Click here to close Hello! We notice that you are using Internet Explorer, which is not supported by Xenbase and may cause the site to display incorrectly. We suggest using a current version of Chrome, FireFox, or Safari.

Profile Publications (25)
XB-PERS-3957

Publications By Nobuaki Furuno

???pagination.result.count???

???pagination.result.page??? 1


Effects of Thyroid Hormone Receptor α Gene Knockout on Hindlimb and Intestinal Development in Pre-Metamorphic Xenopus tropicalis Larvae., Ogawa S, Nakajima K, Furuno N, Tazawa I., Dev Growth Differ. February 1, 2026; 68 (2): e70043.


Urodele amphibian newt bridges the missing link in evo-devo of the pancreas., Morozumi R, Okamoto K, Enomoto E, Tsukamoto Y, Kyakuno M, Suzuki N, Tazawa I, Furuno N, Ogino H, Kamei Y, Matsunami M, Shigenobu S, Suzuki K, Uemasu H, Namba N, Hayashi T., Dev Dyn. January 8, 2025;


Generation of translucent Xenopus tropicalis through triple knockout of pigmentation genes., Nakajima K, Tazawa I, Furuno N., Dev Growth Differ. December 1, 2023; 65 (9): 591-598.   


Intravital staining to detect mineralization in Xenopus tropicalis during and after metamorphosis., Nakajima K, Yabumoto S, Tazawa I, Furuno N., Dev Growth Differ. September 1, 2022; 64 (7): 368-378.   


Generation of no-yellow-pigment Xenopus tropicalis by slc2a7 gene knockout., Nakajima K, Shimamura M, Furuno N., Dev Dyn. October 1, 2021; 250 (10): 1420-1431.   


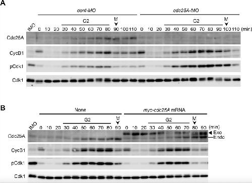
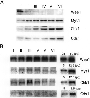
Involvement of Myt1 kinase in the G2 phase of the first cell cycle in Xenopus laevis., Yoshitome S, Aiba Y, Yuge M, Furuno N, Watanabe M, Nakajo N., Biochem Biophys Res Commun. July 12, 2019; 515 (1): 139-144.   


Identification and comparative analyses of Siamois cluster genes in Xenopus laevis and tropicalis., Haramoto Y, Saijyo T, Tanaka T, Furuno N, Suzuki A, Ito Y, Kondo M, Taira M, Takahashi S., Dev Biol. June 15, 2017; 426 (2): 374-383.   


High efficiency TALENs enable F0 functional analysis by targeted gene disruption in Xenopus laevis embryos., Suzuki KT, Isoyama Y, Kashiwagi K, Sakuma T, Ochiai H, Sakamoto N, Furuno N, Kashiwagi A, Yamamoto T., Biol Open. May 15, 2013; 2 (5): 448-52.   


The subcellular localization of cyclin B2 is required for bipolar spindle formation during Xenopus oocyte maturation., Yoshitome S, Furuno N, Prigent C, Hashimoto E., Biochem Biophys Res Commun. June 15, 2012; 422 (4): 770-5.   


A novel vanadium transporter of the Nramp family expressed at the vacuole of vanadium-accumulating cells of the ascidian Ascidia sydneiensis samea., Ueki T, Furuno N, Michibata H., Biochim Biophys Acta. April 1, 2011; 1810 (4): 457-64.


Identification and biochemical analysis of a homolog of a sulfate transporter from a vanadium-rich ascidian Ascidia sydneiensis samea., Ueki T, Furuno N, Xu Q, Nitta Y, Kanamori K, Michibata H., Biochim Biophys Acta. October 1, 2009; 1790 (10): 1295-300.


Effects of hypergravity environments on amphibian development, gene expression and apoptosis., Kawakami S, Kashiwagi K, Furuno N, Yamashita M, Kashiwagi A., Comp Biochem Physiol A Mol Integr Physiol. September 1, 2006; 145 (1): 65-72.


The C-terminal seven amino acids in the cytoplasmic retention signal region of cyclin B2 are required for normal bipolar spindle formation in Xenopus oocytes and embryos., Yoshitome S, Furuno N, Hashimoto E, Sagata N., Mol Cancer Res. June 1, 2003; 1 (8): 589-97.


Expression of cell-cycle regulators during Xenopus oogenesis., Furuno N, Kawasaki A, Sagata N., Gene Expr Patterns. May 1, 2003; 3 (2): 165-8.   


Overexpression of the cytoplasmic retention signal region of cyclin B2, but not of cyclin B1, inhibits bipolar spindle formation in Xenopus oocytes., Yoshitome S, Furuno N, Sagata N., Biol Cell. October 1, 1998; 90 (6-7): 509-18.


Meiotic cell cycle in Xenopus oocytes is independent of cdk2 kinase., Furuno N, Ogawa Y, Iwashita J, Nakajo N, Sagata N., EMBO J. July 1, 1997; 16 (13): 3860-5.


Isolation of a cDNA encoding the X enopus homologue of mammalian Cdc25A that can induce meiotic maturation of oocytes., Okazaki K, Hayashida K, Iwashita J, Harano M, Furuno N, Sagata N., Gene. October 31, 1996; 178 (1-2): 111-4.


Suppression of DNA replication via Mos function during meiotic divisions in Xenopus oocytes., Furuno N, Nishizawa M, Okazaki K, Tanaka H, Iwashita J, Nakajo N, Ogawa Y, Sagata N., EMBO J. May 15, 1994; 13 (10): 2399-410.


Degradation of Mos by the N-terminal proline (Pro2)-dependent ubiquitin pathway on fertilization of Xenopus eggs: possible significance of natural selection for Pro2 in Mos., Nishizawa M, Furuno N, Okazaki K, Tanaka H, Ogawa Y, Sagata N., EMBO J. October 1, 1993; 12 (10): 4021-7.


Differential occurrence of CSF-like activity and transforming activity of Mos during the cell cycle in fibroblasts., Okazaki K, Nishizawa M, Furuno N, Yasuda H, Sagata N., EMBO J. July 1, 1992; 11 (7): 2447-56.


The 'second-codon rule' and autophosphorylation govern the stability and activity of Mos during the meiotic cell cycle in Xenopus oocytes., Nishizawa M, Okazaki K, Furuno N, Watanabe N, Sagata N., EMBO J. July 1, 1992; 11 (7): 2433-46.


Correlation between physiological and transforming activities of the c-mos proto-oncogene product and identification of an essential Mos domain for these activities., Okazaki K, Furuno N, Watanabe N, Ikawa Y, Vande Woude GF, Sagata N., Jpn J Cancer Res. March 1, 1991; 82 (3): 250-3.


Vertebral Abnormalities Following Heat Shock in Xenopus Embryos: (Xenopus embryos/vertebral abnormality/heat shock/somite disturbance/bone staining.)., Kobayashi H, Watanabe T, Terashita N, Handa S, Furuno N., Dev Growth Differ. February 1, 1989; 31 (1): 65-70.


Replacement of maternal 40S rRNA precursor by newly synthesized precursor in early embryos of Xenopus laevis., Furuno N, Shiokawa K, Kobayashi H., Cell Struct Funct. April 1, 1988; 13 (2): 113-22.


[Regulation of rDNA transcription in Xenopus embryogenesis]., Shiokawa K, Tashiro K, Furuno N, Misumi Y, Takeichi T., Tanpakushitsu Kakusan Koso. December 1, 1985; 30 (14 Suppl): 1534-49.

???pagination.result.page??? 1