|
XB-PERS-4080
Publications By Justin Chen
???pagination.result.count??????pagination.result.page??? 1 2 3 ???pagination.result.next???
|
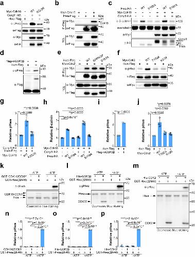
A Huluwa phosphorylation switch regulates embryonic axis induction., Li Y, Yan Y, Gong B, Zheng Q, Zhou H, Sun J, Li M, Wang Z, Li Y, Wan Y, Chen W, Qi S, Mo X, Meng A, Xiang B, Chen J., Nat Commun. November 19, 2024; 15 (1): 10028. |
|
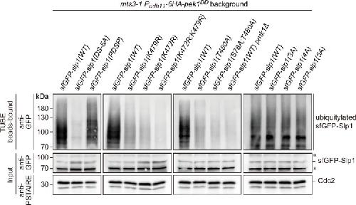
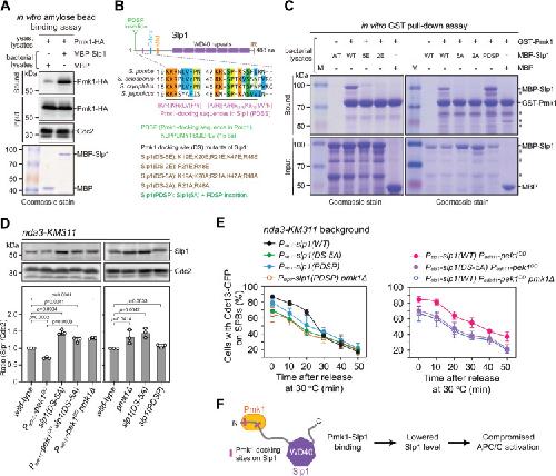
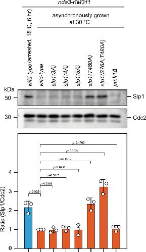
Negative regulation of APC/C activation by MAPK-mediated attenuation of Cdc20Slp1 under stress., Sun L, Chen X, Song C, Shi W, Liu L, Bai S, Wang X, Chen J, Jiang C, Wang SM, Luo ZQ, Wang R, Wang Y, Jin QW., Elife. October 16, 2024; 13 |
|
Carvedilol inhibits neuronal hyperexcitability caused by epilepsy-associated KCNT1 mutations., Di C, Wu T, Gao K, Li N, Song H, Wang L, Sun H, Yi J, Zhang X, Chen J, Shah M, Jiang Y, Huang Z., Br J Pharmacol. October 6, 2024; |
|
Characterization of hyperactive mutations in the renal potassium channel ROMK uncovers unique effects on channel biogenesis and ion conductance., Nguyen NH, Sheng S, Banerjee A, Guerriero CJ, Chen J, Wang X, Mackie TD, Welling PA, Kleyman TR, Bahar I, Carlson AE, Brodsky JL., Mol Biol Cell. July 1, 2024; 35 (9): ar119. |
|
Identification and pharmacological characterization of pH-sensitive chloride channels in the fall armyworm, Spodoptera frugiperda., Wang W, Chen JS, He PY, Zhang MH, Cao HQ, Palli SR, Sheng CW., Insect Biochem Mol Biol. February 5, 2024; 177 104243. |
|
Differential responses of disease-related GRIN variants located in pore-forming M2 domain of N-methyl-D-aspartate receptor to FDA-approved inhibitors., Song R, Zhang J, Perszyk RE, Camp CR, Tang W, Kannan V, Li J, Xu Y, Chen J, Li Y, Liang SH, Traynelis SF, Yuan H., J Neurochem. December 30, 2023; 168 (12): 3936-3949. |
|
Host defence peptide LEAP2 contributes to antimicrobial activity in a mustache toad (Leptobrachium liui)., Chen J, Zhang CY, Chen JY, Seah RWX, Zhang L, Ma L, Ding GH., BMC Vet Res. February 11, 2023; 19 (1): 47. |
|
A comparative study of cellular diversity between the Xenopus pronephric and mouse metanephric nephron., Corkins ME, Achieng M, DeLay BD, Krneta-Stankic V, Cain MP, Walker BL, Chen J, Lindström NO, Miller RK., Kidney Int. January 1, 2023; 103 (1): 77-86. |
|
Functional analysis reveals ionotropic GABA receptor subunit RDL is a target site of ivermectin and fluralaner in the yellow fever mosquito, Aedes aegypti., Wang Q, Wang H, Zhang Y, Chen J, Upadhyay A, Bhowmick B, Hang J, Wu S, Liao C, Han Q., Pest Manag Sci. October 1, 2022; 78 (10): 4173-4182. |
|
Site-Specific Tagging of Proteins with Paramagnetic Ions for Determination of Protein Structures in Solution and in Cells., Su XC, Chen JL., Acc Chem Res. June 18, 2019; 52 (6): 1675-1686. |
|
Reproductive and developmental toxicity study of caffeic acid in mice., Liu Y, Qiu S, Wang L, Zhang N, Shi Y, Zhou H, Liu X, Shao L, Liu X, Chen J, Hou M., Food Chem Toxicol. January 1, 2019; 123 106-112. |
|
Alteration of the Retinoid Acid-CBP Signaling Pathway in Neural Crest Induction Contributes to Enteric Nervous System Disorder., Li C, Hu R, Hou N, Wang Y, Wang Z, Yang T, Gu Y, He M, Shi Y, Chen J, Song W, Li T., Front Pediatr. December 3, 2018; 6 382. |
|
Maternal Huluwa dictates the embryonic body axis through β-catenin in vertebrates., Yan L, Chen J, Zhu X, Sun J, Wu X, Shen W, Zhang W, Tao Q, Meng A., Science. November 23, 2018; 362 (6417): |
|
Thumb domains of the three epithelial Na+ channel subunits have distinct functions., Sheng S, Chen J, Mukherjee A, Yates ME, Buck TM, Brodsky JL, Tolino MA, Hughey RP, Kleyman TR., J Biol Chem. November 9, 2018; 293 (45): 17582-17592. |
|
N-linked glycans are required on epithelial Na+ channel subunits for maturation and surface expression., Kashlan OB, Kinlough CL, Myerburg MM, Shi S, Chen J, Blobner BM, Buck TM, Brodsky JL, Hughey RP, Kleyman TR., Am J Physiol Renal Physiol. March 1, 2018; 314 (3): F483-F492. |
|
The Epithelial Sodium Channel Is a Modifier of the Long-Term Nonprogressive Phenotype Associated with F508del CFTR Mutations., Agrawal PB, Wang R, Li HL, Schmitz-Abe K, Simone-Roach C, Chen J, Shi J, Louie T, Sheng S, Towne MC, Brainson CF, Matthay MA, Kim CF, Bamshad M, Emond MJ, Gerard NP, Kleyman TR, Gerard C., Am J Respir Cell Mol Biol. December 1, 2017; 57 (6): 711-720. |
|
Mouth development., Chen J, Jacox LA, Saldanha F, Sive H., Wiley Interdiscip Rev Dev Biol. September 1, 2017; 6 (5): |
|
A Dominant Mutation in Nuclear Receptor Interacting Protein 1 Causes Urinary Tract Malformations via Dysregulation of Retinoic Acid Signaling., Vivante A, Mann N, Yonath H, Weiss AC, Getwan M, Kaminski MM, Bohnenpoll T, Teyssier C, Chen J, Shril S, van der Ven AT, Ityel H, Schmidt JM, Widmeier E, Bauer SB, Sanna-Cherchi S, Gharavi AG, Lu W, Magen D, Shukrun R, Lifton RP, Tasic V, Stanescu HC, Cavaillès V, Kleta R, Anikster Y, Dekel B, Kispert A, Lienkamp SS, Hildebrandt F., J Am Soc Nephrol. August 1, 2017; 28 (8): 2364-2376. |
|
Lentiviral Delivery of miR-133b Improves Functional Recovery After Spinal Cord Injury in Mice., Theis T, Yoo M, Park CS, Chen J, Kügler S, Gibbs KM, Schachner M., Mol Neurobiol. August 1, 2017; 54 (6): 4659-4671. |
|
Sororin is enriched at the central region of synapsed meiotic chromosomes., Jordan PW, Eyster C, Chen J, Pezza RJ, Rankin S., Chromosome Res. June 3, 2017; 25 (2): 115-128. |
|
Molecular Structure of the Human CFTR Ion Channel., Liu F, Zhang Z, Csanády L, Gadsby DC, Chen J., Cell. March 23, 2017; 169 (1): 85-95.e8. |
|
Human epithelial Na+ channel missense variants identified in the GenSalt study alter channel activity., Ray EC, Chen J, Kelly TN, He J, Hamm LL, Gu D, Shimmin LC, Hixson JE, Rao DC, Sheng S, Kleyman TR., Am J Physiol Renal Physiol. November 1, 2016; 311 (5): F908-F914. |
|
Comparison of gating dynamics of different IP3R channels with immune algorithm searching for channel parameter distributions., Cai X, Li X, Qi H, Wei F, Chen J, Shuai J., Phys Biol. October 17, 2016; 13 (5): 056005. |
|
Determining the optimal developmental stages of Xenopus laevis for initiating exposures to chemicals for sensitively detecting their feminizing effects on gonadal differentiation., Li YY, Chen J, Qin ZF., Aquat Toxicol. October 1, 2016; 179 134-42. |
|
Formation of a "Pre-mouth Array" from the Extreme Anterior Domain Is Directed by Neural Crest and Wnt/PCP Signaling., Jacox L, Chen J, Rothman A, Lathrop-Marshall H, Sive H., Cell Rep. August 2, 2016; 16 (5): 1445-1455. |
|
Corrigendum: The ciliopathy-associated CPLANE proteins direct basal body recruitment of intraflagellar transport machinery., Toriyama M, Lee C, Taylor SP, Duran I, Cohn DH, Bruel AL, Tabler JM, Drew K, Kelly MR, Kim S, Park TJ, Braun DA, Pierquin G, Biver A, Wagner K, Malfroot A, Panigrahi I, Franco B, Al-Lami HA, Yeung Y, Choi YJ, University of Washington Center for Mendelian Genomics, Duffourd Y, Faivre L, Rivière JB, Chen J, Liu KJ, Marcotte EM, Hildebrandt F, Thauvin-Robinet C, Krakow D, Jackson PK, Wallingford JB., Nat Genet. July 27, 2016; 48 (8): 970. |
|
The ciliopathy-associated CPLANE proteins direct basal body recruitment of intraflagellar transport machinery., Toriyama M, Lee C, Taylor SP, Duran I, Cohn DH, Bruel AL, Tabler JM, Drew K, Kelly MR, Kim S, Park TJ, Braun DA, Pierquin G, Biver A, Wagner K, Malfroot A, Panigrahi I, Franco B, Al-Lami HA, Yeung Y, Choi YJ, University of Washington Center for Mendelian Genomics, Duffourd Y, Faivre L, Rivière JB, Chen J, Liu KJ, Marcotte EM, Hildebrandt F, Thauvin-Robinet C, Krakow D, Jackson PK, Wallingford JB., Nat Genet. June 1, 2016; 48 (6): 648-56. |
|
Activity of the enantiomers of erythro-3-hydroxyaspartate at glutamate transporters and NMDA receptors., Foster AC, Li YX, Runyan S, Dinh T, Venadas S, Chen J, Pashikanti S, Datta A, Ehring G, Staubli U., J Neurochem. February 1, 2016; 136 (4): 692-697. |
|
Epilepsy-Related Slack Channel Mutants Lead to Channel Over-Activity by Two Different Mechanisms., Tang QY, Zhang FF, Xu J, Wang R, Chen J, Logothetis DE, Zhang Z., Cell Rep. January 5, 2016; 14 (1): 129-139. |
|
3-Aminoglutarate is a "silent" false transmitter for glutamate neurons., Foster AC, Chen J, Runyan S, Dinh T, Venadas S, Ehring GR, Li YX, Staubli U., Neuropharmacology. October 1, 2015; 97 436-46. |
|
Xenopus tropicalis Genome Re-Scaffolding and Re-Annotation Reach the Resolution Required for In Vivo ChIA-PET Analysis., Buisine N, Ruan X, Bilesimo P, Grimaldi A, Alfama G, Ariyaratne P, Mulawadi F, Chen J, Sung WK, Liu ET, Demeneix BA, Ruan Y, Sachs LM., PLoS One. September 4, 2015; 10 (9): e0137526. |
|
Using a sequence of estrogen response elements as a DNA aptamer for estrogen receptors in vitro., He X, Chen J, Yie SM, Ye SR, Dong DD, Li K., Nucleic Acid Ther. June 1, 2015; 25 (3): 152-61. |
|
5-Mehtyltetrahydrofolate rescues alcohol-induced neural crest cell migration abnormalities., Shi Y, Li J, Chen C, Gong M, Chen Y, Liu Y, Chen J, Li T, Song W., Mol Brain. September 16, 2014; 7 67. |
|
The extreme anterior domain is an essential craniofacial organizer acting through Kinin-Kallikrein signaling., Jacox L, Sindelka R, Chen J, Rothman A, Dickinson A, Sive H., Cell Rep. July 24, 2014; 8 (2): 596-609. |
|
[Optimization of coding sequences and expression of antimicrobial peptide magainin II in Escherichia coli and Pichia pastoris]., Chen Y, Chen Q, Chen K, Zhang T, Chen J., Sheng Wu Gong Cheng Xue Bao. April 1, 2014; 30 (4): 615-24. |
|
Deletion of α-subunit exon 11 of the epithelial Na+ channel reveals a regulatory module., Chen J, Kleyman TR, Sheng S., Am J Physiol Renal Physiol. March 1, 2014; 306 (5): F561-7. |
|
Lung epithelial branching program antagonizes alveolar differentiation., Chang DR, Martinez Alanis D, Miller RK, Ji H, Akiyama H, McCrea PD, Chen J., Proc Natl Acad Sci U S A. November 5, 2013; 110 (45): 18042-51. |
|
Analysis of the interaction of tarantula toxin Jingzhaotoxin-III (β-TRTX-Cj1α) with the voltage sensor of Kv2.1 uncovers the molecular basis for cross-activities on Kv2.1 and Nav1.5 channels., Tao H, Chen JJ, Xiao YC, Wu YY, Su HB, Li D, Wang HY, Deng MC, Wang MC, Liu ZH, Liang SP., Biochemistry. October 22, 2013; 52 (42): 7439-48. |
|
The identification of microRNAs in the whitespotted bamboo shark (Chiloscyllium plagiosum) liver by Illumina sequencing., Zhang J, Liu Y, Zhang X, Pan J, Nie Z, Zhang W, Yu W, Chen J, Liu L, Li J, Zhang Y, Guo J, Wu W, Zhu H, Lv Z., Gene. September 15, 2013; 527 (1): 259-65. |
|
Gain-of-function variant of the human epithelial sodium channel., Chen J, Kleyman TR, Sheng S., Am J Physiol Renal Physiol. January 15, 2013; 304 (2): F207-13. |
|
Cloning, sequencing and phylogenetic analysis of the small GTPase gene cdc-42 from Ancylostoma caninum., Yang Y, Zheng J, Chen J., Exp Parasitol. December 1, 2012; 132 (4): 550-5. |
|
Probing the structural basis of Zn2+ regulation of the epithelial Na+ channel., Chen J, Winarski KL, Myerburg MM, Pitt BR, Sheng S., J Biol Chem. October 12, 2012; 287 (42): 35589-35598. |
|
Cohesin acetylation promotes sister chromatid cohesion only in association with the replication machinery., Song J, Lafont A, Chen J, Wu FM, Shirahige K, Rankin S., J Biol Chem. October 5, 2012; 287 (41): 34325-36. |
|
Cep57, a NEDD1-binding pericentriolar material component, is essential for spindle pole integrity., Wu Q, He R, Zhou H, Yu AC, Zhang B, Teng J, Chen J., Cell Res. September 1, 2012; 22 (9): 1390-401. |
|
PEDV ORF3 encodes an ion channel protein and regulates virus production., Wang K, Lu W, Chen J, Xie S, Shi H, Hsu H, Yu W, Xu K, Bian C, Fischer WB, Schwarz W, Feng L, Sun B., FEBS Lett. February 17, 2012; 586 (4): 384-91. |
|
Evolution of vertebrate central nervous system is accompanied by novel expression changes of duplicate genes., Chen Y, Ding Y, Zhang Z, Wang W, Chen JY, Ueno N, Mao B., J Genet Genomics. December 20, 2011; 38 (12): 577-84. |
|
External Cu2+ inhibits human epithelial Na+ channels by binding at a subunit interface of extracellular domains., Chen J, Myerburg MM, Passero CJ, Winarski KL, Sheng S., J Biol Chem. August 5, 2011; 286 (31): 27436-46. |
|
Genome-wide analysis of translation reveals a critical role for deleted in azoospermia-like (Dazl) at the oocyte-to-zygote transition., Chen J, Melton C, Suh N, Oh JS, Horner K, Xie F, Sette C, Blelloch R, Conti M., Genes Dev. April 1, 2011; 25 (7): 755-66. |
|
Voltage profile along the permeation pathway of an open channel., Contreras JE, Chen J, Lau AY, Jogini V, Roux B, Holmgren M., Biophys J. November 3, 2010; 99 (9): 2863-9. |
|
Extracellular allosteric regulatory subdomain within the gamma subunit of the epithelial Na+ channel., Winarski KL, Sheng N, Chen J, Kleyman TR, Sheng S., J Biol Chem. August 20, 2010; 285 (34): 26088-96. |
???pagination.result.page??? 1 2 3 ???pagination.result.next???
