Click here to close Hello! We notice that you are using Internet Explorer, which is not supported by Xenbase and may cause the site to display incorrectly. We suggest using a current version of Chrome, FireFox, or Safari.

Profile Publications (68)
XB-PERS-661

Publications By Gerhart U. Ryffel

???pagination.result.count???

???pagination.result.page??? 1 2 ???pagination.result.next???


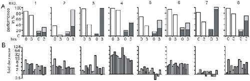
Heat-shock mediated overexpression of HNF1β mutations has differential effects on gene expression in the Xenopus pronephric kidney., Sauert K, Kahnert S, Roose M, Gull M, Brändli AW, Ryffel GU, Waldner C., PLoS One. January 1, 2012; 7 (3): e33522.   


The nephrogenic potential of the transcription factors osr1, osr2, hnf1b, lhx1 and pax8 assessed in Xenopus animal caps., Drews C, Senkel S, Ryffel GU., BMC Dev Biol. January 31, 2011; 11 5.   


Aging of Xenopus tropicalis eggs leads to deadenylation of a specific set of maternal mRNAs and loss of developmental potential., Kosubek A, Klein-Hitpass L, Rademacher K, Horsthemke B, Ryffel GU., PLoS One. October 22, 2010; 5 (10): e13532.   


Heat-shock inducible Cre strains to study organogenesis in transgenic Xenopus laevis., Roose M, Sauert K, Turan G, Solomentsew N, Werdien D, Pramanik K, Senkel S, Ryffel GU, Waldner C., Transgenic Res. August 1, 2009; 18 (4): 595-605.


Red fluorescent Xenopus laevis: a new tool for grafting analysis., Waldner C, Roose M, Ryffel GU., BMC Dev Biol. January 28, 2009; 9 37.   


Transcription factor HNF1beta and novel partners affect nephrogenesis., Dudziak K, Mottalebi N, Senkel S, Edghill EL, Rosengarten S, Roose M, Bingham C, Ellard S, Ryffel GU., Kidney Int. July 1, 2008; 74 (2): 210-7.   


Marking transgenic Xenopus froglets with passive micro transponders., Waldner C, Roose M, Ryffel GU., Transgenic Res. August 1, 2007; 16 (4): 539-40.


Transgenic Xenopus laevis strain expressing cre recombinase in muscle cells., Waldner C, Sakamaki K, Ueno N, Turan G, Ryffel GU., Dev Dyn. August 1, 2006; 235 (8): 2220-8.   


The HNF1beta transcription factor has several domains involved in nephrogenesis and partially rescues Pax8/lim1-induced kidney malformations., Wu G, Bohn S, Ryffel GU., Eur J Biochem. September 1, 2004; 271 (18): 3715-28.


Distinct molecular and morphogenetic properties of mutations in the human HNF1beta gene that lead to defective kidney development., Bohn S, Thomas H, Turan G, Ellard S, Bingham C, Hattersley AT, Ryffel GU., J Am Soc Nephrol. August 1, 2003; 14 (8): 2033-41.


Tagging muscle cell lineages in development and tail regeneration using Cre recombinase in transgenic Xenopus., Ryffel GU, Werdien D, Turan G, Gerhards A, Goosses S, Senkel S., Nucleic Acids Res. April 15, 2003; 31 (8): e44.   


What can a frog tell us about human kidney development., Ryffel GU., Nephron Exp Nephrol. January 1, 2003; 94 (2): e35-43.


ERH (enhancer of rudimentary homologue), a conserved factor identical between frog and human, is a transcriptional repressor., Pogge von Strandmann E, Senkel S, Ryffel GU., Biol Chem. September 1, 2001; 382 (9): 1379-85.


FLP and Cre recombinase function in Xenopus embryos., Werdien D, Peiler G, Ryffel GU., Nucleic Acids Res. June 1, 2001; 29 (11): E53-3.   


Misexpression of Xsiah-2 induces a small eye phenotype in Xenopus., Bogdan S, Senkel S, Esser F, Ryffel GU, Pogge v Strandmann E., Mech Dev. May 1, 2001; 103 (1-2): 61-9.   


Inhibitor of the tissue-specific transcription factor HNF4, a potential regulator in early Xenopus development., Peiler G, Böckmann B, Nakhei H, Ryffel GU., Mol Cell Biol. December 1, 2000; 20 (23): 8676-83.


The mutated human gene encoding hepatocyte nuclear factor 1beta inhibits kidney formation in developing Xenopus embryos., Wild W, Pogge von Strandmann E, Nastos A, Senkel S, Lingott-Frieg A, Bulman M, Bingham C, Ellard S, Hattersley AT, Ryffel GU., Proc Natl Acad Sci U S A. April 25, 2000; 97 (9): 4695-700.   


Ectopic pigmentation in Xenopus in response to DCoH/PCD, the cofactor of HNF1 transcription factor/pterin-4alpha-carbinolamine dehydratase., Pogge v Strandmann E, Senkel S, Ryffel GU., Mech Dev. March 1, 2000; 91 (1-2): 53-60.


Distinct promoter elements mediate endodermal and mesodermal expression of the HNF1alpha promoter in transgenic Xenopus., Ryffel GU, Lingott A., Mech Dev. January 1, 2000; 90 (1): 65-75.


The embryonic expression of the tissue-specific transcription factor HNF1alpha in Xenopus: rapid activation by HNF4 and delayed induction by mesoderm inducers., Nastos A, Pogge von Strandmann E, Weber H, Ryffel GU., Nucleic Acids Res. December 15, 1998; 26 (24): 5602-8.


Patterning the expression of a tissue-specific transcription factor in embryogenesis: HNF1 alpha gene activation during Xenopus development., von Strandmann EP, Nastos A, Holewa B, Senkel S, Weber H, Ryffel GU., Mech Dev. June 1, 1997; 64 (1-2): 7-17.


HNF4beta, a new gene of the HNF4 family with distinct activation and expression profiles in oogenesis and embryogenesis of Xenopus laevis., Holewa B, Zapp D, Drewes T, Senkel S, Ryffel GU., Mol Cell Biol. February 1, 1997; 17 (2): 687-94.


Mesoderm and endoderm differentiation in animal cap explants: identification of the HNF4-binding site as an activin A responsive element in the Xenopus HNF1alpha promoter., Weber H, Holewa B, Jones EA, Ryffel GU., Development. June 1, 1996; 122 (6): 1975-84.   


Regulation and function of the tissue-specific transcription factor HNF1 alpha (LFB1) during Xenopus development., Weber H, Strandmann EP, Holewa B, Bartkowski S, Zapp D, Zoidl C, Ryffel GU., Int J Dev Biol. February 1, 1996; 40 (1): 297-304.   


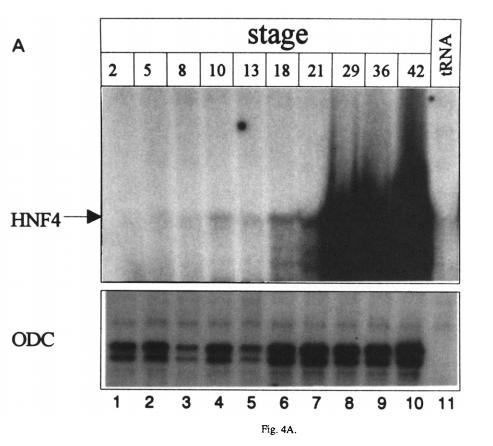
Transcriptional hierarchy in Xenopus embryogenesis: HNF4 a maternal factor involved in the developmental activation of the gene encoding the tissue specific transcription factor HNF1 alpha (LFB1)., Holewa B, Strandmann EP, Zapp D, Lorenz P, Ryffel GU., Mech Dev. January 1, 1996; 54 (1): 45-57.   


A highly specific and sensitive monoclonal antibody detecting histidine-tagged recombinant proteins., Pogge von Strandmann E, Zoidl C, Nakhei H, Holewa B, Pogge von Strandmann R, Lorenz P, Klein-Hitpass L, Ryffel GU., Protein Eng. July 1, 1995; 8 (7): 733-5.


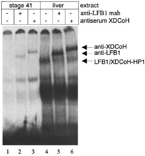
Developmental expression of the maternal protein XDCoH, the dimerization cofactor of the homeoprotein LFB1 (HNF1)., Pogge yon Strandmann E, Ryffel GU., Development. April 1, 1995; 121 (4): 1217-26.   


Genomic structure of the Xenopus laevis liver transcription factor LFB1., Zapp D, Bartkowski S, Zoidl C, Klein-Hitpass L, Ryffel GU., Gene. December 8, 1993; 134 (2): 251-6.


Elements and factors involved in tissue-specific and embryonic expression of the liver transcription factor LFB1 in Xenopus laevis., Zapp D, Bartkowski S, Holewa B, Zoidl C, Klein-Hitpass L, Ryffel GU., Mol Cell Biol. October 1, 1993; 13 (10): 6416-26.


Chimeric liver transcription factors LFB1 (HNF1) containing the acidic activation domain of VP16 act as positive dominant interfering mutants., Denecke B, Bartkowski S, Senkel S, Klein-Hitpass L, Ryffel GU., J Biol Chem. August 25, 1993; 268 (24): 18076-82.


Developmental regulation and tissue distribution of the liver transcription factor LFB1 (HNF1) in Xenopus laevis., Bartkowski S, Zapp D, Weber H, Eberle G, Zoidl C, Senkel S, Klein-Hitpass L, Ryffel GU., Mol Cell Biol. January 1, 1993; 13 (1): 421-31.


Liver specific transcription factors of the HNF3-, C/EBP- and LFB1-families interact with the A-activator binding site., Drewes T, Klein-Hitpass L, Ryffel GU., Nucleic Acids Res. December 11, 1991; 19 (23): 6383-9.


Liver-specific gene expression: A-activator-binding site, a promoter module present in vitellogenin and acute-phase genes., Kaling M, Kugler W, Ross K, Zoidl C, Ryffel GU., Mol Cell Biol. January 1, 1991; 11 (1): 93-101.


BAP, a rat liver protein that activates transcription through a promoter element with similarity to the USF/MLTF binding site., Kugler W, Kaling M, Ross K, Wagner U, Ryffel GU., Nucleic Acids Res. December 11, 1990; 18 (23): 6943-51.


Liver cell specific gene transcription in vitro: the promoter elements HP1 and TATA box are necessary and sufficient to generate a liver-specific promoter., Ryffel GU, Kugler W, Wagner U, Kaling M., Nucleic Acids Res. February 11, 1989; 17 (3): 939-53.


A cell-specific activator in the Xenopus A2 vitellogenin gene: promoter elements functioning with rat liver nuclear extracts., Döbbeling U, Ross K, Klein-Hitpass L, Morley C, Wagner U, Ryffel GU., EMBO J. August 1, 1988; 7 (8): 2495-501.


Hepatocyte-specific promoter element HP1 of the Xenopus albumin gene interacts with transcriptional factors of mammalian hepatocytes., Schorpp M, Kugler W, Wagner U, Ryffel GU., J Mol Biol. July 20, 1988; 202 (2): 307-20.


Synergism of closely adjacent estrogen-responsive elements increases their regulatory potential., Klein-Hitpass L, Kaling M, Ryffel GU., J Mol Biol. June 5, 1988; 201 (3): 537-44.


Tissue-specificity of liver gene expression: a common liver-specific promoter element., Kugler W, Wagner U, Ryffel GU., Nucleic Acids Res. April 25, 1988; 16 (8): 3165-74.


A 13 bp palindrome is a functional estrogen responsive element and interacts specifically with estrogen receptor., Klein-Hitpass L, Ryffel GU, Heitlinger E, Cato AC., Nucleic Acids Res. January 25, 1988; 16 (2): 647-63.


5'-flanking and 5'-proximal exon regions of the two Xenopus albumin genes. Deletion analysis of constitutive promoter function., Schorpp M, Döbbeling U, Wagner U, Ryffel GU., J Mol Biol. January 5, 1988; 199 (1): 83-93.


Introduction of estrogen-responsiveness into mammalian cell lines., Druege PM, Klein-Hitpass L, Green S, Stack G, Chambon P, Ryffel GU., Nucleic Acids Res. December 9, 1986; 14 (23): 9329-37.


An estrogen-responsive element derived from the 5' flanking region of the Xenopus vitellogenin A2 gene functions in transfected human cells., Klein-Hitpass L, Schorpp M, Wagner U, Ryffel GU., Cell. September 26, 1986; 46 (7): 1053-61.


Post-transcriptional regulation of albumin gene expression in Xenopus liver., Kazmaier M, Brüning E, Ryffel GU., EMBO J. May 1, 1985; 4 (5): 1261-6.


Xenopus vitellogenin genes., Wahli W, Ryffel GU., Oxf Surv Eukaryot Genes. January 1, 1985; 2 96-120.


Persistence, methylation and expression of vitellogenin gene derivatives after injection into fertilized eggs of Xenopus laevis., Andres AC, Muellener DB, Ryffel GU., Nucleic Acids Res. March 12, 1984; 12 (5): 2283-302.


Scattering of repetitive DNA sequences in the albumin and vitellogenin gene loci of Xenopus laevis., Ryffel GU, Muellener DB, Gerber-Huber S, Wyler T, Wahli W., Nucleic Acids Res. November 25, 1983; 11 (22): 7701-16.


In contrast to other Xenopus genes the estrogen-inducible vitellogenin genes are expressed when totally methylated., Gerber-Huber S, May FE, Westley BR, Felber BK, Hosbach HA, Andres AC, Ryffel GU., Cell. May 1, 1983; 33 (1): 43-51.


Estrogen dramatically decreases albumin mRNA levels and albumin synthesis in Xenopus laevis liver., May FE, Ryffel GU, Weber R, Westley BR., J Biol Chem. December 10, 1982; 257 (23): 13919-23.


Comparative analysis of Xenopus tropicalis and Xenopus laevis vitellogenin gene sequences., Jaggi RB, Wyler T, Ryffel GU., Nucleic Acids Res. March 11, 1982; 10 (5): 1515-33.

???pagination.result.page??? 1 2 ???pagination.result.next???