Click here to close Hello! We notice that you are using Internet Explorer, which is not supported by Xenbase and may cause the site to display incorrectly. We suggest using a current version of Chrome, FireFox, or Safari.

Profile Publications (64)
XB-PERS-595

Publications By Mary Lou King

???pagination.result.count???

???pagination.result.page??? 1 2 ???pagination.result.next???


Macromolecular condensation organizes nucleolar sub-phases to set up a pH gradient., King MR, Ruff KM, Lin AZ, Pant A, Farag M, Lalmansingh JM, Wu T, Fossat MJ, Ouyang W, Lew MD, Lundberg E, Vahey MD, Pappu RV., Cell. April 11, 2024; 187 (8): 1889-1906.e24.   


Wildlife Ecological Risk Assessment in the 21st Century: Promising Technologies to Assess Toxicological Effects., Rattner BA, Bean TG, Beasley VR, Berny P, Eisenreich KM, Elliott JE, Eng ML, Fuchsman PC, King MD, Soria RM, Meyer CB, O'Brien JM, Salice CJ., Integr Environ Assess Manag. July 7, 2023;


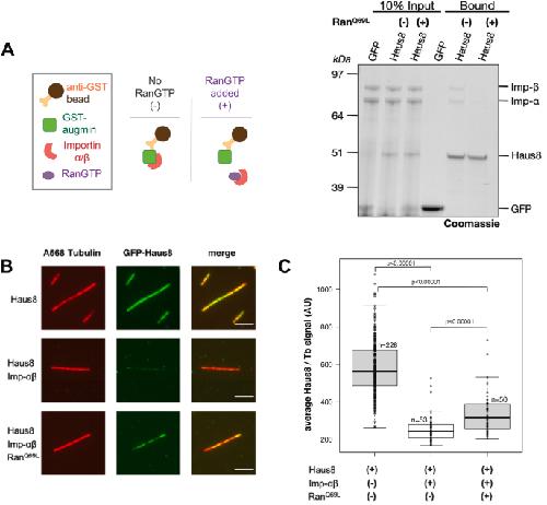
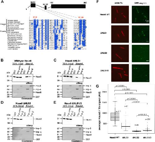
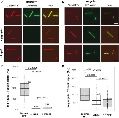
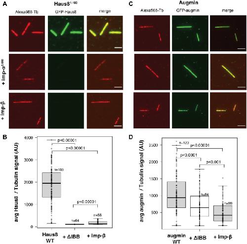
Augmin is a Ran-regulated spindle assembly factor., Kraus J, Travis SM, King MR, Petry S., J Biol Chem. June 21, 2023; 299 (6): 104736.   


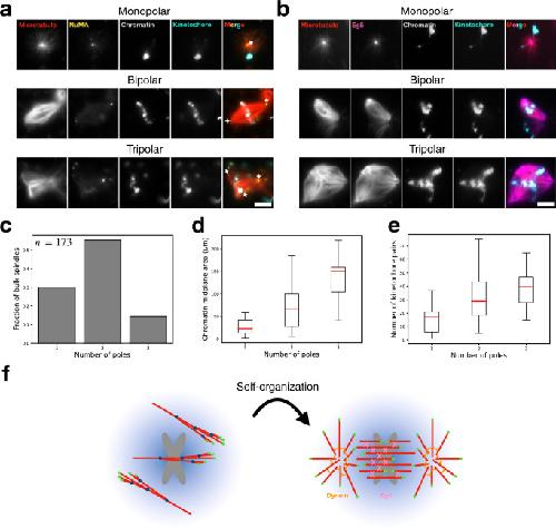
Acentrosomal spindles assemble from branching microtubule nucleation near chromosomes in Xenopus laevis egg extract., Gouveia B, Setru SU, King MR, Hamlin A, Stone HA, Shaevitz JW, Petry S., Nat Commun. June 21, 2023; 14 (1): 3696.   


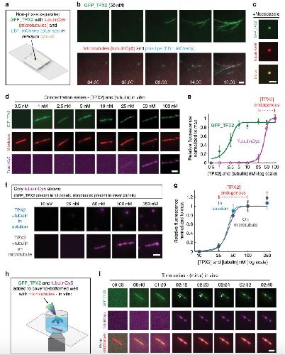
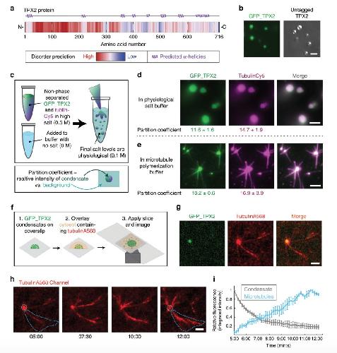
Phase separation of TPX2 enhances and spatially coordinates microtubule nucleation., King MR, Petry S., Nat Commun. January 14, 2020; 11 (1): 270.   


BAP1 regulates epigenetic switch from pluripotency to differentiation in developmental lineages giving rise to BAP1-mutant cancers., Kuznetsov JN, Aguero TH, Owens DA, Kurtenbach S, Field MG, Durante MA, Rodriguez DA, King ML, Harbour JW., Sci Adv. September 18, 2019; 5 (9): eaax1738.   


Novel functions of the ubiquitin-independent proteasome system in regulating Xenopus germline development., Hwang H, Jin Z, Krishnamurthy VV, Saha A, Klein PS, Garcia B, Mei W, King ML, Zhang K, Yang J., Development. April 23, 2019; 146 (8):   


Methods for Isolating the Balbiani Body/Germplasm from Xenopus laevis Oocytes., Butler A, Owens D, King ML, Aguero T., Methods Mol Biol. January 1, 2019; 1920 265-275.


Combined functions of two RRMs in Dead-end1 mimic helicase activity to promote nanos1 translation in the germline., Aguero T, Jin Z, Owens D, Malhotra A, Newman K, Yang J, King ML., Mol Reprod Dev. December 1, 2018; 85 (12): 896-908.   


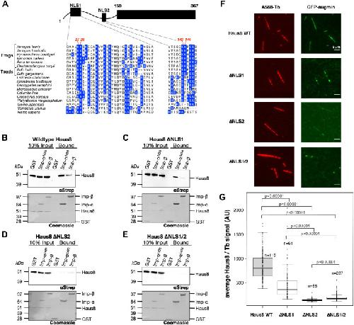
Mechanism of how augmin directly targets the γ-tubulin ring complex to microtubules., Song JG, King MR, Zhang R, Kadzik RS, Thawani A, Petry S., J Cell Biol. June 2, 2018; 217 (7): 2417-2428.   


Isolation of Xenopus Oocytes., Newman K, Aguero T, King ML., Cold Spring Harb Protoc. February 1, 2018; 2018 (2):


Microinjection of Xenopus Oocytes., Aguero T, Newman K, King ML., Cold Spring Harb Protoc. February 1, 2018; 2018 (2):


A novel role for sox7 in Xenopus early primordial germ cell development: mining the PGC transcriptome., Butler AM, Owens DA, Wang L, King ML., Development. January 8, 2018; 145 (1):   


Maternal Dead-end 1 promotes translation of nanos1 by binding the eIF3 complex., Aguero T, Jin Z, Chorghade S, Kalsotra A, King ML, Yang J., Development. October 15, 2017; 144 (20): 3755-3765.   


Clinical spectrum and genotype-phenotype associations of KCNA2-related encephalopathies., Masnada S, Hedrich UBS, Gardella E, Schubert J, Kaiwar C, Klee EW, Lanpher BC, Gavrilova RH, Synofzik M, Bast T, Gorman K, King MD, Allen NM, Conroy J, Ben Zeev B, Tzadok M, Korff C, Dubois F, Ramsey K, Narayanan V, Serratosa JM, Giraldez BG, Helbig I, Marsh E, O'Brien M, Bergqvist CA, Binelli A, Porter B, Zaeyen E, Horovitz DD, Wolff M, Marjanovic D, Caglayan HS, Arslan M, Pena SDJ, Sisodiya SM, Balestrini S, Syrbe S, Veggiotti P, Lemke JR, Møller RS, Lerche H, Rubboli G., Brain. September 1, 2017; 140 (9): 2337-2354.


High-throughput analysis reveals novel maternal germline RNAs crucial for primordial germ cell preservation and proper migration., Owens DA, Butler AM, Aguero TH, Newman KM, Van Booven D, King ML., Development. January 15, 2017; 144 (2): 292-304.   


Primordial Germ Cell Isolation from Xenopus laevis Embryos., Butler AM, Aguero T, Newman KM, King ML., Methods Mol Biol. January 1, 2017; 1463 115-124.


Mechanisms of Vertebrate Germ Cell Determination., Aguero T, Kassmer S, Alberio R, Johnson A, King ML., Adv Exp Med Biol. January 1, 2017; 953 383-440.


Maternal messages to live by: a personal historical perspective., King ML., Genesis. January 1, 2017; 55 (1-2):   


Hermes (Rbpms) is a Critical Component of RNP Complexes that Sequester Germline RNAs during Oogenesis., Aguero T, Zhou Y, Kloc M, Chang P, Houliston E, King ML., J Dev Biol. March 1, 2016; 4 (1):   


The Xenopus Maternal-to-Zygotic Transition from the Perspective of the Germline., Yang J, Aguero T, King ML., Curr Top Dev Biol. January 1, 2015; 113 271-303.


Repressive translational control in germ cells., Lai F, King ML., Mol Reprod Dev. August 1, 2013; 80 (8): 665-76.


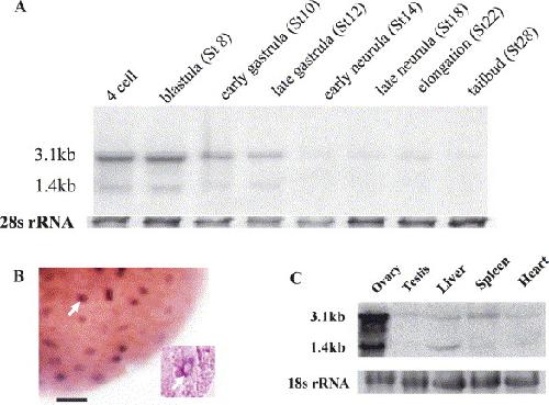
Maternal Dead-End1 is required for vegetal cortical microtubule assembly during Xenopus axis specification., Mei W, Jin Z, Lai F, Schwend T, Houston DW, King ML, Yang J., Development. June 1, 2013; 140 (11): 2334-44.   


Activity of long-chain acyl-CoA synthetase is required for maintaining meiotic arrest in Xenopus laevis., Wang HW, Fang JS, Kuang X, Miao LY, Wang C, Xia GL, King ML, Zhang J., Biol Reprod. September 28, 2012; 87 (3): 74.


Xenopus Nanos1 is required to prevent endoderm gene expression and apoptosis in primordial germ cells., Lai F, Singh A, King ML., Development. April 1, 2012; 139 (8): 1476-86.   


Xenopus germline nanos1 is translationally repressed by a novel structure-based mechanism., Luo X, Nerlick S, An W, King ML., Development. February 1, 2011; 138 (3): 589-98.   


Nanos1 functions as a translational repressor in the Xenopus germline., Lai F, Zhou Y, Luo X, Fox J, King ML., Mech Dev. January 1, 2011; 128 (1-2): 153-63.   


Repression of zygotic gene expression in the Xenopus germline., Venkatarama T, Lai F, Luo X, Zhou Y, Newman K, King ML., Development. February 1, 2010; 137 (4): 651-60.   


A Myc-Slug (Snail2)/Twist regulatory circuit directs vascular development., Rodrigues CO, Nerlick ST, White EL, Cleveland JL, King ML., Development. June 1, 2008; 135 (11): 1903-11.   


Hermes RNA-binding protein targets RNAs-encoding proteins involved in meiotic maturation, early cleavage, and germline development., Song HW, Cauffman K, Chan AP, Zhou Y, King ML, Etkin LD, Kloc M., Differentiation. July 1, 2007; 75 (6): 519-28.   


Xenopus Xpat protein is a major component of germ plasm and may function in its organisation and positioning., Machado RJ, Moore W, Hames R, Houliston E, Chang P, King ML, Woodland HR., Dev Biol. November 15, 2005; 287 (2): 289-300.   


Putting RNAs in the right place at the right time: RNA localization in the frog oocyte., King ML, Messitt TJ, Mowry KL., Biol Cell. January 1, 2005; 97 (1): 19-33.


Polarized distribution of mRNAs encoding a putative LDL receptor adaptor protein, xARH (autosomal recessive hypercholesterolemia) in Xenopus oocytes., Zhou Y, Zhang J, King ML., Mech Dev. October 1, 2004; 121 (10): 1249-58.   


Localization of RNAs to the mitochondrial cloud in Xenopus oocytes through entrapment and association with endoplasmic reticulum., Chang P, Torres J, Lewis RA, Mowry KL, Houliston E, King ML., Mol Biol Cell. October 1, 2004; 15 (10): 4669-81.   


PCR-based cloning and differential screening of RNAs from Xenopus primordial germ cells: cloning uniquely expressed RNAs from rare cells., Venkataraman T, Dancausse E, King ML., Methods Mol Biol. January 1, 2004; 254 67-78.


Sending RNAs into the future: RNA localization and germ cell fate., Zhou Y, King ML., IUBMB Life. January 1, 2004; 56 (1): 19-27.


Xenopus autosomal recessive hypercholesterolemia protein couples lipoprotein receptors with the AP-2 complex in oocytes and embryos and is required for vitellogenesis., Zhou Y, Zhang J, King ML., J Biol Chem. November 7, 2003; 278 (45): 44584-92.   


The maternally expressed zebrafish T-box gene eomesodermin regulates organizer formation., Bruce AE, Howley C, Zhou Y, Vickers SL, Silver LM, King ML, Ho RK., Development. November 1, 2003; 130 (22): 5503-17.


A consensus RNA signal that directs germ layer determinants to the vegetal cortex of Xenopus oocytes., Bubunenko M, Kress TL, Vempati UD, Mowry KL, King ML., Dev Biol. August 1, 2002; 248 (1): 82-92.   


Three-dimensional ultrastructural analysis of RNA distribution within germinal granules of Xenopus., Kloc M, Dougherty MT, Bilinski S, Chan AP, Brey E, King ML, Patrick CW, Etkin LD., Dev Biol. January 1, 2002; 241 (1): 79-93.   


Biochemical characterization of a cellular structure retaining vegetally localized RNAs in Xenopus late stage oocytes., Bubunenko M, King ML., J Cell Biochem. January 1, 2001; 80 (4): 560-70.


DEADSouth is a germ plasm specific DEAD-box RNA helicase in Xenopus related to eIF4A., MacArthur H, Houston DW, Bubunenko M, Mosquera L, King ML., Mech Dev. July 1, 2000; 95 (1-2): 291-5.   


A critical role for Xdazl, a germ plasm-localized RNA, in the differentiation of primordial germ cells in Xenopus., Houston DW, King ML., Development. February 1, 2000; 127 (3): 447-56.   


Germ plasm and molecular determinants of germ cell fate., Houston DW, King ML., Curr Top Dev Biol. January 1, 2000; 50 155-81.


PCR-based cloning of cortically localized RNAs from Xenopus oocytes., Zhang J, King ML., Methods Mol Biol. January 1, 2000; 136 309-14.


Polarizing genetic information in the egg: RNA localization in the frog oocyte., King ML, Zhou Y, Bubunenko M., Bioessays. July 1, 1999; 21 (7): 546-57.


Xcat2 RNA is a translationally sequestered germ plasm component in Xenopus., MacArthur H, Bubunenko M, Houston DW, King ML., Mech Dev. June 1, 1999; 84 (1-2): 75-88.   


The role of maternal VegT in establishing the primary germ layers in Xenopus embryos., Zhang J, Houston DW, King ML, Payne C, Wylie C, Heasman J., Cell. August 21, 1998; 94 (4): 515-24.   


A Xenopus DAZ-like gene encodes an RNA component of germ plasm and is a functional homologue of Drosophila boule., Houston DW, Zhang J, Maines JZ, Wasserman SA, King ML., Development. January 1, 1998; 125 (2): 171-80.   


Cloning and expression of a Xenopus laevis oocyte lectin and characterization of its mRNA levels during early development., Lee JK, Buckhaults P, Wilkes C, Teilhet M, King ML, Moremen KW, Pierce M., Glycobiology. April 1, 1997; 7 (3): 367-72.

???pagination.result.page??? 1 2 ???pagination.result.next???