|
XB-GENEPAGE-952521
Gene Symbol: slmap
Gene Name: sarcolemma associated protein
| RNA-Seq and EST Transcriptome profiles | ???displayGene.tropicalis??? | ???displayGene.laevis???.L | ???displayGene.laevis???.S |
| RNA-Seq stage profile | Data from Owens et al. 2016 | Data from Session et al. 2016 | Data from Session et al. 2016 |
| ???displayGene.geoData??? | slmap.L | slmap.S | |
| Microarray Data | Data from Yanai et al. 2011 | Data from Yanai et al. 2011 | Data from Yanai et al. 2011 |
| Stage and Tissue Profiles | ||||||||
|
|
|
||||||
| Experimental Regulation (via RNA-seq) | ||
|
| ||
|
Source: Ding et al. 2017 (laevis) |
||
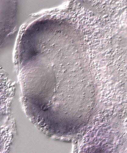
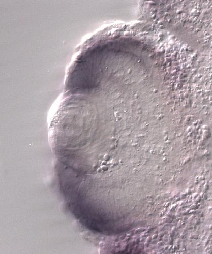
| Community Submitted Images | Sort by: |
NF stage 33 and 34 | NF stage 35 and 36 | NF stage 35 and 36 | NF stage 21 to NF stage 37 and 38 | NF stage 39 to NF stage 40 | 2 more [+] |
