Click here to close Hello! We notice that you are using Internet Explorer, which is not supported by Xenbase and may cause the site to display incorrectly. We suggest using a current version of Chrome, FireFox, or Safari.

Profile Publications (12)
XB-PERS-3955

Publications By Ichiro Tazawa

???pagination.result.count???

???pagination.result.page??? 1


Effects of Thyroid Hormone Receptor α Gene Knockout on Hindlimb and Intestinal Development in Pre-Metamorphic Xenopus tropicalis Larvae., Ogawa S, Nakajima K, Furuno N, Tazawa I., Dev Growth Differ. February 1, 2026; 68 (2): e70043.


Universal Improvement of In Situ Hybridization Chain Reaction by Reducing Background Signals Caused by Single Probes., Kuboe Y, Nakanishi K, Tazawa I, Nakajima K., Dev Growth Differ. August 13, 2025; 67 (6): 336-343.


Urodele amphibian newt bridges the missing link in evo-devo of the pancreas., Morozumi R, Okamoto K, Enomoto E, Tsukamoto Y, Kyakuno M, Suzuki N, Tazawa I, Furuno N, Ogino H, Kamei Y, Matsunami M, Shigenobu S, Suzuki K, Uemasu H, Namba N, Hayashi T., Dev Dyn. January 8, 2025;


Generation of translucent Xenopus tropicalis through triple knockout of pigmentation genes., Nakajima K, Tazawa I, Furuno N., Dev Growth Differ. December 1, 2023; 65 (9): 591-598.   


Phenotype-genotype relationships in Xenopus sox9 crispants provide insights into campomelic dysplasia and vertebrate jaw evolution., Hossain N, Igawa T, Suzuki M, Tazawa I, Nakao Y, Hayashi T, Suzuki N, Ogino H., Dev Growth Differ. October 1, 2023; 65 (8): 481-497.   


Intravital staining to detect mineralization in Xenopus tropicalis during and after metamorphosis., Nakajima K, Yabumoto S, Tazawa I, Furuno N., Dev Growth Differ. September 1, 2022; 64 (7): 368-378.   


A unique role of thyroid hormone receptor β in regulating notochord resorption during Xenopus metamorphosis., Nakajima K, Tazawa I, Shi YB., Gen Comp Endocrinol. June 1, 2019; 277 66-72.   


Thyroid Hormone Receptor α- and β-Knockout Xenopus tropicalis Tadpoles Reveal Subtype-Specific Roles During Development., Nakajima K, Tazawa I, Yaoita Y., Endocrinology. February 1, 2018; 159 (2): 733-743.   


Vitamin A induced homeotic hindlimb formation on dorsal and ventral sides of regenerating tissue of amputated tails of Japanese brown frog tadpoles., Tazawa I, Yaoita Y., Dev Growth Differ. December 1, 2017; 59 (9): 688-700.   


Expression of the amelogenin gene in the skin of Xenopus tropicalis., Okada M, Tazawa I, Nakajima K, Yaoita Y., Zoolog Sci. March 1, 2013; 30 (3): 154-9.   


A novel Xenopus laevis larval keratin gene, xlk2: its gene structure and expression during regeneration and metamorphosis of limb and tail., Tazawa I, Shimizu-Nishikawa K, Yoshizato K., Biochim Biophys Acta. May 1, 2006; 1759 (5): 216-24.   


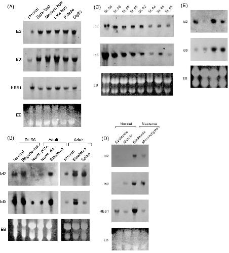
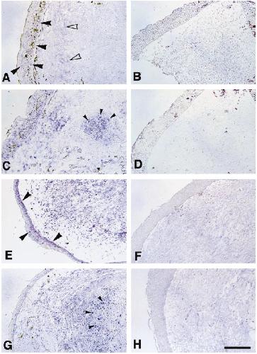
Expression of helix-loop-helix type negative regulators of differentiation during limb regeneration in urodeles and anurans., Shimizu-Nishikawa K, Tazawa I, Uchiyama K, Yoshizato K., Dev Growth Differ. December 1, 1999; 41 (6): 731-43.   

???pagination.result.page??? 1