Click here to close Hello! We notice that you are using Internet Explorer, which is not supported by Xenbase and may cause the site to display incorrectly. We suggest using a current version of Chrome, FireFox, or Safari.

Profile Publications (28)
XB-PERS-4015

Publications By Yumi Izutsu

???pagination.result.count???

???pagination.result.page??? 1


Identification and characterization of myeloid cells localized in the tadpole liver cortex in Xenopus laevis., Maéno M, Tanabe M, Ogawa A, Kobayashi H, Izutsu Y, Kato T., Dev Comp Immunol. July 1, 2024; 156 105178.


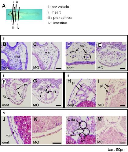
A myeloperoxidase enhancer drives myeloid cell-specific labeling in a transgenic frog line., Yamada-Kondo S, Ogawa A, Fukunaga M, Izutsu Y, Kato T, Maéno M., Dev Growth Differ. September 1, 2022; 64 (7): 362-367.   


Erratum: Skin Grafting in Xenopus laevis: A Technique for Assessing Development and Immunological Disparity., Izutsu Y., Cold Spring Harb Protoc. August 1, 2019; 2019 (8): pdb.err106617.


Skin Grafting in Xenopus laevis: A Technique for Assessing Development and Immunological Disparity., Izutsu Y., Cold Spring Harb Protoc. May 1, 2019; 2019 (5):


Cells from subcutaneous tissues contribute to scarless skin regeneration in Xenopus laevis froglets., Otsuka-Yamaguchi R, Kawasumi-Kita A, Kudo N, Izutsu Y, Tamura K, Yokoyama H., Dev Dyn. August 1, 2017; 246 (8): 585-597.   


Molecular Evolution of Two Distinct dmrt1 Promoters for Germ and Somatic Cells in Vertebrate Gonads., Mawaribuchi S, Musashijima M, Wada M, Izutsu Y, Kurakata E, Park MK, Takamatsu N, Ito M., Mol Biol Evol. March 1, 2017; 34 (3): 724-733.


Genome evolution in the allotetraploid frog Xenopus laevis., Session AM, Uno Y, Kwon T, Chapman JA, Toyoda A, Takahashi S, Fukui A, Hikosaka A, Suzuki A, Kondo M, van Heeringen SJ, Quigley I, Heinz S, Ogino H, Ochi H, Hellsten U, Lyons JB, Simakov O, Putnam N, Stites J, Kuroki Y, Tanaka T, Michiue T, Watanabe M, Bogdanovic O, Lister R, Georgiou G, Paranjpe SS, van Kruijsbergen I, Shu S, Carlson J, Kinoshita T, Ohta Y, Mawaribuchi S, Jenkins J, Grimwood J, Schmutz J, Mitros T, Mozaffari SV, Suzuki Y, Haramoto Y, Yamamoto TS, Takagi C, Heald R, Miller K, Haudenschild C, Kitzman J, Nakayama T, Izutsu Y, Robert J, Fortriede J, Burns K, Lotay V, Karimi K, Yasuoka Y, Dichmann DS, Flajnik MF, Houston DW, Shendure J, DuPasquier L, Vize PD, Zorn AM, Ito M, Marcotte EM, Wallingford JB, Ito Y, Asashima M, Ueno N, Matsuda Y, Veenstra GJ, Fujiyama A, Harland RM, Taira M, Rokhsar DS., Nature. October 20, 2016; 538 (7625): 336-343.   


Distinct mechanisms control the timing of differentiation of two myeloid populations in Xenopus ventral blood islands., Maéno M, Komiyama K, Matsuzaki Y, Hosoya J, Kurihara S, Sakata H, Izutsu Y., Dev Growth Differ. February 1, 2012; 54 (2): 187-201.


Opposite roles of DMRT1 and its W-linked paralogue, DM-W, in sexual dimorphism of Xenopus laevis: implications of a ZZ/ZW-type sex-determining system., Yoshimoto S, Ikeda N, Izutsu Y, Shiba T, Takamatsu N, Ito M., Development. August 1, 2010; 137 (15): 2519-26.   


Identification and expression of ventrally associated leucine-zipper (VAL) in Xenopus embryo., Saito Y, Takahashi Y, Izutsu Y, Maeno M., Int J Dev Biol. January 1, 2010; 54 (1): 203-8.   


Involvement of Neptune in induction of the hatching gland and neural crest in the Xenopus embryo., Kurauchi T, Izutsu Y, Maéno M., Differentiation. January 1, 2010; 79 (4-5): 251-9.   


The keratin-related Ouroboros proteins function as immune antigens mediating tail regression in Xenopus metamorphosis., Mukaigasa K, Hanasaki A, Maéno M, Fujii H, Hayashida S, Itoh M, Kobayashi M, Tochinai S, Hatta M, Iwabuchi K, Taira M, Onoé K, Izutsu Y., Proc Natl Acad Sci U S A. October 27, 2009; 106 (43): 18309-14.   


Involvement of AP-2rep in morphogenesis of the axial mesoderm in Xenopus embryo., Saito Y, Gotoh M, Ujiie Y, Izutsu Y, Maéno M., Cell Tissue Res. February 1, 2009; 335 (2): 357-69.


The immune system is involved in Xenopus metamorphosis., Izutsu Y., Front Biosci (Landmark Ed). January 1, 2009; 14 (1): 141-9.


A role of D domain-related proteins in differentiation and migration of embryonic cells in Xenopus laevis., Shibata T, Takahashi Y, Tasaki J, Saito Y, Izutsu Y, Maéno M., Mech Dev. January 1, 2008; 125 (3-4): 284-98.   


Characterization of myeloid cells derived from the anterior ventral mesoderm in the Xenopus laevis embryo., Tashiro S, Sedohara A, Asashima M, Izutsu Y, Maéno M., Dev Growth Differ. October 1, 2006; 48 (8): 499-512.   


Neptune is involved in posterior axis and tail formation in Xenopus embryogenesis., Takeda M, Kurauchi T, Yamazaki T, Izutsu Y, Maéno M., Dev Dyn. September 1, 2005; 234 (1): 63-73.   


Analyses of immune responses to ontogeny-specific antigens using an inbred strain of Xenopus laevis (J strain)., Izutsu Y, Maéno M., Methods Mol Med. January 1, 2005; 105 149-58.


A BMP-4-dependent transcriptional control element in the 5' flanking region of Xenopus SCL gene., Sanada T, Park MJ, Araki A, Gotoh M, Izutsu Y, Maéno M., Biochem Biophys Res Commun. October 31, 2003; 310 (4): 1160-7.


Complementary expression of AP-2 and AP-2rep in ectodermal derivatives of Xenopus embryos., Gotoh M, Izutsu Y, Maéno M., Dev Genes Evol. July 1, 2003; 213 (7): 363-7.


Ontogenic emergence and localization of larval skin antigen molecule recognized by adult T cells of Xenopus laevis: Regulation by thyroid hormone during metamorphosis., Watanabe M, Ohshima M, Morohashi M, Maéno M, Izutsu Y., Dev Growth Differ. February 1, 2003; 45 (1): 77-84.   


Larval antigen molecules recognized by adult immune cells of inbred Xenopus laevis: partial characterization and implication in metamorphosis., Izutsu Y, Tochinai S, Maéno M, Iwabuchi K, Onoé K., Dev Growth Differ. December 1, 2002; 44 (6): 477-88.   


Common and distinct signals specify the distribution of blood and vascular cell lineages in Xenopus laevis embryos., Iraha F, Saito Y, Yoshida K, Kawakami M, Izutsu Y, Daar IO, Maéno M., Dev Growth Differ. October 1, 2002; 44 (5): 395-407.   


Two-step induction of primitive erythrocytes in Xenopus laevis embryos: signals from the vegetal endoderm and the overlying ectoderm., Kikkawa M, Yamazaki M, Izutsu Y, Maéno M., Int J Dev Biol. April 1, 2001; 45 (2): 387-96.   


Loss of reactivity to pan-cadherin antibody in epidermal cells as a marker for metamorphic alteration of Xenopus skin., Izutsu Y, Tochinai S, Onoé K., Dev Growth Differ. August 1, 2000; 42 (4): 377-83.   


Larval antigen molecules recognized by adult immune cells of inbred Xenopus laevis: two pathways for recognition by adult splenic T cells., Izutsu Y, Tochinai S, Iwabuchi K, Onoè K., Dev Biol. May 15, 2000; 221 (2): 365-74.   


Adult-type splenocytes of Xenopus induce apoptosis of histocompatible larval tail cells in vitro., Izutsu Y, Yoshizato K, Tochinai S., Differentiation. September 1, 1996; 60 (5): 277-86.


Metamorphosis-dependent recognition of larval skin as non-self by inbred adult frogs (Xenopus laevis)., Izutsu Y, Yoshizato K., J Exp Zool. June 1, 1993; 266 (2): 163-7.

???pagination.result.page??? 1