|
XB-PERS-4024
Publications By Engin Deniz
???pagination.result.count??????pagination.result.page??? 1
|
Ccdc57 regulates cilia and left-right patterning in Xenopus., Yang B, Mis EK, Zhou X, Aslam F, He J, Lu X, Fan H, Guo T, Deniz E, Luo H, Khokha MK., Biol Open. February 15, 2026; 15 (2): |
|
Novel Variants in VARS2 Demonstrate the Phenotypic Variability of a Rare Mitochondriopathy That Responds to Valine Supplementation., Marquez J, Viviano S, Rahman F, Strohbehn SD, Allworth A, Perez N, University of Washington Center for Rare Disease Research, Undiagnosed Diseases Network, Saneto RP, Anna S, Penón Portmann M, Blue EE, Glass IA, Deniz E, Shelkowitz E., J Inherit Metab Dis. July 1, 2025; 48 (4): e70053. |
|
Polyamine metabolism is dysregulated in COXFA4-related mitochondrial disease., Marquez J, Viviano S, Beckman E, Thies J, Friedland-Little J, Lam CT, Deniz E, Shelkowitz E., HGG Adv. February 10, 2025; 6 (2): 100418. |
|
CC2D1A causes ciliopathy, intellectual disability, heterotaxy, renal dysplasia, and abnormal CSF flow., Kim AH, Sakin I, Viviano S, Tuncel G, Aguilera SM, Goles G, Jeffries L, Ji W, Lakhani SA, Kose CC, Silan F, Oner SS, Kaplan OI, MarmaRare Group, Ergoren MC, Mishra-Gorur K, Gunel M, Sag SO, Temel SG, Deniz E., Life Sci Alliance. October 21, 2024; 7 (10): |
|
A novel SMARCC1 BAFopathy implicates neural progenitor epigenetic dysregulation in human hydrocephalus., Singh AK, Allington G, Viviano S, McGee S, Kiziltug E, Ma S, Zhao S, Mekbib KY, Shohfi JP, Duy PQ, DeSpenza T, Furey CG, Reeves BC, Smith H, Sousa AMM, Cherskov A, Allocco A, Nelson-Williams C, Haider S, Rizvi SRA, Alper SL, Sestan N, Shimelis H, Walsh LK, Lifton RP, Moreno-De-Luca A, Jin SC, Kruszka P, Deniz E, Kahle KT., Brain. April 4, 2024; 147 (4): 1553-1570. |
|
CFAP45, a heterotaxy and congenital heart disease gene, affects cilia stability., Deniz E, Pasha M, Guerra ME, Viviano S, Ji W, Konstantino M, Jeffries L, Lakhani SA, Medne L, Skraban C, Krantz I, Khokha MK., Dev Biol. July 1, 2023; 499 75-88. |
|
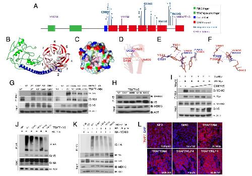
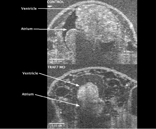
Pleiotropic role of TRAF7 in skull-base meningiomas and congenital heart disease., Mishra-Gorur K, Barak T, Kaulen LD, Henegariu O, Jin SC, Aguilera SM, Yalbir E, Goles G, Nishimura S, Miyagishima D, Djenoune L, Altinok S, Rai DK, Viviano S, Prendergast A, Zerillo C, Ozcan K, Baran B, Sencar L, Goc N, Yarman Y, Ercan-Sencicek AG, Bilguvar K, Lifton RP, Moliterno J, Louvi A, Yuan S, Deniz E, Brueckner M, Gunel M., Proc Natl Acad Sci U S A. April 18, 2023; 120 (16): e2214997120. |
|
A novel SMARCC1 -mutant BAFopathy implicates epigenetic dysregulation of neural progenitors in hydrocephalus., Singh AK, Viviano S, Allington G, McGee S, Kiziltug E, Mekbib KY, Shohfi JP, Duy PQ, DeSpenza T, Furey CG, Reeves BC, Smith H, Ma S, Sousa AMM, Cherskov A, Allocco A, Nelson-Williams C, Haider S, Rizvi SRA, Alper SL, Sestan N, Shimelis H, Walsh LK, Lifton RP, Moreno-De-Luca A, Jin SC, Kruszka P, Deniz E, Kahle KT., medRxiv. March 20, 2023; |
|
Xenopus Tadpole Craniocardiac Imaging Using Optical Coherence Tomography., Deniz E, Mis EK, Lane M, Khokha MK., Cold Spring Harb Protoc. June 7, 2022; 2022 (5): Pdb.prot105676. |
|
DLG5 variants are associated with multiple congenital anomalies including ciliopathy phenotypes., Marquez J, Mann N, Arana K, Deniz E, Ji W, Konstantino M, Mis EK, Deshpande C, Jeffries L, McGlynn J, Hugo H, Widmeier E, Konrad M, Tasic V, Morotti R, Baptista J, Ellard S, Lakhani SA, Hildebrandt F, Khokha MK., J Med Genet. July 1, 2021; 58 (7): 453-464. |
|
In Xenopus ependymal cilia drive embryonic CSF circulation and brain development independently of cardiac pulsatile forces., Dur AH, Tang T, Viviano S, Sekuri A, Willsey HR, Tagare HD, Kahle KT, Deniz E., Fluids Barriers CNS. December 11, 2020; 17 (1): 72. |
|
Paired Box 9 (PAX9), the RNA polymerase II transcription factor, regulates human ribosome biogenesis and craniofacial development., Farley-Barnes KI, Deniz E, Overton MM, Khokha MK, Baserga SJ., PLoS Genet. August 19, 2020; 16 (8): e1008967. |
|
Gaussian process post-processing for particle tracking velocimetry., Tang T, Deniz E, Khokha MK, Tagare HD., Biomed Opt Express. June 7, 2019; 10 (7): 3196-3216. |
|
Visualizing flow in an intact CSF network using optical coherence tomography: implications for human congenital hydrocephalus., Date P, Ackermann P, Furey C, Fink IB, Jonas S, Khokha MK, Kahle KT, Deniz E., Sci Rep. April 17, 2019; 9 (1): 6196. |
|
Quantitative Phenotyping of Xenopus Embryonic Heart Pathophysiology Using Hemoglobin Contrast Subtraction Angiography to Screen Human Cardiomyopathies., Deniz E, Jonas S, Khokha MK, Choma MA., Front Physiol. January 1, 2019; 10 1197. |
|
Familial Dilated Cardiomyopathy Associated With a Novel Combination of Compound Heterozygous TNNC1 Variants., Landim-Vieira M, Johnston JR, Ji W, Mis EK, Tijerino J, Spencer-Manzon M, Jeffries L, Hall EK, Panisello-Manterola D, Khokha MK, Deniz E, Chase PB, Lakhani SA, Pinto JR., Front Physiol. January 1, 2019; 10 1612. |
|
RPSA, a candidate gene for isolated congenital asplenia, is required for pre-rRNA processing and spleen formation in Xenopus., Griffin JN, Sondalle SB, Robson A, Mis EK, Griffin G, Kulkarni SS, Deniz E, Baserga SJ, Khokha MK., Development. October 18, 2018; 145 (20): |
|
CRISPR/Cas9 F0 Screening of Congenital Heart Disease Genes in Xenopus tropicalis., Deniz E, Mis EK, Lane M, Khokha MK., Methods Mol Biol. January 1, 2018; 1865 163-174. |
|
Analysis of Craniocardiac Malformations in Xenopus using Optical Coherence Tomography., Deniz E, Jonas S, Hooper M, N Griffin J, Choma MA, Khokha MK., Sci Rep. February 14, 2017; 7 42506. |
|
A novel approach to quantifying ciliary physiology: microfluidic mixing driven by a ciliated biological surface., Jonas S, Zhou E, Deniz E, Huang B, Chandrasekera K, Bhattacharya D, Wu Y, Fan R, Deserno TM, Khokha MK, Choma MA., Lab Chip. November 7, 2013; 13 (21): 4160-3. |
|
Endogenous contrast blood flow imaging in embryonic hearts using hemoglobin contrast subtraction angiography., Deniz E, Jonas S, Khokha M, Choma MA., Opt Lett. July 15, 2012; 37 (14): 2979-81. |
???pagination.result.page??? 1
