|
XB-GENEPAGE-490595
Gene Symbol: msi1
Gene Name: musashi RNA binding protein 1
| RNA-Seq and EST Transcriptome profiles | ???displayGene.tropicalis??? | ???displayGene.laevis???.L | ???displayGene.laevis???.S |
| RNA-Seq stage profile | Data from Owens et al. 2016 | Data from Session et al. 2016 | Data from Session et al. 2016 |
| ???displayGene.geoData??? | msi1.L | msi1.S | |
| Microarray Data | Data from Yanai et al. 2011 | Data from Yanai et al. 2011 | Data from Yanai et al. 2011 |
| Stage and Tissue Profiles | ||||||||
|
|
|
||||||
| Experimental Regulation (via RNA-seq) | ||
|
| ||
|
Source: Ding et al. 2017 (laevis) |
||
| Community Submitted Images | Sort by: |
unspecified stage | NF stage 19 | NF stage 22 | NF stage 24 | NF stage 28 | 2 more [+] |
| Literature Images | Sort by: |
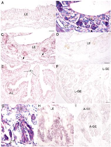
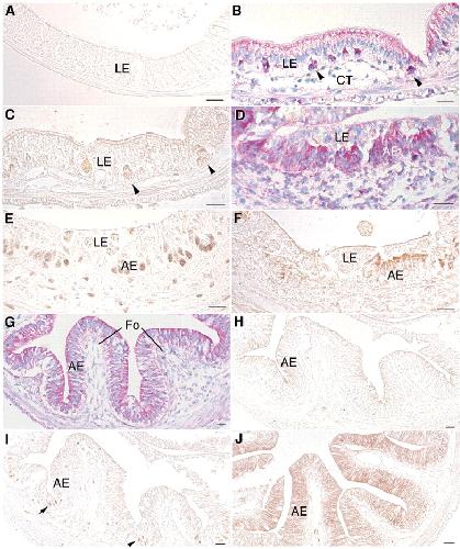
NF stage 15 to NF stage 32 Zhang, et al. 2017 | NF stage 47 McKeown, et al. 2013 | NF stage 61 Ishizuya-Oka, et al. 2003 | NF stage 60 to NF stage 61 Ishizuya-Oka, et al. 2007 | NF stage 60 to NF stage 63 Ishizuya-Oka, et al. 2003 | 2 more [+] |
