Click here to close Hello! We notice that you are using Internet Explorer, which is not supported by Xenbase and may cause the site to display incorrectly. We suggest using a current version of Chrome, FireFox, or Safari.

Profile Publications (22)
XB-PERS-653

Publications By Pierre Remy

???pagination.result.count???

???pagination.result.page??? 1


Cloning and expression of the surfeit locus member Surf-6 during embryogenesis in Xenopus laevis., Wolff CM, Nguyen VK, Remy P., DNA Seq. June 1, 2002; 13 (3): 149-52.


Identification of interaction partners for two closely-related members of the ETS protein family, FLI and ERG., Deramaudt TB, Remy P, Stiegler P., Gene. August 22, 2001; 274 (1-2): 169-77.


The Ets-transcription factor family in embryonic development: lessons from the amphibian and bird., Remy P, Baltzinger M., Oncogene. December 18, 2000; 19 (55): 6417-31.


Heterotopic expression of the Xl-Fli transcription factor during Xenopus embryogenesis: modification of cell adhesion and engagement in the apoptotic pathway., Goltzené F, Skalski M, Wolff CM, Meyer D, Mager-Heckel AM, Darribère T, Remy P., Exp Cell Res. November 1, 2000; 260 (2): 233-47.


Xl erg: expression pattern and overexpression during development plead for a role in endothelial cell differentiation., Baltzinger M, Mager-Heckel AM, Remy P., Dev Dyn. December 1, 1999; 216 (4-5): 420-33.


Upregulation of human heme oxygenase gene expression by Ets-family proteins., Deramaudt BM, Remy P, Abraham NG., J Cell Biochem. March 1, 1999; 72 (3): 311-21.


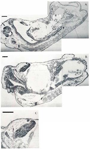
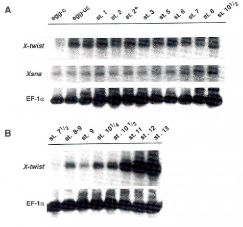
X-twi is expressed prior to gastrulation in presumptive neurectodermal and mesodermal cells in dorsalized and ventralized Xenopus laevis embryos., Stoetzel C, Bolcato-Bellemin AL, Bourgeois P, Perrin-Schmitt F, Meyer D, Wolff M, Remy P., Int J Dev Biol. September 1, 1998; 42 (6): 747-56.   


The avian fli gene is specifically expressed during embryogenesis in a subset of neural crest cells giving rise to mesenchyme., Mager AM, Grapin-Botton A, Ladjali K, Meyer D, Wolff CM, Stiegler P, Bonnin MA, Remy P., Int J Dev Biol. May 1, 1998; 42 (4): 561-72.


Ets-1 and Ets-2 proto-oncogenes exhibit differential and restricted expression patterns during Xenopus laevis oogenesis and embryogenesis., Meyer D, Durliat M, Senan F, Wolff M, Andre M, Hourdry J, Remy P., Int J Dev Biol. August 1, 1997; 41 (4): 607-20.   


Transcription of XLPOU3, a brain-specific gene, during Xenopus laevis early embryogenesis., Baltzinger M, Relaix F, Remy P., Mech Dev. August 1, 1996; 58 (1-2): 103-14.   


Overexpression of the Xenopus Xl-fli gene during early embryogenesis leads to anomalies in head and heart development and erythroid differentiation., Remy P, Sénan F, Meyer D, Mager AM, Hindelang C., Int J Dev Biol. June 1, 1996; 40 (3): 577-89.   


Whole-mount in situ hybridization reveals the expression of the Xl-Fli gene in several lineages of migrating cells in Xenopus embryos., Meyer D, Stiegler P, Hindelang C, Mager AM, Remy P., Int J Dev Biol. December 1, 1995; 39 (6): 909-19.


Xl-fli, the Xenopus homologue of the fli-1 gene, is expressed during embryogenesis in a restricted pattern evocative of neural crest cell distribution., Meyer D, Wolff CM, Stiegler P, Sénan F, Befort N, Befort JJ, Remy P., Mech Dev. December 1, 1993; 44 (2-3): 109-21.   


The c-ets-1 proto-oncogenes in Xenopus laevis: expression during oogenesis and embryogenesis., Stiegler P, Wolff CM, Meyer D, Sénan F, Durliat M, Hourdry J, Befort N, Remy P., Mech Dev. May 1, 1993; 41 (2-3): 163-74.


Nucleotide sequence of XLPOU3 cDNA, a member of the POU domain gene family expressed in Xenopus laevis embryos., Baltzinger M, Payen E, Remy P., Nucleic Acids Res. April 25, 1992; 20 (8): 1993.


Cloning, sequencing, and expression of two Xenopus laevis c-ets-2 protooncogenes., Wolff CM, Stiegler P, Baltzinger M, Meyer D, Ghysdael J, Stéhelin D, Befort N, Remy P., Cell Growth Differ. September 1, 1991; 2 (9): 447-56.


Cloning and sequencing of POU-boxes expressed in Xenopus laevis neurula embryos., Baltzinger M, Stiegler P, Remy P., Nucleic Acids Res. October 25, 1990; 18 (20): 6131.


Characterization of Xenopus laevis cDNA clones of the c-ets-1 proto-oncogene., Stiegler P, Wolff CM, Baltzinger M, Hirtzlin J, Senan F, Meyer D, Ghysdael J, Stéhelin D, Befort N, Remy P., Nucleic Acids Res. September 11, 1990; 18 (17): 5298.


Isolation of two different c-ets-2 proto-oncogenes in Xenopus laevis., Wolff CM, Stiegler P, Baltzinger M, Meyer D, Ghysdael J, Stéhelin D, Befort N, Remy P., Nucleic Acids Res. August 11, 1990; 18 (15): 4603-4.


Repair of acetyl-aminofluorene modified pBR322 DNA in Xenopus laevis oocytes and eggs; effect of diadenosine tetraphosphate., Orfanoudakis G, Gilson G, Wolff CM, Ebel JP, Befort N, Remy P., Biochimie. April 1, 1990; 72 (4): 271-8.


Lack of correlation between extensive accumulation of bisnucleoside polyphosphates and the heat-shock response in eukaryotic cells., Guédon GF, Gilson GJ, Ebel JP, Befort NM, Remy PM., J Biol Chem. December 15, 1986; 261 (35): 16459-65.


Effect of diadenosine tetraphosphate microinjection on heat shock protein synthesis in Xenopus laevis oocytes., Guedon G, Sovia D, Ebel JP, Befort N, Remy P., EMBO J. December 30, 1985; 4 (13B): 3743-9.

???pagination.result.page??? 1