacetylase., Whetstine JR, Ceron J, Ladd B, Dufourcq P, Reinke V, Shi Y., Mol Cell. May 13, 2005; 18 (4): 483-90.


Determinant role of membrane helices in K ATP channel gating., Wang R, Rojas A, Wu J, Piao H, Adams CY, Xu H, Shi Y, Wang Y, Jiang C., J Membr Biol. March 1, 2005; 204 (1): 1-10.


Matrix metalloproteinase stromelysin-3 in development and pathogenesis., Wei L, Shi YB., Histol Histopathol. January 1, 2005; 20 (1): 177-85.


Transcriptional control of the antimicrobial peptide resistance ugtL gene by the Salmonella PhoP and SlyA regulatory proteins., Shi Y, Latifi T, Cromie MJ, Groisman EA., J Biol Chem. September 10, 2004; 279 (37): 38618-25.


Molecular basis for the inhibition of G protein-coupled inward rectifier K(+) channels by protein kinase C., Mao J, Wang X, Chen F, Wang R, Rojas A, Shi Y, Piao H, Jiang C., Proc Natl Acad Sci U S A. January 27, 2004; 101 (4): 1087-92.


Molecular analysis of the evolutionary significance of ultraviolet vision in vertebrates., Shi Y, Yokoyama S., Proc Natl Acad Sci U S A. July 8, 2003; 100 (14): 8308-13.


A role for thyroid hormone transporters in transcriptional regulation by thyroid hormone receptors., Ritchie JW, Shi YB, Hayashi Y, Baird FE, Muchekehu RW, Christie GR, Taylor PM., Mol Endocrinol. April 1, 2003; 17 (4): 653-61.


N-CoR-HDAC corepressor complexes: roles in transcriptional regulation by nuclear hormone receptors., Jones PL, Shi YB., Curr Top Microbiol Immunol. January 1, 2003; 274 237-68.


An essential role of histone deacetylases in postembryonic organ transformations in Xenopus laevis., Sachs LM, Amano T, Shi YB., Int J Mol Med. December 1, 2001; 8 (6): 595-601.


Involvement of histone deacetylase at two distinct steps in gene regulation during intestinal development in Xenopus laevis., Sachs LM, Amano T, Rouse N, Shi YB., Dev Dyn. October 1, 2001; 222 (2): 280-91.


Thyroid hormone regulation of apoptotic tissue remodeling: implications from molecular analysis of amphibian metamorphosis., Shi YB, Ishizuya-Oka A., Prog Nucleic Acid Res Mol Biol. January 1, 2001; 65 53-100.


Requirement for matrix metalloproteinase stromelysin-3 in cell migration and apoptosis during tissue remodeling in Xenopus laevis., Ishizuya-Oka A, Li Q, Amano T, Damjanovski S, Ueda S, Shi YB., J Cell Biol. September 4, 2000; 150 (5): 1177-88.   


BMP signaling is required for heart formation in vertebrates., Shi Y, Katsev S, Cai C, Evans S., Dev Biol. August 15, 2000; 224 (2): 226-37.   


Role of ECM remodeling in thyroid hormone-dependent apoptosis during anuran metamorphosis., Damjanovski S, Amano T, Li Q, Ueda S, Shi YB, Ishizuya-Oka A., Ann N Y Acad Sci. January 1, 2000; 926 180-91.

???pagination.result.page??? 1 2 ???pagination.result.next???