|
XB-GENEPAGE-486471
Gene Symbol: slc5a5
Gene Name: solute carrier family 5 member 5
|
Anatomy terms
|
| cloaca dorsal lateral plate mesoderm head hindgut intestine oocyte post-anal gut proctodeum pronephric mesenchyme rectal diverticulum stomach thyroid whole organism |
|
Anatomy stages
|
| NF stage 5 (16-cell) to NF stage 66 |
| RNA-Seq and EST Transcriptome profiles | ???displayGene.tropicalis??? | ???displayGene.laevis???.L | ???displayGene.laevis???.S |
| RNA-Seq stage profile | Data from Owens et al. 2016 | Data from Session et al. 2016 | Data from Session et al. 2016 |
| ???displayGene.geoData??? | slc5a5.L | slc5a5.S | |
| Microarray Data | Data from Yanai et al. 2011 | Data from Yanai et al. 2011 | Data from Yanai et al. 2011 |
| Stage and Tissue Profiles | ||||||||
|
|
|
||||||
| Experimental Regulation (via RNA-seq) | ||
|
| ||
|
Source: Ding et al. 2017 (laevis) |
||
| Community Submitted Images | Sort by: |
NF stage 20 | NF stage 25 | NF stage 29 and 30 | NF stage 35 and 36 | NF stage 35 and 36 | 1 more [+] |
| Literature Images | Sort by: |
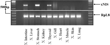
NF stage 66 Carr, et al. 2015 |
