Click here to close Hello! We notice that you are using Internet Explorer, which is not supported by Xenbase and may cause the site to display incorrectly. We suggest using a current version of Chrome, FireFox, or Safari.

Profile Publications (5)
XB-PERS-3996

Publications By Wanda L Goleman

???pagination.result.count???

???pagination.result.page??? 1


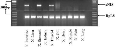
Changes in gastric sodium-iodide symporter (NIS) activity are associated with differences in thyroid gland sensitivity to perchlorate during metamorphosis., Carr JA, Murali S, Hu F, Goleman WL, Carr DL, Smith EE, Wages M., Gen Comp Endocrinol. August 1, 2015; 219 16-23.   


Contribution of ammonium ions to the lethality and antimetamorphic effects of ammonium perchlorate., Goleman WL, Carr JA., Environ Toxicol Chem. April 1, 2006; 25 (4): 1060-7.


Response of larval Xenopus laevis to atrazine: assessment of growth, metamorphosis, and gonadal and laryngeal morphology., Carr JA, Gentles A, Smith EE, Goleman WL, Urquidi LJ, Thuett K, Kendall RJ, Giesy JP, Gross TS, Solomon KR, Van Der Kraak G., Environ Toxicol Chem. February 1, 2003; 22 (2): 396-405.


Environmentally relevant concentrations of ammonium perchlorate inhibit thyroid function and alter sex ratios in developing Xenopus laevis., Goleman WL, Carr JA, Anderson TA., Environ Toxicol Chem. March 1, 2002; 21 (3): 590-7.


Environmentally relevant concentrations of ammonium perchlorate inhibit development and metamorphosis in Xenopus laevis., Goleman WL, Urquidi LJ, Anderson TA, Smith EE, Kendall RJ, Carr JA., Environ Toxicol Chem. February 1, 2002; 21 (2): 424-30.

???pagination.result.page??? 1