Click here to close Hello! We notice that you are using Internet Explorer, which is not supported by Xenbase and may cause the site to display incorrectly. We suggest using a current version of Chrome, FireFox, or Safari.

Profile Publications (47)
XB-PERS-739

Publications By Tom Moss

???pagination.result.count???

???pagination.result.page??? 1


Extended Synaptotagmin Interaction with the Fibroblast Growth Factor Receptor Depends on Receptor Conformation, Not Catalytic Activity., Tremblay MG, Herdman C, Guillou F, Mishra PK, Baril J, Bellenfant S, Moss T., J Biol Chem. June 26, 2015; 290 (26): 16142-56.


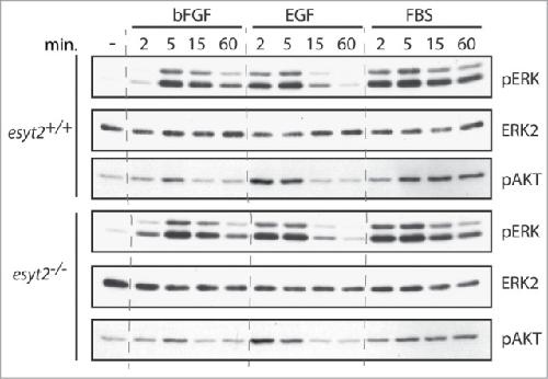
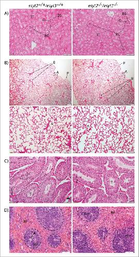
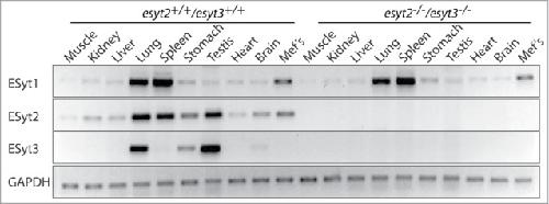
Loss of Extended Synaptotagmins ESyt2 and ESyt3 does not affect mouse development or viability, but in vitro cell migration and survival under stress are affected., Herdman C, Tremblay MG, Mishra PK, Moss T., Cell Cycle. January 1, 2014; 13 (16): 2616-25.   


The endocytic adapter E-Syt2 recruits the p21 GTPase activated kinase PAK1 to mediate actin dynamics and FGF signalling., Jean S, Tremblay MG, Herdman C, Guillou F, Moss T., Biol Open. August 15, 2012; 1 (8): 731-8.   


The p21-activated kinase Pak1 regulates induction and migration of the neural crest in Xenopus., Bisson N, Wedlich D, Moss T., Cell Cycle. April 1, 2012; 11 (7): 1316-24.


Manipulating the fragile X mental retardation proteins in the frog., Huot ME, Bisson N, Moss T, Khandjian EW., Results Probl Cell Differ. January 1, 2012; 54 165-79.


Agonistic and antagonistic roles for TNIK and MINK in non-canonical and canonical Wnt signalling., Mikryukov A, Moss T., PLoS One. January 1, 2012; 7 (9): e43330.   


Extended-synaptotagmin-2 mediates FGF receptor endocytosis and ERK activation in vivo., Jean S, Mikryukov A, Tremblay MG, Baril J, Guillou F, Bellenfant S, Moss T., Dev Cell. September 14, 2010; 19 (3): 426-39.   


Role of p21-activated kinase in cell polarity and directional mesendoderm migration in the Xenopus gastrula., Nagel M, Luu O, Bisson N, Macanovic B, Moss T, Winklbauer R., Dev Dyn. July 1, 2009; 238 (7): 1709-26.   


A ubiquitin-conjugating enzyme, ube2d3.2, regulates xMLK2 and pronephros formation in Xenopus., Jean S, Moss T., Differentiation. April 1, 2008; 76 (4): 431-41.   


EphA4 signaling regulates blastomere adhesion in the Xenopus embryo by recruiting Pak1 to suppress Cdc42 function., Bisson N, Poitras L, Mikryukov A, Tremblay M, Moss T., Mol Biol Cell. March 1, 2007; 18 (3): 1030-43.   


ERK modulates DNA bending and enhancesome structure by phosphorylating HMG1-boxes 1 and 2 of the RNA polymerase I transcription factor UBF., Stefanovsky VY, Langlois F, Bazett-Jones D, Pelletier G, Moss T., Biochemistry. March 21, 2006; 45 (11): 3626-34.


The RNA-binding protein fragile X-related 1 regulates somite formation in Xenopus laevis., Huot ME, Bisson N, Davidovic L, Mazroui R, Labelle Y, Moss T, Khandjian EW., Mol Biol Cell. September 1, 2005; 16 (9): 4350-61.   


The catalytic domain of xPAK1 is sufficient to induce myosin II dependent in vivo cell fragmentation independently of other apoptotic events., Bisson N, Islam N, Poitras L, Jean S, Bresnick A, Moss T., Dev Biol. November 15, 2003; 263 (2): 264-81.   


PAK interacts with NCK and MLK2 to regulate the activation of jun N-terminal kinase., Poitras L, Jean S, Islam N, Moss T., FEBS Lett. May 22, 2003; 543 (1-3): 129-35.


A tissue restricted role for the Xenopus Jun N-terminal kinase kinase kinase MLK2 in cement gland and pronephric tubule differentiation., Poitras L, Bisson N, Islam N, Moss T., Dev Biol. February 15, 2003; 254 (2): 200-14.   


DNA looping in the RNA polymerase I enhancesome is the result of non-cooperative in-phase bending by two UBF molecules., Stefanovsky VY, Pelletier G, Bazett-Jones DP, Crane-Robinson C, Moss T., Nucleic Acids Res. August 1, 2001; 29 (15): 3241-7.


Competitive recruitment of CBP and Rb-HDAC regulates UBF acetylation and ribosomal transcription., Pelletier G, Stefanovsky VY, Faubladier M, Hirschler-Laszkiewicz I, Savard J, Rothblum LI, Côté J, Moss T., Mol Cell. November 1, 2000; 6 (5): 1059-66.


The cytoskeletal effector xPAK1 is expressed during both ear and lateral line development in Xenopus., Islam N, Poitras L, Moss T., Int J Dev Biol. February 1, 2000; 44 (2): 245-8.   


Cellular regulation of ribosomal DNA transcription:both rat and Xenopus UBF1 stimulate rDNA transcription in 3T3 fibroblasts., Hannan R, Stefanovsky V, Arino T, Rothblum L, Moss T., Nucleic Acids Res. February 15, 1999; 27 (4): 1205-13.


A ribosomal orphon sequence from Xenopus laevis flanked by novel low copy number repetitive elements., Guimond A, Moss T., Biol Chem. February 1, 1999; 380 (2): 167-74.


Enzymatic removal of vitelline membrane and other protocol modifications for whole mount in situ hybridization of Xenopus embryos., Islam N, Moss T., Trends Genet. November 1, 1996; 12 (11): 459.


Antisense and sense poly(A)-RNAs from the Xenopus laevis pyruvate dehydrogenase gene loci are regulated with message production during embryogenesis., Islam N, Poitras L, Gagnon F, Moss T., Gene. October 17, 1996; 176 (1-2): 9-16.


Catalytic and non-catalytic forms of the neurotrophin receptor xTrkB mRNA are expressed in a pseudo-segmental manner within the early Xenopus central nervous system., Islam N, Gagnon F, Moss T., Int J Dev Biol. October 1, 1996; 40 (5): 973-83.   


The DNA supercoiling architecture induced by the transcription factor xUBF requires three of its five HMG-boxes., Stefanovsky VY, Bazett-Jones DP, Pelletier G, Moss T., Nucleic Acids Res. August 15, 1996; 24 (16): 3208-15.


An analysis of Xenopus tyrosine kinase genes and their expression in early development., Islam N, Guimond A, Sanchez A, Moss T., DNA Cell Biol. July 1, 1994; 13 (7): 719-29.


Short-range DNA looping by the Xenopus HMG-box transcription factor, xUBF., Bazett-Jones DP, Leblanc B, Herfort M, Moss T., Science. May 20, 1994; 264 (5162): 1134-7.


UV laser-induced protein-DNA crosslinking., Dimitrov SI, Moss T., Methods Mol Biol. January 1, 1994; 30 227-36.


DNase I footprinting., Leblanc B, Moss T., Methods Mol Biol. January 1, 1994; 30 1-10.


Mapping of a sequence essential for the nuclear transport of the Xenopus ribosomal transcription factor xUBF using a simple coupled translation-transport and acid extraction approach., Dimitrov SI, Bachvarov D, Moss T., DNA Cell Biol. April 1, 1993; 12 (3): 275-81.


Recognition of the Xenopus ribosomal core promoter by the transcription factor xUBF involves multiple HMG box domains and leads to an xUBF interdomain interaction., Leblanc B, Read C, Moss T., EMBO J. February 1, 1993; 12 (2): 513-25.


Variants of the Xenopus laevis ribosomal transcription factor xUBF are developmentally regulated by differential splicing., Guimond A, Moss T., Nucleic Acids Res. July 11, 1992; 20 (13): 3361-6.


High resolution studies of the Xenopus laevis ribosomal gene promoter in vivo and in vitro., Read C, Larose AM, Leblanc B, Bannister AJ, Firek S, Smith DR, Moss T., J Biol Chem. June 5, 1992; 267 (16): 10961-7.


Readthrough enhancement and promoter occlusion on the ribosomal genes of Xenopus laevis., Moss T, Larose AM, Mitchelson K, Leblanc B., Biochem Cell Biol. May 1, 1992; 70 (5): 324-31.


Heterogeneity in the Xenopus ribosomal transcription factor xUBF has a molecular basis distinct from that in mammals., Bachvarov D, Normandeau M, Moss T., FEBS Lett. August 19, 1991; 288 (1-2): 55-9.


The RNA polymerase I transcription factor xUBF contains 5 tandemly repeated HMG homology boxes., Bachvarov D, Moss T., Nucleic Acids Res. May 11, 1991; 19 (9): 2331-5.


Point mutation analysis of the Xenopus laevis RNA polymerase I core promoter., Firek S, Read C, Smith DR, Moss T., Nucleic Acids Res. January 11, 1990; 18 (1): 105-9.


The Xenopus laevis ribosomal gene terminator contains sequences that both enhance and repress ribosomal transcription., Firek S, Read C, Smith DR, Moss T., Mol Cell Biol. September 1, 1989; 9 (9): 3777-84.


The enhancement of ribosomal transcription by the recycling of RNA polymerase I., Mitchelson K, Moss T., Nucleic Acids Res. November 25, 1987; 15 (22): 9577-96.


A complex array of sequences enhances ribosomal transcription in Xenopus laevis., De Winter RF, Moss T., J Mol Biol. August 20, 1987; 196 (4): 813-27.


The ribosomal spacer in Xenopus laevis is transcribed as part of the primary ribosomal RNA., De Winter RF, Moss T., Nucleic Acids Res. August 11, 1986; 14 (15): 6041-51.


Spacer promoters are essential for efficient enhancement of X. laevis ribosomal transcription., De Winter RF, Moss T., Cell. January 31, 1986; 44 (2): 313-8.


A transcriptional function for the repetitive ribosomal spacer in Xenopus laevis., Moss T., Nature. March 17, 1983; 302 (5905): 223-8.


Transcription of cloned Xenopus laevis ribosomal DNA microinjected into Xenopus oocytes, and the identification of an RNA polymerase I promoter., Moss T., Cell. October 1, 1982; 30 (3): 835-42.


More ribosomal spacer sequences from Xenopus laevis., Moss T, Boseley PG, Birnstiel ML., Nucleic Acids Res. February 11, 1980; 8 (3): 467-85.


5''-Labeling and poly(dA) tailing., Boseley PG, Moss T, Birnstiel ML., Methods Enzymol. January 1, 1980; 65 (1): 478-94.


The putative promoter of a Xenopus laevis ribosomal gene is reduplicated., Moss T, Birnstiel ML., Nucleic Acids Res. August 24, 1979; 6 (12): 3733-43.


Sequence organization of the spacer DNA in a ribosomal gene unit of Xenopus laevis., Boseley P, Moss T, Mächler M, Portmann R, Birnstiel M., Cell. May 1, 1979; 17 (1): 19-31.

???pagination.result.page??? 1