|
XB-GENEPAGE-484186
Gene Symbol: ihh
Gene Name: indian hedgehog
|
Anatomy stages
|
| NF stage 10 to adult frog stage |
| RNA-Seq and EST Transcriptome profiles | ???displayGene.tropicalis??? | ???displayGene.laevis???.L | ???displayGene.laevis???.S |
| RNA-Seq stage profile | Data from Owens et al. 2016 | Data from Session et al. 2016 | Data from Session et al. 2016 |
| ???displayGene.geoData??? | ihh.L | ihh.S | |
| Microarray Data | Data from Yanai et al. 2011 | Data from Yanai et al. 2011 | Data from Yanai et al. 2011 |
| Stage and Tissue Profiles | ||||||||
|
|
|
||||||
| Experimental Regulation (via RNA-seq) | ||
|
| ||
|
Source: Ding et al. 2017 (laevis) |
||
| Literature Images | Sort by: |
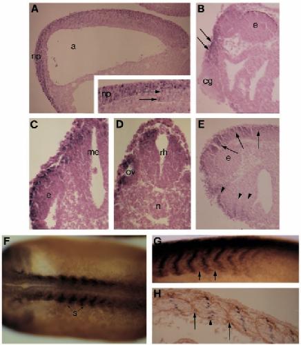
NF stage 12.5 to NF stage 23 Agüero, et al. 2012 | NF stage 10 to NF stage 28 Ekker, et al. 1995 | NF stage 14 to NF stage 28 Ekker, et al. 1995 | NF stage 35 and 36 Bocquet, et al. 2023 | NF stage 35 and 36 Bocquet, et al. 2023 | 8 more [+] |
