???pagination.result.count???
iFASP: combining isobaric mass tagging with filter-aided sample preparation. , McDowell GS , Gaun A, Steen H ., J Proteome Res. August 2, 2013; 12 (8): 3809-12.
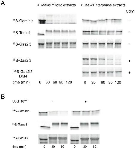
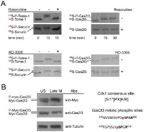
Gas2l3, a novel constriction site-associated protein whose regulation is mediated by the APC/C Cdh1 complex. , Pe'er T, Lahmi R, Sharaby Y, Chorni E, Noach M, Vecsler M, Zlotorynski E, Steen H , Steen JA , Tzur A., PLoS One. January 1, 2013; 8 (2): e57532.
Tiki1 is required for head formation via Wnt cleavage-oxidation and inactivation. , Zhang X, Abreu JG , Yokota C, MacDonald BT, Singh S, Coburn KL, Cheong SM, Zhang MM, Ye QZ, Hang HC, Steen H , He X ., Cell. June 22, 2012; 149 (7): 1565-77.
Comparative analysis of Erk phosphorylation suggests a mixed strategy for measuring phospho-form distributions. , Prabakaran S, Everley RA, Landrieu I, Wieruszeski JM, Lippens G, Steen H , Gunawardena J., Mol Syst Biol. April 12, 2011; 7 482.
The mechanism and pattern of yolk consumption provide insight into embryonic nutrition in Xenopus. , Jorgensen P, Steen JA , Steen H , Kirschner MW ., Development. May 1, 2009; 136 (9): 1539-48.