???pagination.result.count???
Optimized Analysis of Proteins from Xenopus Oocytes and Embryos by Immunoblotting. , Kanzler CR, Sheets MD ., J Vis Exp. September 19, 2025; (223):
TurboID functions as an efficient biotin ligase for BioID applications in Xenopus embryos. , Kanzler CR, Donohue M, Dowdle ME, Sheets MD ., Dev Biol. December 1, 2022; 492 133-138.
Bicc1 and Dicer regulate left- right patterning through post-transcriptional control of the Nodal inhibitor Dand5. , Maerker M, Getwan M , Dowdle ME, McSheene JC, Gonzalez V, Pelliccia JL, Hamilton DS, Yartseva V, Vejnar C, Tingler M, Minegishi K, Vick P , Giraldez AJ, Hamada H, Burdine RD, Sheets MD , Blum M , Schweickert A ., Nat Commun. September 16, 2021; 12 (1): 5482.
A single KH domain in Bicaudal-C links mRNA binding and translational repression functions to maternal development. , Dowdle ME, Park S, Blaser Imboden S, Fox CA, Houston DW , Sheets MD ., Development. May 15, 2019; 146 (10):
Assaying NanoLuc Luciferase Activity from mRNA-Injected Xenopus Embryos. , Sheets MD ., Methods Mol Biol. January 1, 2019; 1920 33-39.
Coordinated d-cyclin/Foxd1 activation drives mitogenic activity of the Sonic Hedgehog signaling pathway. , Fink DM, Sun MR, Heyne GW, Everson JL, Chung HM, Park S, Sheets MD , Lipinski RJ., Cell Signal. April 1, 2018; 44 1-9.
Horizontal Gel Electrophoresis for Enhanced Detection of Protein-RNA Complexes. , Dowdle ME, Imboden SB, Park S, Ryder SP, Sheets MD ., J Vis Exp. July 28, 2017; (125):
Controlling the Messenger: Regulated Translation of Maternal mRNAs in Xenopus laevis Development. , Sheets MD , Fox CA, Dowdle ME, Blaser SI, Chung A, Park S., Adv Exp Med Biol. January 1, 2017; 953 49-82.
A gradient of maternal Bicaudal-C controls vertebrate embryogenesis via translational repression of mRNAs encoding cell fate regulators. , Park S, Blaser S, Marchal MA, Houston DW , Sheets MD ., Development. March 1, 2016; 143 (5): 864-71.
Building the Future: Post-transcriptional Regulation of Cell Fate Decisions Prior to the Xenopus Midblastula Transition. , Sheets MD ., Curr Top Dev Biol. January 1, 2015; 113 233-70.
Determinants of RNA binding and translational repression by the Bicaudal-C regulatory protein. , Zhang Y , Park S, Blaser S, Sheets MD ., J Biol Chem. March 14, 2014; 289 (11): 7497-504.
Bicaudal-C spatially controls translation of vertebrate maternal mRNAs. , Zhang Y , Cooke A, Park S, Dewey CN, Wickens M, Sheets MD ., RNA. November 1, 2013; 19 (11): 1575-82.
Transcriptional integration of Wnt and Nodal pathways in establishment of the Spemann organizer. , Reid CD, Zhang Y , Sheets MD , Kessler DS ., Dev Biol. August 15, 2012; 368 (2): 231-41.
Embryonic poly(A)-binding protein ( ePAB) phosphorylation is required for Xenopus oocyte maturation. , Friend K, Brook M, Bezirci FB, Sheets MD , Gray NK , Seli E., Biochem J. July 1, 2012; 445 (1): 93-100.
Limiting Ago protein restricts RNAi and microRNA biogenesis during early development in Xenopus laevis. , Lund E, Sheets MD , Imboden SB, Dahlberg JE., Genes Dev. June 1, 2011; 25 (11): 1121-31.
Poly(A)-binding proteins are functionally distinct and have essential roles during vertebrate development. , Gorgoni B, Richardson WA, Burgess HM, Anderson RC, Wilkie GS, Gautier P, Martins JP, Brook M, Sheets MD , Gray NK ., Proc Natl Acad Sci U S A. May 10, 2011; 108 (19): 7844-9.
Polyribosome analysis for investigating mRNA translation in Xenopus oocytes, eggs and embryos. , Sheets MD , Fritz B, Hartley RS , Zhang Y ., Methods. May 1, 2010; 51 (1): 152-6.
Deadenylation of maternal mRNAs mediated by miR-427 in Xenopus laevis embryos. , Lund E, Liu M, Hartley RS , Sheets MD , Dahlberg JE., RNA. December 1, 2009; 15 (12): 2351-63.
Spatially restricted translation of the xCR1 mRNA in Xenopus embryos. , Zhang Y , Forinash KD, McGivern J, Fritz B, Dorey K , Sheets MD ., Mol Cell Biol. July 1, 2009; 29 (13): 3791-802.
Toward defining the phosphoproteome of Xenopus laevis embryos. , McGivern JV, Swaney DL, Coon JJ, Sheets MD ., Dev Dyn. June 1, 2009; 238 (6): 1433-43.
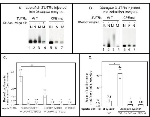
Analyses of zebrafish and Xenopus oocyte maturation reveal conserved and diverged features of translational regulation of maternal cyclin B1 mRNA. , Zhang Y , Sheets MD ., BMC Dev Biol. January 28, 2009; 9 7.
Structural basis for RNA recognition by a type II poly(A)-binding protein. , Song J, McGivern JV, Nichols KW, Markley JL, Sheets MD ., Proc Natl Acad Sci U S A. October 7, 2008; 105 (40): 15317-22.
Chordin affects pronephros development in Xenopus embryos by anteriorizing presomitic mesoderm. , Mitchell T, Jones EA , Weeks DL , Sheets MD ., Dev Dyn. January 1, 2007; 236 (1): 251-61.
Heading in a new direction: implications of the revised fate map for understanding Xenopus laevis development. , Lane MC, Sheets MD ., Dev Biol. August 1, 2006; 296 (1): 12-28.
Fate mapping hematopoietic lineages in the Xenopus embryo. , Lane MC, Sheets MD ., Methods Mol Med. January 1, 2005; 105 137-48.
BMP antagonism by Spemann's organizer regulates rostral-caudal fate of mesoderm. , Constance Lane M, Davidson L , Sheets MD ., Dev Biol. November 15, 2004; 275 (2): 356-74.
Xenopus embryonic poly(A) binding protein 2 ( ePABP2) defines a new family of cytoplasmic poly(A) binding proteins expressed during the early stages of vertebrate development. , Good PJ , Abler L, Herring D, Sheets MD ., Genesis. April 1, 2004; 38 (4): 166-75.
Expression of scFv antibodies in Xenopus embryos to disrupt protein function: implications for large-scale evaluation of the embryonic proteome. , Abler LL, Sheets MD ., Genesis. February 1, 2003; 35 (2): 107-13.
Zygotic control of maternal cyclin A1 translation and mRNA stability. , Audic Y , Garbrecht M, Fritz B, Sheets MD , Hartley RS ., Dev Dyn. December 1, 2002; 225 (4): 511-21.
Rethinking axial patterning in amphibians. , Lane MC, Sheets MD ., Dev Dyn. December 1, 2002; 225 (4): 434-47.
Primitive and definitive blood share a common origin in Xenopus: a comparison of lineage techniques used to construct fate maps. , Lane MC, Sheets MD ., Dev Biol. August 1, 2002; 248 (1): 52-67.
The FGFR pathway is required for the trunk-inducing functions of Spemann's organizer. , Mitchell TS, Sheets MD ., Dev Biol. September 15, 2001; 237 (2): 295-305.
Regulation of the mRNAs encoding proteins of the BMP signaling pathway during the maternal stages of Xenopus development. , Fritz BR, Sheets MD ., Dev Biol. August 1, 2001; 236 (1): 230-43.
Designation of the anterior/ posterior axis in pregastrula Xenopus laevis. , Lane MC, Sheets MD ., Dev Biol. September 1, 2000; 225 (1): 37-58.
Efficient construction of a large nonimmune phage antibody library: the production of high-affinity human single-chain antibodies to protein antigens. , Sheets MD , Amersdorfer P, Finnern R, Sargent P, Lindquist E, Schier R, Hemingsen G, Wong C, Gerhart JC , Marks JD, Lindqvist E., Proc Natl Acad Sci U S A. May 26, 1998; 95 (11): 6157-62.
Turning the frog into a princely model. , Sheets MD ., Nat Biotechnol. March 1, 1998; 16 (3): 233-4.
Polyadenylation of c- mos mRNA as a control point in Xenopus meiotic maturation. , Sheets MD , Wu M, Wickens M., Nature. April 6, 1995; 374 (6522): 511-6.
The 3'-untranslated regions of c-mos and cyclin mRNAs stimulate translation by regulating cytoplasmic polyadenylation. , Sheets MD , Fox CA, Hunt T , Vande Woude G, Wickens M., Genes Dev. April 15, 1994; 8 (8): 926-38.
Poly(A) addition during maturation of frog oocytes: distinct nuclear and cytoplasmic activities and regulation by the sequence UUUUUAU. , Fox CA, Sheets MD , Wickens MP., Genes Dev. December 1, 1989; 3 (12B): 2151-62.