Click here to close
Hello! We notice that you are using Internet Explorer, which is not supported by Xenbase and may cause the site to display incorrectly.
We suggest using a current version of Chrome,
FireFox, or Safari.
???displayArticle.abstract???
The asymmetric distribution of cellular components is an important clue for understanding cell fate decision during embryonic patterning and cell functioning after differentiation. In C. elegans embryos, PAR-3 and aPKC form a complex that colocalizes to the anterior periphery of the one-cell embryo, and are indispensable for anterior-posterior polarity that is formed prior to asymmetric cell division. In mammals, ASIP (PAR-3 homologue) and aPKCgamma form a complex and colocalize to the epithelial tight junctions, which play critical roles in epithelial cell polarity. Although the mechanism by which PAR-3/ASIP and aPKC regulate cell polarization remains to be clarified, evolutionary conservation of the PAR-3/ASIP-aPKC complex suggests their general role in cell polarity organization. Here, we show the presence of the protein complex in Xenopus laevis. In epithelial cells, XASIP and XaPKC colocalize to the cell-cell contact region. To our surprise, they also colocalize to the animal hemisphere of mature oocytes, whereas they localize uniformly in immature oocytes. Moreover, hormonal stimulation of immature oocytes results in a change in the distribution of XaPKC 2-3 hours after the completion of germinal vesicle breakdown, which requires the kinase activity of aPKC. These results suggest that meiotic maturation induces the animal-vegetal asymmetry of aPKC.
Fig. 1. Schematic structure of aPKC and
ASIP/PAR-3/Bazooka and their
intracellular localization. (A) Comparison
of the C-terminal sequence of mouse
aPKC isotypes and XaPKC. The antiaPKC
antibodies used in the present study
were raised against the C-terminal 20 aa
sequence of mouse PKCz. The sequence
shares significant sequence identity to that
of mouse PKCl and XaPKCl.
(B) Schematic structure of mammalian
ASIP, C. elegans PAR-3 and Drosophila
Bazooka. The N-terminal domain (CR1),
three PDZ domains (CR-2) and the aPKC
binding region (CR-3) are evolutionarily
conserved. The polyclonal antibody
against ASIP was raised against the aPKC
binding region of ASIP. (C) Cellular
localization of PKC-3 and PAR-3 in a C.
elegans 1-cell embryo. The arrow indicates
the anterior-posterior axis. (D) Cellular
localization of aPKC and ASIP in
polarized epithelial cells. The arrow
indicates the apical-basal axis.
Fig. 2. Identification of XaPKC and XASIP in Xenopus. (A) Western
analysis of XaPKC in Xenopus oocytes, eggs and epithelial A6 cells.
XaPKC was identified as an 80 kDa band by an anti-mouse PKCz
antibody. XaPKC is expressed maternally throughout oogenesis, in
unfertilized eggs and in epithelial A6 cells. Samples loaded as oocyte
and egg extracts were estimated to contain 25 mg protein per lane.
(B) Immunoprecipitation analysis of XaPKC and XASIP. XASIP is
identified as a 180 kDa band in anti-ASIP immunoprecipitates of egg
extracts (upper panel). The 80 kDa XaPKC was detected in the anti-
ASIP immunoprecipitates as well as in the anti-aPKC
immunoprecipitates. Samples loaded into each lane correspond to
extracts of 30 eggs (anti-aPKC I.P.) or 50 eggs (anti-ASIP I.P.).
Fig. 3. Immunofluorescence staining of XaPKC and XASIP in
Xenopus epithelial A6 cells. Confluent A6 cells were fixed in cold
methanol and incubated with the indicated first antibody. After
washing, cells were incubated with the FITC-conjugated secondary
antibody and images were captured with a digital camera (Princeton
Instruments). (A) Control staining by normal rabbit IgG. (B) Staining
by anti-aPKC antibody. XaPKC staining localizes at the cell-cell
junction as well as in the cytoplasm. (C) Control staining by antigen preincubated
anti-ASIP antibody. (D) Staining by anti-ASIP
antibody. The ASIP staining at the cell-cell junction disappears in the
presence of excess antigen. Scale bar, approximately 40 mm.
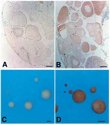
Fig. 4. Immunohistochemical staining of an ovary section and
isolated oocytes. (A,B) Albino Xenopus ovary was fixed by the
freeze-substitution method. (A) Control, stained by anti-aPKC
preincubated with excess antigen. (B) Distribution of XaPKC
in the ovary, stained by anti-aPKC antibody. (C,D) Wholemount
immunohistochemistry of albino Xenopus oocytes.
(C) Control, stained by rabbit IgG. (D) Distribution of XaPKC
in various stage oocytes, stained by anti-aPKC antibody.
Signals were detected by DAB staining. Scale bars, 250 mm
(A,B); 500 mm (C,D).
Fig. 5. Whole-mount immunohistochemical staining
of albino unfertilized eggs and 8-cell embryos. Albino
eggs and embryos were fixed in Dentâs fixative and
staining signals were detected by DAB. Antibodies
used are anti-aPKC antibody (A-C,E-G) and anti-
ASIP antibody (D,H). Scale bar, approximately
250 mm.
Fig. 6. Redistribution of the XaPKC staining during in vitro
maturation of oocytes. (A) Schematic events in the meiotic cell cycle.
The schematic staining pattern of XaPKC is summarized below.
(B) Germinal vesicle breakdown and the redistribution of XaPKC
staining during oocyte maturation after stimulation with 4 mM
progesterone. The line graph shows the percentage of mature oocytes
showing GVBD, and the bar graph those showing a loss of vegetal
pole staining by anti-aPKC antibody, at various times after
progesterone stimulation.
Fig. 7. Change in the distribution of the ectopic Tag-aPKCl
fusion protein during hormone-induced maturation of
oocytes. (A) Wild-type oocytes were injected with RNA
synthesized in vitro, incubated with (+) or without (-) 4 mM
progesterone for 16-18 hours, and stained with anti-Tag
antibody after fixation and bleaching. (B) The ratio of
staining in both hemisphere with anti-Tag antibody,
indicating the Tag-aPKCl distribution in immature or mature
oocytes. These experiments were reproduced more than three
times. (C) Western analysis of the oocyte extracts prepared
18 hours after mRNA injection with anti-Tag antibody.
Fig. 8. Albino unfertilized eggs and 8-cell embryos
analyzed by whole-mount in situ hybridization. Eggs and
embryos were fixed in MEMFA and hybridized with DIGlabeled
sense (control) or anti-sense probes.
(A,B,E,F) Animal views, (C,G) vegetal views and (D,H)
equatorial views of eggs and embryos. Scale bar,
approximately 250 mm.